[킬본 돌출입 교정 18.] ⑭번째 킬본장치떼고 일반장치붙이기 ^^
2012년 06월 15일 금요일 오전 10시 00분 [ + 326일 ]
안녕하세요~ ^ㅇ^ 레드썬입니다~ ' ㅁ')~
킬본교정 시작한지 326일만에 드디어~
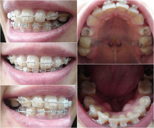
상악 킬본장치 떼어내고 일반장치 붙였어요~ ^ㅡ^ 축하해주세용~ ㅋㅋ
원장 선생님은 입을 조금 더 넣어도 될 거 같다고 하셨는데요~
저는 지금 상태로도 충분히~ 너무너무 만족합니다~!! + ㅁ+)//
병원가기 전날 정말 설레여서 잠도 설쳤다는~ = ㅅ=)*
아ㅏㅏㅏ 킬본장치가 통채로 연결되어 있는 장치이다 보니...
떼어 낼 때는.. 자르고? 땡기고? 뜯고? 하다보니 치아에 큰 충격이..!! 후덜덜~;;
솔직히 예상했던거 보다 더 많이 아펐습니다~ 뜨아~ 눈물이 글썽~ ㅜㅜ
원장 선생님은 아프게 해서 미안하다는 티를 내시고~ ㅋㅋ
치위생사 선생님은 놀라지 않게 손도 꼭 잡아 주시고~ > ㅁ<
생각보다 많이 아펐지만 다들 걱정하며 위로해주셔서 괜찮았어요~ *^^*
킬본장치 떼고 나서 치아 안쪽에 남아 있던 접착제 깔끔하게 제거했구요~
상악에 일반 세라믹장치 순측으로 붙였습니다 + _+
다 붙이고 나서 와이어 끼우고 파워체인 연결했구요~
하악은 한 단계 더 두꺼운 와이어로 교체했어요~
그 날 진료받은 총 시간은 2시간 30분 정도 걸렸던 거 같아요~!
원장 선생님~ 치위생사 선생님~ 다들 고생 많으셨어요 ㅠㅠ 정말 감사합니다~ ^ㅇ^ ♡
일반 세라믹 장치 붙인 치아사진 보여 드릴께요~

즐교를 해서 그런가... 경과가 아주 좋아보이네요~
정말 가지런하고 예쁘네요.. 효과가 너무 좋아 행복하시겠습니다. 남은 기간도 즐겁게..
킬본은 중간에 장치를 떼고 새로 붙이는군요 ㅇㅂㅇ 오오
흐아 저는 이제 당기기 시작인데 입도 못 다물겠고 진전이 없네요 ㅠㅠㅠ 화이팅입니다 ㅠㅋㅋ
웃는게 너무 이쁘세용~~ 교정 다 끝내시고 나면 정말 이뻐지시겟어요! ><
허럴 레드썬님 너므 이뻐지셧어용!!!!!!!부러워어요>_<
우아아아아~~시간이 벌써 이렇게 흐른거에도 깜짝 놀라고!
레드썬님 워낙 미인이셨지만 더 드라마틱한 변화에 두번 놀라네요~~ 이야~~~~
^ㅡㅡㅡㅡ^
와 완전 축하드려요!! 진짜 대박 부럽습니다.ㅠㅠ 전상악언제때려나요ㅠㅠㅋㅋㅋ
래드썬님 웃으실때도 너무 이쁘시고 정말 청순하세용가리~~^^
오오오오... 언늬 이뻐요 이뻐 +_+ 저도 8개월차인데 ㅠㅠ 홧팅해야겠어요.!