[치아교정후기] 촉촉뇽의 오라픽스 치아교정후기 12번째 –하악에 브라켓 추가 부착
안녕하세요 이사모님들 ^^*
촉촉뇽의 12번째 치아교정후기입니다.
치아들이 아무런 탈없이 진행되어줘서 고마운 마음을 느끼며 있어요~ㅎㅎ
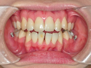
이번 월치료에는 브라켓이 없는 하악치아에 오라픽스 브라켓을 부착했어요.
세 개의 치아에요.
치과 도착해서 양치질하고 월치료를 받았습니다.
치위생사선생님이 오라픽스 치아교정 장치를 부착할 치아를 다듬으시고
장치를 잘~ 부착시켜주셨어요~~
저는 치아교정장치 브라켓을 부착할 때가 제일 힘든 거 같아요 ㅠ.ㅠ
침을 제대로 못 삼키겠어서 ㅋㅋㅋ 이게 너무너무 힘들더라구요 ㅠ.ㅠ ㅋㅋ
그래도 견뎌내고 무사히 치아교정장치 브라켓이 부착되었습니다^^*
브라켓을 부착하고 양쪽 균형을 맞추기 위해
어금니에 바이트블럭이라는 둑을 만들어주셨어요 ~
씹는데 지장이 없겠죠!~~ㅎㅎ
이렇게 월 치료는 잘 끝내고 왔답니다.

치위생사 선생님께서 충치치료를 또 해야한다고 하시더라구요 ….ㄷ ㄷ
정말 치아교정을 시작할 때는 치아를 건강하게 만들어놓고 나서
치아교정을 시작하는게 좋은 거 같습니다. ㅠ.ㅠ
치아교정을 시작하기 전에는 치아를 소홀히 다뤘었는데
그 후회가 지금 막 밀려오는 거 있죠 ㅠ.ㅠ 에휴
충치치료에 관한 건 다음 월치료에 가면 확실히 알 수 있을 거 같습니다.
그럼 다음 월 치료 다녀와서 오라픽스 치아교정후기 올릴께요~~^.^
이번 겨울은 유난히 춥다고 하는데 다들 항상 건강조심하고요
따뜻하게 챙겨입으세요~~
매일매일 즐거운 나날 되셨으면 합니다 ㅎㅎ
아, 제가 11월이 생일인데요 치과에서 선물을 주셨어요 ><
잘 사용하겠습니다 감사해요~~~ ㅎㅎ
그럼 다음 치아교정후기에서 만나요~!!!! ^.^*

안쪽으로 하는 교정 정말 신기해요 혀가 많이 걸려서 불편하지는 않으신가여?ㅎ_ㅎ
와 촉촉뇽님 살이 빠지시고 계신것 같아요?? 아닌가요^^
볼이 더 갸름해지시는것같습니다~~
쨋든 교정 홧팅입니다!!^^
바이트 블럭 진짜 엄청 불편하던데 ㅠㅠ 다들 그러신 건 아닌 것 같긴 하지만 저는 바이트블럭 붙이고 진짜 엄청 너무 불편했었어요ㅠㅠㅠㅠ 아무튼 얼른 익숙해져서 무사히 진행되시길 바랍니다~ ㅋㅋㅋㅋ
아! 생일 이셨군앙~~~ ^^*
늦었지만 생일 축하드리긔영!
ㅋㅋㅋ 장치 붙일떄 침 맘대로 못삼키는거 완전 공감 ㅋㅋㅋ
하지만, 불편한 만큼 더더더 이뻐지는 지름길로 가고 있는거니까 으쌰으쌰!!!
2013년도 화이팅 즐교 입니당!!!
나의 행운이 항상 당신과 함께하길...