[치아교정후기]8 촉촉뇽의 오라픽스
치아교정후기 -월치료 후기
안녕하세요 ^^*
촉촉뇽의 오라픽스 치아교정후기입니당~ㅋㅋㅋ 이번에 8월번째 치과를 다녀왔어요!
이제 4개월쯤 접어드는 것 같은뎅 벌써 8번이나 다녀왔네용 ㅎㅎ
앞으로도
치아교정 치료기간동안 열씨미 꾸준히 치과를 방문해야겠죠! ㅎㅎ
장마가 온다는 말에 레인부츠까지 신고 만만에 준비를 해서 서울에 올라갔지용
근데 민망해 죽는 줄 알앗어요 ㅋㅋㅋㅋ 그 날 참 날씨가 맑더라구요 ㅋㅋ
약한 비가 아주 잠깐 와서 덜 민망하긴 했지만 ㅋㅋㅋ
그렇게
당당히 레인부츠를 신고 서울을 향했습니다~~
치과에
도착해서 양치질하고 기다렸습니당~
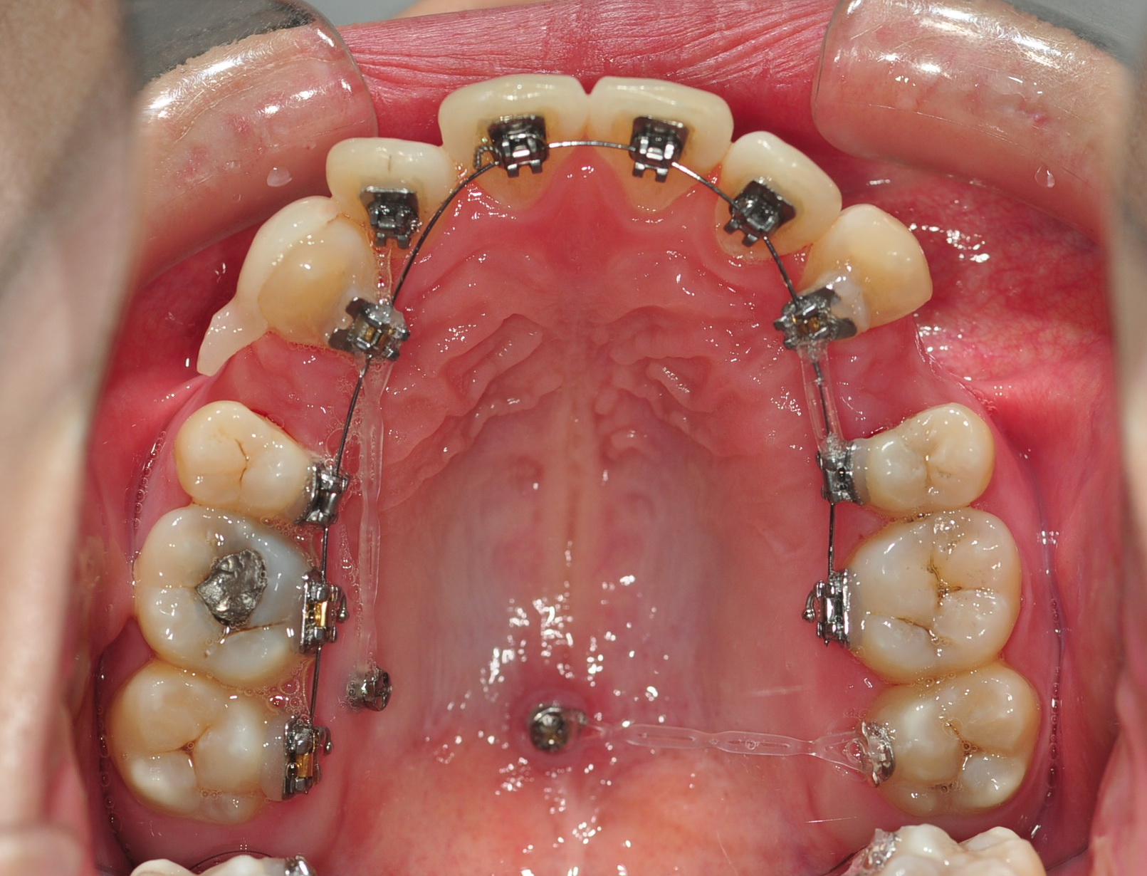
이제 치아교정 월치료 시작~~
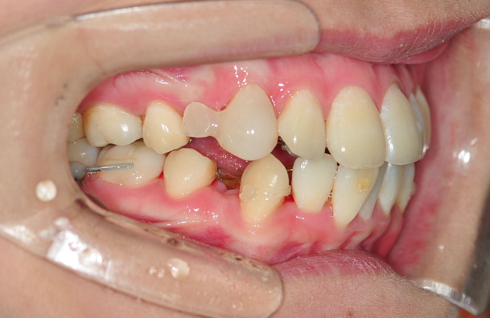
이번 오라픽스 치아교정 치료는 고무줄을 파워체인으로 교체하는 것과
상악에 심어두었던 스크류와 상악어금니를 연결하는 치료를 하였어용
두달 전쯤 치아교정 장치 브라켓이 떨어졌던 어금니와 연결하였답니당




원장선생님께서 치아의 이동상태를 보시고는 잘 이동하고 있다고 하시더라구요 ><
왜케 기분이 좋은지 ㅎㅎ
치아교정 치료가 잘 되고 있다는 말보다 더 행복한 얘기도 없겠죠 ^^*!
그런데 복병이 생겼어요 ….. ㅠ.ㅠ 미처 발견되지 못했던 충치가..
치아교정치료를 하면서 치아사이가 벌어지면서 발견되었답니다. ㅠㅠㅠㅠ
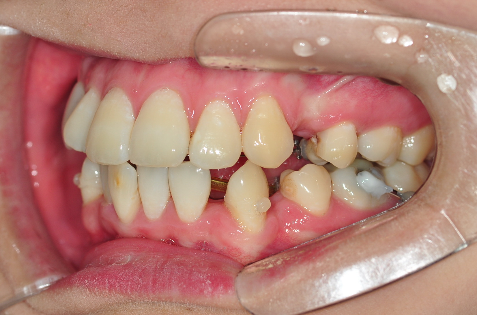
상악어금니에용 … 그것두 두 개… 5.6번치아 ㅠ.ㅠ
치위생사선생님께서 한 치아는 신경치료가 이루어질 수도 있다고 하셨어용 에구구…
이래서 어렸을 때부터 올바른 양치질습관을 길러야 한답니다. !
정말 어린 친구들에게 제대로 교육홍보하고 싶네용 ㅋㅋㅋ
그래서 대구내려가서 충지치료를 하려구 의뢰서를 받아왔습니당~
직장근처 치과에 들려 사진찍고 확인해 보니 5번치아 충치가
조금 심한 편이라고 하시더라구요… 일단 충치를 긁어내어보고 확인해바야
신경치료까지 가야할지 알 수 있다고 하셔서 일단 긁어냈는데
신경치료까지는 할 필요 없을 것 같다고 하셨어요 정말 큰 안도감이 ㅠ.ㅠ ㅋㅋ
치아교정 치료하는 과정에서 신경치료하려면 치아교정 장치 브라켓을 제거해야 할지도
모르는 상황이었는뎅 너무 다행스럽더구요~ 6번치아는 충치치료가 힘든 위치여서
일단 교정을 하면서 5번치아와 6번치아가 벌어지면 하기로 하였습니당~
그렇게 다행히 이번 문제가 해결되었어요 ㅠ.ㅠ ㅎ 휴우~~~
이제
진짜진짜진짜 양치질 열씨미 할거예요 ㅠㅠㅠㅠ ㅋㅋㅋ
여러분도 양치질 열씨미 하세요 ㅋㅋㅋㅋㅋ 특히! 치아교정 기간에는 특별히 더요~!! ㅋㅋ
장마 한 번 지나가더니 찌는 더위가 찾아왓어요 ㅠ.ㅠ
어디 시~~원한데로 놀러가고 싶네용
워터파크, 바다 아 가고싶은데는 많은데 이 놈에 일이 먼지 ㅠㅠㅠㅠ ㅋㅋ
휴가 짱짱하게 받아서 꼭 놀러가고싶네요~
여러분도
더운데 잘 드시면서 힘내시고요! 시~~~원한 여름되세요 ^^*


신사의품격에 나오는 음료먹으러 갔눈뎅 엄청엄청 시더라구요 ㅋㅋㅋㅋ
너무 셔서 깜짝놀랬답니당 ㅋㅋ
다음
월 치료에 오라픽스 치아교정후기 남길게요~~~ ^.^

교정하면서 양치만큼 어려운 게 또 없다는 걸 알게 되는 것 같아요.. 양치 잘 하기가 이리 어려워서야 원 ㅠㅠㅠ
그죠 ㅠ.ㅠ 쉬운것 같으면서도 잘 되지 않는게 양치질인거 같아요~ 교정치료 잘 끝내기 위해서 더 열씨미 불끈! 입니당 ㅎㅎ
저도 어금니 씌운 부분이 떨어져나가서 충치가 생길까 걱정인데.. 다음 월치료때는 꼭 체크해달라고 말씀드려야겠어요 ;ㅅ;
네네~ 미리미리 체크를 해야 할 것 같아요 ! 심해지면 교정치료에 어려움이 생겨서요 ㅠ.ㅠ 꼭 체크해보세요!
신사의품격음료 먹어보고싶네용ㅎㅎㅎ
저도 예전에 치료받았던 치아들이 다시 충치로 변해질라하는데 양치질이 깨끗이안되서 걱정이에요,ㅠㅠ
달고 셔요 음료가 ㅋㅋㅋ 가는 망고식스마다 맛이다르더라구요 ;;;ㅋㅋㅋㅋ
그래도 맛잇답니당 ^^*
그죠 양치질을 깨끗히 하는데 왜이로케 어렵죠 ㅠ.ㅠ 요즘에는 포인트 칫솔, 치간 칫솔 다 이용해서 하구 있답니다~ 깨끗한 양치질을 위해 화이팅하자구용 ^*^
다들 양치질이 고민인 건 같네요~~
저도 신경쓴다고 하는데도 맨날 언니들한테 혼나요 ㅋ
저도 망고식스가서 마셔보고 싶다는..새콤한 거 좋아하는데~ 궁금궁금^^
요즘은 양치질하는 시간을 많이 투자하구 잇어용 ㅎㅎ 한 번 마음 졸이고 나기 열씨미 하게 되더라구용 ㅋㅋ
새콤한거 좋아하시면 블루레모네이드 추천요 ^^*
고무줄이 여기저기 걸려서 더 양치하기 힘드실꺼가타여ㅜㅜ
저는 교정기에 고무줄 달린 것두 양치하기 너므 힘든거잇져....
맞아요 ㅠ.ㅠ 고무줄이 여러군데 연결되어있어서 양치질 초큼 어렵지만 ㅋㅋ 그래도 열씨미 할려구요 !ㅋㅋㅋ