[치아교정후기7] 촉촉뇽의 오라픽스 치아교정 후기- 7번째 치아교정후기
안녕하세요~^.^ 촉촉뇽의 치아교정후기 입니당~ ㅎㅎ
이번에 월치료를 다녀왔어요! 금방 또 치아교정후기를 쓰게 됐네요 ㅎㅎ
이제 치아교정 월치료를 받으러 서울가는길도 너무 익숙해서
그런 제 모습에 신기하더라구요 ㅋㅋㅋㅋ
기차시간을 놓칠 뻔 했지만 ㅠ.ㅠ 다행이도 무사히 서울에 도착햇어요 ㅎㅎ
이번 월치료 가기 전에 오른쪽 가짜치아가 떨어졌었어요 …
돈가스 먹고 말하다가… ㅋㅋㅋ 저는 왜 이렇게 잘 떨어지나요 … ㅋㅋㅋㅋ
그래서 떨어진 가짜치아를 월치료갈 때 가져가야지 하고 챙겨놨는데
헉, 깜빡하고 집에 두고 왔더라구요 ㅠ.ㅠ
그렇게 가짜치아를 집에 놔두고 …ㅋㅋㅋ 서울로 갔습니당 ㅎ
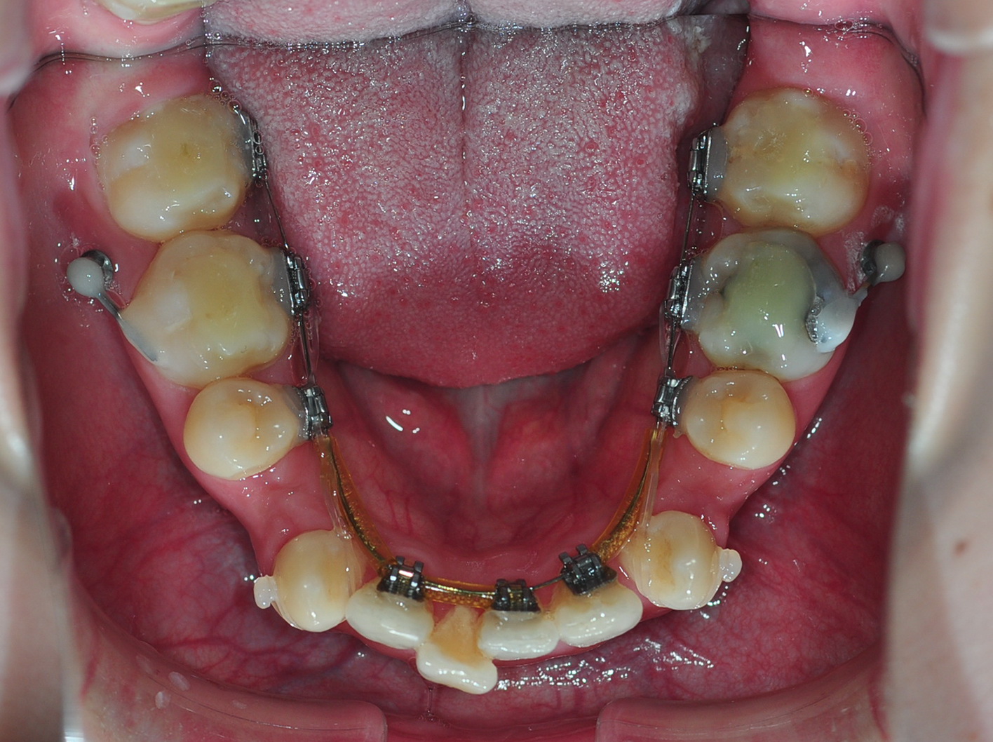
이번 월치료에는 상악에 고무줄 체인지,
하악에 어금니와 스크류 연결, 하악 송곳니에 고무줄을 감았답니다.
상악에 있는 스크류와 치아교정 장치를 연결하는 고무줄을
좀 더 강한 것으로 교체하였어용~~
그리고 하악 어금니 쪽에 있는 스크류에 동그란 것을 만들고
어금니와 철사로 연결을 하여주셨는데요
(음… 말이 좀 이해가 안되시죠 ㅠ.ㅠ 사진으로 확인해주셔용)
스크류는 지지대 역할을 하는 것이잖아요 ~
이것을 지지대로 하여 어금니와 연결함으로
어금니가 앞으로 당겨져 나가는 것을 방지하는 것이라고 하시더라구요~~
스크류는 치아교정 치료에 중요한 역할을 하는 요소인 것 같아요 ㅎㅎ
그리고 하악에 송곳니를 고무줄로 돌려서 치아교정 장치에 연결해주셨습니다.
이것은 제 송곳니가 자꾸 베베 돌더라구요 ㅜㅜ ㅋㅋㅋ 왜 이런건지 ㅋㅋ
선생님이 마음이 그래서 그런거 아니냐며 ㅠ.ㅠ ㅋㅋㅋㅋㅋㅋㅋㅋㅋ
아녀용아녀용! 저는
착한 마음을 가지구 있다구요(죄송해요 ㅜㅜ ㅋㅋ)
하여튼 그래서~
송곳니가 올바르게 자리잡으면서 치아교정 치료가 이루어지도록 해주셨습니당!
한 쪽 가짜 치아는 가져오지 못한 저의 불찰로 ㅠ.ㅠ ㅋㅋㅋ
그냥 없어도 괜찮다고 말씀 드렸어용ㅎ
저는 없어도 상관이 없는 것 같더라구요 ㅎㅎ
그래서 가짜 치아가 붙어있던 자리에 접착제만 제거해달라고 하였답니다^.^
착하신 치위생사 선생님께서 깨끗이 제거해주셨어용
조아조아 ><
이렇게 하여 이번 치아교정 월치료는 끝이낫답니당 ㅎㅎ
경주에서 일하고 있는데 정작 경주를 여행해보지 못해서ㅠ.ㅠ
날씨가 맑아지길 빌어야게써요 ㅋㅋㅋ
그럼 다음 월치료 다녀와서 치아교정 후기 남길께요 ^^*
항상 좋은 하루하루 되세용 ~ 치아교정인 여러분들 파이팅!

오라픽스는 다 설측인가요?
아니요~ 순측, 설측 다 가능한 것으로 알고 있습니다~ 저 같은 경우에는 설측이 적합한 치아형태여서 선생님께서 선택하여 주셨구요 ^.^
저랑너무달라서머가먼지모르겟는ㅋㅋㅋㅋㅋ어금니에 다는거 진짜신기하네요
그죠 ~~ 저두 어금니의 장치달구 나서 신기하다 느꼇어용 ㅋㅋㅋ 교정치료과정에는 신기한 장치들이 참 많은것 같네요 @@
와우,, 어금니에 스크류다는건 처음보네요~~ 교정이뿌게 하셔서 지금보다 더욱 이뻐지세용~~홧팅!