이사모 가족 여러분~ 안녕하쎼요~ 레드썬입니당~! :D
오랜만에 인사드리네요~ 다들 잘 지내셨나요~? + ㅁ+)// 자주 글 남기지 못해 죄송합니다.. ㅠ_-
요즘 아침 저녁으로는 제법 쌀쌀한 날씨라~ 감기 걸릴까 걱정되지만.. -,.- 훌쩍~
푸른 하늘도 좋고~ 따스한 햇살도 좋고~ 시원한 바람도 좋고~
이렇게 날씨가 좋으니 덩달아 기분도 좋아지네요~! ^ㅡ^*
교정 일기 시작합니다 ^ ㅂ^)~
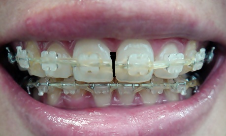
17번째 월치료~
삐뚤어져 있던 상악 앞니가 가지런해지면서~
설마했던 블랙트라이앵글이 생겨 버렸네요.. ㅠ_ㅜ
근데 오잉~ ' ㅁ')!?
블랙트라이앵글 부분이 점점 넓어지더니.. 상악 앞니 사이에 틈이 생겨서 더 놀랐어요 ㅋㅋ
요런식으로 가운데 앞니에 틈이 살짝 생겼었는데요~
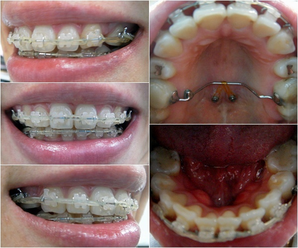
상악, 하악 와이어 새로 바꾼 후, 원장선생님이 파워체인을 짱짱하게 2중으로 연결해 주셨어요~ ^^
그랬더니 3일 만에 가운데 치아 틈이 사라졌다는.. + ㅁ+ 이렇게나 빨리 ㅋㅋ 신기해용~ ^^
아..!! 그리고 또 다시 시작된 고무줄 걸기~~ > ㅅ<
상악 5번 치아와 하악 7번 치아에 이렇게 걸고 있답니다~ :D
하악은 제일 안쪽 브라켓 부분이라.. 고무줄걸이 없으면 고무줄 걸기 힘들어요~ ' ㅁ')~
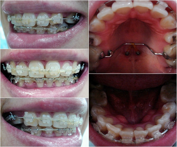
18번째 월치료~ 병원가기 며칠전에 왼쪽 하악 스크류가 빠졌어요.. ㅎㄷㄷ;;
나름 조심한다고 신경썼었는데..
스크류가 빠져버리다니~! 빠져버리다니이이이~ ㅇ _ㅇ)!!
완전히 쏙 빠졌던 건 아니구 잇몸에 달랑거리면서 위태롭게 매달려 있길래..
그냥 놔뒀다가는 어느 순간 삼켜 버릴지도 모른다는 생각에~
제가 직접 손으로 살짝 돌려서 뺐어요~ ^^;;
거의 다 빠져있던 스크류를 뺀거라 아프지는 않았습니다 ㅎㅎ
빠져버린 스크류님 기념사진~ ' ㅅ')v
헐~! 접사로 찍은거라 좀 커보이는거 같지만.. 실제로 보면 쪼그맣고 귀여운 스크류랍니다~ :D
교정중에 치아가 이동하면서 스크류가 빠질 수도 있다고 해요~
빠진 스크류 다시 심어야 하나 걱정(?)했었는데... ㅎㄷㄷㄷ~!
원장선생님이 스크류 다시 안 심어도 된다고 하셔서~ 다행이예요~ 휴유우~
상악 와이어 새로 바꾸고 파워체인 연결 다시하는 걸로 진료 끝~~ ^ㅂ^
짜잔~ 하악 발치공간은 거의 다 닫혔구요 + ㅁ+ 상악 발치공간은 아직 조금 남았어요~ ^^
ㅎ ㅔ~ 얼마전에 지인분들과 함께 가을여행 다녀 왔었는데요~ 맘에 드는사진 몇 개 올려 볼께요~!! > ㅁ<
전북 남원 광한루예요~ 일부 공사중이라 입장료가 무료였다는~ ' ㅁ')!
티비랑 사진으로만 봤었던 도로~ 실제로 보니 더 멋있네요~
섬진강 레일바이크~ 이거 진짜 재미있어요 ㅋㅋ +_+
색이 예쁜 코스모스꽃~ :D

맛있는 음식도 먹고~ 냠~ ^ ㅠ^
아... 저는 사계절중 가을을 제일 좋아하는데요~~ 갈수록 봄/가을이 짧아지는거 같아 아쉽네요 ㅠ_-
점점 추워지는 날씨에 다들 감기 조심하시구요~ ' ㅁ')//
즐거운 교정~ 함ㄲㅔ 화잇힝해요~♡ 행쇼~ ^ㅅ^
