[오라픽스 치아교정 7 ] 다리가 생겼어용^0^
삼주만이네요~요즘 너무 덥죠 ㅠ.ㅠ 모두 더위 먹지 않게 조심 또 조심 합시당>_<
저번에 발치 다 끝나구 정민샘께서
'담에오믄 왕두꺼운와이어 달아줄게요~'
하셨눈데!!!!
그동안 치아 고르게 피는 와이어는 부드러운 거였대요
이제 본격적으로 치아를 뒤로 당길 때 딱딱한 와이어를 사용한다고 했는데
첨에는 (원래도 딱딱한데 뭘 더 어떡게 딱딱하지?) 햇엇눈데
이제 뼈저리게 딱딱함이 느껴지네요ㅋㅋㅋㅋㅋ
와우!!!!
와이어 갈을 때 보통 30분이면 갈았었어요.
이번 월치료 때는 <롱~~~훅>이란걸 달으면서
(치과쌤이 치과언니한테 하는 말 들었숨)
두시간동안 입을 벌리고 있었습니당 흑
롱훅을 다는 것과 딱딱한 와이어가 들어오고
고무줄두 달으니까
진짜 왕 아파요......
후하후하
발치가 암것도 아니라는 소리가 이해가 되네요ㅎㅎㅎㅎㅎ
큰산 넘으니 더 크산이잇엇어 !~!
와이어 빛나는 것 봐봐요....ㅋㅋㅋㅋㅋㅋㅋㅋ
다리로 당분간 당기다가 나중에 스크류를 박을 건가봐요
저 다리를 달고 고무줄 다는게 정말 힘들엇다는...;;
가만히 해주는거 받고 있기도 힘든데 하시는 간호사 언니랑 치과쌤은 얼마나 힘드셨겠어요ㅜㅠ
감사합니다 ♬
아 그리고 와이어 갈다가 장치 하나가 살짝 떨어져서 다시 붙였어요
지그가 있으니까 떨어진게 보이면 바로 붙일 수 있드라구요
앞니 쪽이라 장치 떼는데 이빨빠지는지알앗어요ㅠㅠ
상악 치아 모습입니다. 발치한 부분이 잘 아물고 있네요~
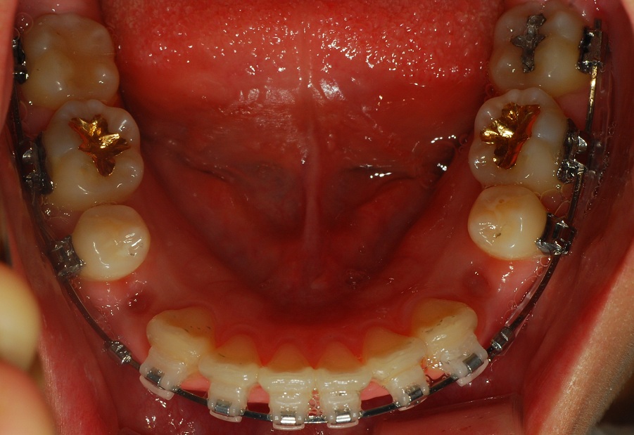
하악 치아 모습입니다.
와이어가 들어갈 때 부터 아 딱딱하다 는 느낌이 확들고
장치에 끼자마자 살살 아푸더라구요
그래서 '오늘이 아니믄 며칠동안 맛잇는거 못먹겟당'싶어서
빵을 엄청 먹엇어요ㅋㅋㅋㅋㅋㅋ부드러운 빵 위주로.
그다음날에는 정말 아파서 입을 앙 다물지도 못하겟어요
양치도 잘 못하겟구,,,...
하지만 용기를 내서 수박 먹기를 도전햇어요....
수박을 아주아주 잘게 쪼개요 엄지손톱의 사분의 일씩!!
그렇게 먹으니 많이먹어봣자 수박 한조각ㅋㅋㅋㅋㅋㅋㅋ
오우 다이어트에 도움되게써여
그리고 암것도 안먹고 있다가 저녁에 파스타 면만 골라서 아주 조금 먹었어요.
같이 먹는 사람이 거의 다먹엇어요ㅠㅠ
그리고 그 다음날에는 밥을 먹었습니다 이제 아푸긴 하지만 어제처럼 아푸진 않네요
역시 억지로라도 자꾸 씹으려구 하는게 더빨리 적응되는 방법인거가타옇ㅎ

한여름에 아이스링크장 갔다왓어요ㅋㅋㅋㅋ사람꽤 많드라구요
아 막 까불다가 넘어져서 옷 다젖구......넘어지지 맙시다ㅋㅋㅋㅋㅋ
제가 키우는 기니피그에요..... 좀더 자세히 말하믄 제 동생이 키우는 건데 제가 가끔 만져요ㅋㅋㅋ
동생은 교회수련회 갔구 저는 조만간 내일로 여행가는데
남동생이 게임에 정신팔려서 뚜비 밥안주진 않게쪄>?ㅠㅠ

빙수 최고 ㅠㅠ
교정 진행이 저랑 거의 비슷해진 듯 하세요...팍팍 진행되시는 것 같아 부럽긔....
그러고보니 바이트블럭 안 하는 분들이 많이 보이는데 윗니가 아랫니 브라켓에 닿지 않나요?? 바이트블럭은 언제까지 하는건지 원 ㅠㅠㅠ이에 철통을 붙인 것도 흉한데 바이트블럭 하고 지내니 맨날 입이 벌어진 상태라서 긴 얼굴이 더 길어져 슬프네요ㅠㅠㅠㅠ
ㅋㅋㅋㅋㅋㅋ10년 째 교정중인 제 친구가 바이트블럭 한 적이 없다고 해서 뭔가 억울한 느낌이에요 ㅋㅋㅋㅋ 미워하고 싶지 않은데... 얘 너무 오래 보니 완전 질리는 스딸ㅠㅠㅠㅋㅋㅋㅋㅋ
치아가 이동하고 교합이 맞으면서 나아진다고 하셨던거 같아요 'ㅅ'
그래도, 장치 떨어지는 것보다는 나으니까... 우리... 바이트블럭을 초큼 덜 미워해요... ㅠㅠ;;;
저는 바이트블럭이먼지 모르는데 먼가 브라켓있는쪽에 막 철사로 되있는거 말하는거 같네요
저는 앞니가 마니 튀어나와서 절대 닿지 않는다는 슬픈 현실.........이네여....ㅋㅋㅋㅋㅋㅋㅋㅋㅋㅋ
이제 정말 당기기만 하면 될 것같네요~! 빨리 치료가 되는 것같아용 부러워용 ~~~ ㅠㅠ
저는 아직 와이어 교체는 해보지 않았눈뎅 교정만님 후기 읽으니 그 당김이 그냥 느껴지네요 ㅠ ㅋㅋㅋ
와이어교체하기 전날은 마니마니 먹어둬야겟어요 ㅋㅋ 앞으로 남은 교정치로도 화이팅이요!
촉촉뇽님 홧팅홧팅!!!>_< 우리 같은 교정 하는데 힘내서 해용!!♥♥♥
와이어를 저는 갈때마다 교체하는데 빼는데 뻐근 끼는데 뻐근 뻐근!!!!!!
저는 언니가 진행이 빨라보여요ㅋㅋㅋㅋㅋㅋ벌써 스크류도 박으시구,....
저는 앞니 당길때 박을껀가봐요~
똑딱이 교정은 정말.. 딱 봐도 뭔가 더 좋아보여요 ;ㅅ;;;
발치공간 아물어가는거 보고 쌤께서... 쿠쿡거리며 발치공간이 귀엽다고 하신게....
생각나네요... -_- ;;;;;;;; 정말 진심으로.. '발치공간 아무는 모습' 을 귀여워하시던 모습이.... ;ㅁ;;
오미ㅋㅋㅋㅋㅋㅋㅋㅋㅋ취향이독특하신.....치과쌤이 더 귀여우신거가타여ㅎㅎㅎㅎ
교정기가 빛나는 것은 다 관리를 잘해서 그런거 아니겟 습니까 촤하하하
...................
..................
.................
...................
사실 그냥 교정기가 조음용...^___^
아,,ㅠ 치아사진보기만해도 아파보이네용,ㅠㅠ 저도 밑에 나사박으러오늘가는뎅,,ㅠ흙ㅋㅋ
그래도 아픈만큼 더 이뻐지실꺼라 믿습니당~~
화잇팅하세용!!~~
쭈렛님 감사해용♥♥♥♥ 쭈렛님두 홧팅!!
브라켓이 저를 꽈악!!잡구 잇는거처럼 보이져?ㅋㅋㅋㅋㅋㅋ
우아..와이어 진짜 두껍네요...
저는 오히려 너무 얇은 걸 해서 그게 돌아다니며서 입안을 다 찔러서 엄청 고생했어요..맨날 피바다 ㅠ ㅡ
발치하셔서 아프셨겠지만, 엄청나게 드라마틱한 변화가 있을 거 같아용 기대기대*.*
헉 와이어가 돌아다닌다구 생각하니.....너무 섬뜩하네여ㅠㅠ
진짜아푸셧겟어여ㅠㅠㅠㅠ
썬아님은 교정 끝나셔서 부러워용!!!
다 잘 참아서 이뿌고 가지런한 이를 가지게 되셔서 추카드려영!!!^_^