[킬본 돌출입 교정 22.] ①⑨번째~ 블랙트라이앵글 없애기 +_+
이사모 가족 여러분 안녕하세요오~
킬본교정을 사랑하는 레드썬입니다~ :D
올 한해의 마지막달 12월이 시작되었네요~ 이제 2012년도 얼마 남지 않았다는... ; ㅁ;)>
ㅇ ㅏ..!! 이렇게 또 한 해가 지나가는군요~ ^^
2012년이 지나면 한살 더 추가요~!! (나이 먹는 게 가장 쉬웠어요 ㅎㅎ 냠~ ' ㅠ' ㅈㅅ;;)
이번 월치료 때는... + _+ 어떤 진료를 받고 왔을까요~!? (이미 제목에 답이...ㅋㅋ)
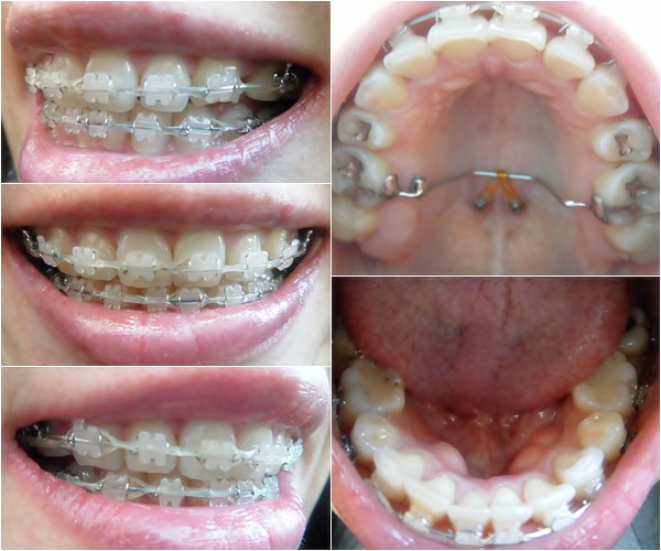
우리 교정인들의 걱정이자 고민인 블랙트라이앵글~! - _ -)^ 없애고 왔습니다~ ^ ㅅ')v
이렇게 삐뚤삐뚤했던 앞니가 가지런하게 펴지면서 치아 사이에 블랙트라이앵글이 생겼어요 ㅠ_ㅜ
돌출입도 들어갔고 치아도 가지런해졌고 너무 좋은데~~
딱 한가지 문제점... 치간칫솔이 통과할 정도의 뻥 뚫린 블랙트라이앵글~ - _ -)!!
예상은 했었지만... 막상 블랙트라이앵글이 생기니 은근 신경쓰이더라구요.. ' ㅁ')a
저는 교정 막바지에 블랙트라이앵글을 없애는 줄로 알고 있었는데..
이번 월치료 때 원장선생님께서 블랙트라이앵글을 없애주셨습니다~ ^ㅇ^

상악 치아 딱 가운데 뻥 뚫린 블랙트라이앵글~ 미워요~ ; ㅁ;)>
아래 녹색 부분처럼 치아 안쪽을 살짝 갈아 주고~ 파워체인으로 양옆에서 당겨 주면~!
짜자쟌~!! 블랙트라이앵글이 없어졌어요~ + ㅁ+)! >>ㅑ오~!!
처음 치아 삭제를 했을 때 가운데 치아에 틈이 생겨서 반 영구가 된 느낌이었는데... ㅎㅎ
하루만에 이렇게 치아 틈도 사라지고 블랙트라이앵글도 사라졌어요~ :D
너무 좋고 신기해서 거울 보고 또 보고~ ^^ㅣ익~ * 블트때문에 괜한 걱정했었다는 생각이 드네요~
ㅇ ㅏ~ 상악 6번 치아 바이트블럭도 제거도 했어요~ 오랜만에 또 윙윙~~ @ _@
아프지 않게~ 세심하게~ 신경써서 진료해주신 원장선생님, 치위생사선생님 정말 감사합니다~ :D
치아 전체 사진예요~ 이제 발치공간도 거의 다 닫혔고~ 블랙트라이앵글도 없어졌고~ 완전 신나요~ > ㅁ<
왼쪽 상악부분에 발치공간 쪼금 남았어요~ ^^
와이어 마찰력이나 식습관, 잇몸뼈(?), 기타등등에 따라서
발치공간이 줄어드는 속도가 달라질 수 있다고 해요~
닫히는 속도가 약간 다르더라도~ 언젠간 다 닫힐테니 조급해하기 없긔 + ㅁ+)~
요즘 요리하는 취미가 생겨서 잘 먹었더니~ 포동포동 볼살이 늘었어요 ㅋㅋ
------------------------------------------------------------------------------------------------------------------------
정말 뜬금없지만 이쯤에서 뽀나스~! (요리하는 취미 얘기가 나왔으니~)
전자렌지로 요거트 만들기 + ㅁ+)// 정말 간단한거라 요리라고 하기에는 민망하네요 ㅎㅎ
1. 준비물 : 우유, 요거트, 밀폐용기, 플라스틱 수저 ( 주의 : 무지방, 저지방 우유는 안되요~! 일반우유로~ )
2.밀폐용기에 우유를 부어요~
3. 전자렌지에 넣고~
4. 2분 정도 돌려주기~ (뜨뜻 미지근한 정도로 적당히)
5. 요거트랑 플라스틱 수저 준비~ ( 주의 : 쇠수저는 안되요~! 유산균이 죽는대요 ㅠ)
6. 데운 우유에 준비한 요거트 한통 넣고 플라스틱 수저로 저어주기~
7. 잘 섞은 후, 다시 또 전자렌지에 넣고 2분 돌려주기~
8. 밀폐용기 뚜껑 꼭 닫고 10시간 쯤 발효 시키기~ (전 뜨뜻한 방 침대 밑에 하룻밤 정도 놔뒀어요 ㅎㅎ)
9. 10시간 (8~12시간) 후에 열어보면 완성~ ^^ 이렇게만 보면 제대로 만든건지 잘 모르겠죠~?!
10. 수저로 떠 보면 몽글몽글 순두부 같은 요거트~ 만들기 성공 ㅋㅋ 이제 시원하게 냉장고로 고고~
11. 완성된 요거트에 과일, 견과류, 쨈, 꿀 등을 넣고 먹으면 더 맛있어요~ ^ㅁ^
교정 시작하고 나서 부드러운 음식을 찾다보니 요거트를 즐겨 먹게 되었는데요~
처음 인터넷에서 레시피 찾았을 때 이게 진짜 만들어질까 하는 생각이 들었는데...
이렇게 만들어 지는 거 보니 정말 신기해요~ + _+
만드는 방법도 간단하고~ 양도 많고~ 내맘대로 당 조절도 되고~
저처럼 요거트 좋아하시는 분 계시면 한번 도전해 보아요~ ㅎㅎ
첫눈을 기다리는 설레임으로~ 12월도 여유롭고, 포근한 시간 보내시길 바래요~ ^^
우리 함께 즐거운 교정 화잇힝입니다~ + ㅁ+)// 뿅~☆

난 저거 그냥 다음에 만들어서 가져다 달라고 하고 싶군! ㅋㅋㅋ
한통 내꺼 가져 올거라 믿을게 ㅋㅋㅋ
난 딸기 좋아해 (딸기 넣어달라는 겅미 ㅋㅋㅋ)
증말 많이 좋아졌구나~~~
확실히 정말 킬본이 돌출에 좋긴 좋아... 다른분꺼도 보면서 느끼지만 돌출엔 킬본!!!
나때도 킬본이 있었더라면 좀이라도 더 빨리 교정이 끝났을까??? 하는 의문이 볼때마다 드네~
아... 갈 수록 좋은 치료법들이 나오고 하니 배아프다.
온갖 고생 다하면서 교정했던 나의 지난날들이여...
그래도 ㅋㅋㅋ 교정은 내가 제일 잘된거 같아. 푸히히~
막 이러고 있다. ㅋㅋㅋ 나 뭐래니? ㅋㅋㅋ
발치공간보니 곧 끝날거 같아서 부럽네요.. 블트도 없고 치아도 넘 깨끗하고 이뻐보여요
요거트 하나로 저렇게 많은 양을 만들다니 별로 좋아하지는 않지만 한번 만들어보고 싶네요^^