안녕하세요~ 레드썬입니다~ ^ㅇ^ ♪
요즘 날씨 많이 덥죠~!? 요 몇 해 중에 가장 더운 여름인 거 같아요~ orz
몸과 맘이 축~ 처지는 무더운 날씨지만~ @_ @
이럴 때 일 수록 더욱 더 건강관리 잘 하구~ 치아관리도 부지런히 해야겠죠~? + ㅁ+
자~ 우리 같이 힘냅시다~~!! : D
킬본장치 떼고 나서 일반 세라믹장치로 바꾼 후 처음 다녀 온 월치료예요~ ' ㅂ')//
저번 진료 때 상악 어금니에 브라켓 못 붙인 부분이 있었는데요~
이번 월치료 때 다 붙이고 왔어요 ^ ㅁ^ 얏호~!
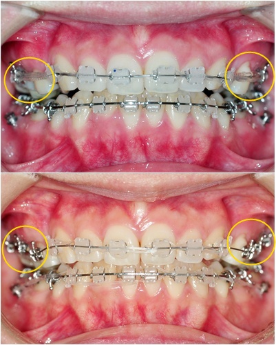
상악 브라켓 다 붙이고 나서 더 두꺼운 와이어로 바꾼 후 앞니 부분에만 파워체인 연결했구요~
하악은 그 전에 했던 와이어보다 얇은 와이어로 바꾸고 스크류 부분에 파워체인 연결했습니다~
어금니 바이트 블록 높이도 약간 달라진 거 같아서 잘 맞게 다시 조절해 주었어요~
달라진 부분 자세히 비교해서 보여 드릴께용~ ㅇ _ㅇ)!!
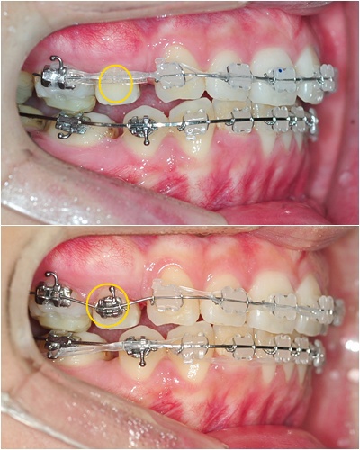
└▷ 브라켓 못 붙였던 어금니 부분 와이어에 투명한 빨대같은 걸 넣어서 보호(?) 했었구요~
이번에는 동그라미 한 부분 어금니와 제일 안쪽 어금니에 브라켓 추가로 붙였습니다 ^^
└▷ 이렇게 옆에서 보면 더 잘 보이죠~ㅋㅋ 치아 높이 차이로 인해 와이어가 많이 휘었어요~!
상악 발치공간은 눈에 띄게 많이 줄었네요~ ^^ 오호~
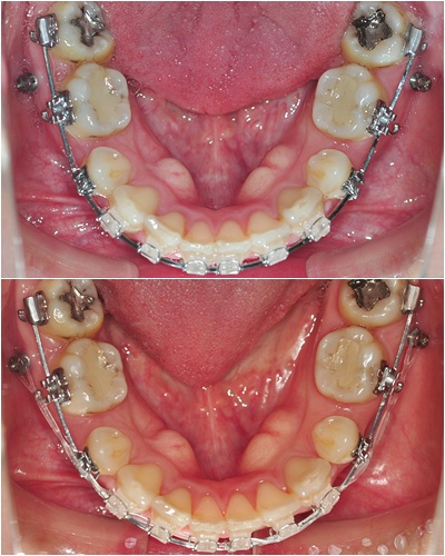
└▷ 하악은 발치공간이 금방 닫힐 거라 생각했었는데.. 닫힐 듯 말 듯~!? 아직 그대로네요~ ' ㅁ')a
이번에 파워체인 연결 다시 했으니 다음 진료 때는 발치공간이 더 줄어들겠죠~!? ^^
└▷ 상악은 앞니 한쪽이 톡 튀어 나와 있었는데~ 지금은 가지런해졌어요~~ ㅎㅎ
킬본장치는 뗐지만 입천장 스크류는 남겨 두었습니다~ (읭~!? 쓸 곳이 있기 때문에~ ^^)
킬본장치 붙이고 월치료 다닐 때는 통증을 별로 못 느꼈었는데~
일반장치로 바꾸고 월치료 다녀온 후에는 통증이 많이 느껴졌어요... ㅠ ㅅㅠ
참을 忍! 忍! 忍! 이 통증을 견뎌내는 교정인들~ 다들 정말 대단해요~~ + ㅁ+)// 박수~ 짝짝~!
└▷ 바깥쪽으로 브라켓을 붙이면 입이 다시 돌출된 것처럼 보일까봐 걱정했었는데요..
다행히 입이 나와 보이지는 않네요~ 아주 살짝 나와 보이는 거 같긴 하지만 기분 탓이겠죠~!? ^^;
└▷ 오대산 전나무숲길 다녀왔어요~ 풍경도 정말 예쁘고 공기도 맑고 시원한게 너무 좋았어요~ >ㅁ<
더운 여름이지만 모두들 건강 유의하시고~
긍정적인 마인드로 시원한 여름 보내시길 바래요~ ' ㅁ')//
즐거운 교정 함께해요~ ^ ㅇ^)* 아자아자~ 화이팅~☆

바이트블럭 하셨는데도 윗 치아가 아랫치아를 덮네요 ㅠㅠ 전 2mm쯤 떨어져 있군요... 아 요즘 관심이 바이트블럭하고 치아 각도에만 쏠려있어서 그것만 눈에 들어오네요 ㅋㅋㅋㅋㅋ
발치공간 거의 다 닫혀가는군요~
치아 높낮이에 따라 와이어가 휜 게 신기해요!
발치공간이 정말.. 빠르게 닫히시네요 @_@
계곡.. 시원해보여요 ㅠㅠ
올 여름에 제대로 된 피서 한 번 못 가다가....
다들 다녀올 요달 말에 늦피서 간대요 ;ㅅ;
레드썬님도 시원~ 한 여름 되세요!!! 'ㅅ' /*