안녕하세요~ 촉촉뇽의 치아교정후기 입니당 ^.^
치아교정을 한 지 한달 채 되지 않았는데 …. 벌써 치아교정 장치를 탈락시켜버렸어요 ㅠ.ㅠ 헝
바야흐로 이주전… 회사에서 워크샵을 갔지요~ 동료들과 웃으며 과자를 맛있게 먹고 있었답니당
그 뻥튀기라는 과자(나쁜과자같으니라공! ㅠㅠ) 아시나용~ 그걸 맛잇게 씹어먹고 있는데…
어금니로 후드득 씹어먹는 순간 무언가 불길한 예감이… ㅠ.ㅠ 결국 일을 내고 말았지요
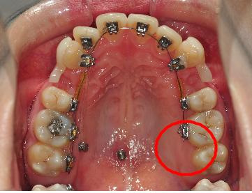
상악 좌측 1번 어금니의 치아교정 장치가 탈락하는 사태가 발생했습니다 ㅠ.ㅠ
너무 당황한 나머지 바로 치과에 전화를 했고 치과예약을 잡았어용
너무 슬펐답니다ㅠ.ㅠ
치아교정 장치가 탈락하게 되면 치아교정 기간이 길어진다는 얘기를 들었는뎅
저의 조심성 없는 마구잡이 음식섭취로 치아교정 기간을 늘렸다는 사실에 너무 속상했어요ㅠㅠ
속상함도 잠시 철사에 대롱대롱 달려있는 치아교정 장치가 막 움직이니깐 신기하고
먼가 재미진 것이 계속 혀로 확인하게되더라구용 ㅋㅋㅋ
(치아교정장치를 떨어뜨리는 실수를 하고도 정신 못차렸죠 ㅋㅋㅋ)
그러다 저녁에 양치질을 하다가 치아교정 장치가 철사에서 떨어지더라구용
하수구 물 내려가는 곳이 넓었다면 교정장치가 빠졌을 텐데
다행이 치아교정 장치를 구해냈습니당 ㅎㅎ
이 때부터 저의 고통을 시작되었어요 ㅠ.ㅠ
그 치아교정 장치가 철사에서 빠지니깐 철사가 노출이 되었어용
더군다나 어금니 맨 안쪽이니깐 철사의 끝부분이 살아있는(?) 상태였죠
철사가 저의 혀를 찌르더군요 ㅠ.ㅠ
말할 때, 음식 먹을 때 아픔이…
치아교정 장치를 하고 아픔을 못 느꼈던 저에게 최대의 위기였던거 같아요 ㅠ.ㅠ
그래서 치과에서 알려주신 대로 왁스로 철사를 돌돌 감고 그랬어용
이것도 힘든 과정이였어요 쉽게 붙지 않아서요ㅠ.ㅠ ㅋㅋ
어떠케든 아픔을 없애야 겠다는 집념을 가지고 작업했습니다. ㅋㅋ
드디어 치과를 가는 날 !
탈락된 치아교정장치, 브라켓을 챙겨들고 갔습니다~
의사선생님께서 보시더니 초기라서 굳이 안와도 되는 부분이었다고 하시더라구용 ~
다행이었어요 ㅠ.ㅠ
이번 치아교정 장치 탈락으로 치아교정 기간이 길어지면 어쩌나 걱정했는뎅
그런 부분이 아니었다는 말에 안심을 했습니당 ㅎㅎ
그래도 월치료를 앞당겨 간 김에 하악 고무줄을 더 타이트한 것으로 교체해주셨구용
상악에 스크류 고무줄부분도 새 것으로 교체해주셨습니당~~
휴휴 다행이예용!!
그리구 이번에 탈락한 교정장치는 앞에 엉클어진 치아들을 펴고 붙일거라구 하셨답니당~
탈락하구 노출된 철사도 잘 마무리해주셔서 이제 혀도 살았답니당 ㅋㅋㅋ
이번 사건을 계기로 음식물 섭취에 조심조심을 하고 있어요 ㅎㅎ
치아교정 장치가 탈락한 것에 충격을 받았나바요 ㅋㅋㅋ
그래도 맛난거 많이 먹구 있다는 ㅎㅎ
여러분들도 조심하시구용! 우리 모두 무사히 치아교정 치료를 끝내도록 해요~^.^
요즘 날씨가 부쩍 더워졌죠 ㅠ.ㅠ 그래도 전 여름이 좋아요~~ㅎㅎ
모두들 즐거운 하루하루 보내시공~
다음 월치료 다녀와서 치아교정 후기 또 올리겠어용 !!!

설측이라 더 아프셨겠네요.. 덜덜..
저두 일전에 고기를 너무 열심히 먹다 장치가 탈락되었는데 그만 타지역에 몇일간 출장중인 상황이라
치과를 못가 몇일 고생한 기억이 있는데,,
사진를 보니 그 기억이 나네요. ㅎ
아무튼 음식은 조심조심 먹어야 하는것 같아요 ㅎㅎ
고생하셨겟어요 ㅠ.ㅠ 정말 너무 아파서 막막하더라구요 ㅠㅠ ㅋㅋ 그래서 요즘은 무서워서 조심조심히 먹구있어용 ㅋㅋㅋ 선비님도 항상 조심하셔요~ ㅎ
전 요즘 요령이 생긴건지 장치가 튼튼한건지 브로콜리도 먹고(줄기가 꽤 딴딴해하네요) 치킨무도 먹고 잘 먹고 있어요 ㅋㅋ 씹으면서 느낀게 전 순측이라 어금이 위아래 닿는 면하고 혀쪽면이 닿게 씹어서 장치 쪽은 잘 안 건드리는 거 같아 가능한 것 같더군요 설측이신 분들 힘드실 듯 ㅠㅠ 전 요번에 병원 가기전날 카레를 먹어야겠어요 ㅠㅠㅠ카레 못 먹은지 너무 오래됐네요
ㅋㅋㅋㅋㅋ가기전날 카레 섭취 ㅋㅋㅋㅋ너무너무 먹고 싶을 땐 과감하게 드세요! ㅋㅋㅋㅋ
설측은 정말 힘들 것 같네요ㅠㅠㅠㅠ
그나저나 입 천장 나사는 정말 아플 것 같아요ㅠㅠ
그래도 제가 교정체질인지 고통없이 치료중이랍니다 ㅎㅎ
스크류도 보면 무섭게 보여두 전혀 아프지 않아요 ! ㅎㅎ
헛~ 혀 찔렸던 부분 정말 아퍼 보여요.. ㅎㄷㄷ ;;
장치 탈락되지 않게 음식 먹을 때 조심해야겠네요 ㅠㅠ
나중에 적응되고 나면 요령이 생길 거예요~ ㅋㅋ
힘내시구요~ + ㅁ+ 즐거운 교정 화이팅입니다 ^^
네 ㅠ.ㅠ 교정하면서도 아프지 않던 고통이 ... 장치탈락으로 인해 최대의 위기를 맞은기분이엿어요 ㅜ ㅋㅋㅋ 이제는 다 나아서 다시 잘 먹고 있답니다^.^ 레드썬님도 교정화이팅입니다! ㅎㅎ
으엇.. 끝에 어금니 브라켓이 떨어지면 조심해야겠다는 생각이 들었어요...
제일 끝이라 장치가 아예 빠져버리는군요 ;ㅅ;;
실은 저... 브라켓 '또' 떨궈서 오늘 '또' 병원 댕겨왔는데...
저 이제 블랙리스트에요 /ㅅ/// ........... ㅠㅠ
ㅋㅋ 블랙리스트 ㅠㅠ ㅋㅋㅋ 이해해요 ~ 먹고 싶은 거는 다 먹고 싶은걸요 ㅠㅠ 마음껏~~ ㅋㅋㅋ
먹는 즐거움은.,.. 포기할 수 업어요 ㅋㅋㅋㅋ
저두 교정장치떨어지면 교정기간 길어질까봐 조마조마하며 딱딱한 것은 최대한 안머그려구....하진안지만
조심조심먹어여
콘푸러스트도 우유에 담가놓고 먹구여.
근데 룸메언니가자꾸 아몬드먹으라며 ^^열개씩주네여ㅋㅋㅋㅋ
견과류 먹을 때 ㅋㅋㅋㅋ 저두 제일 조심해요 ㅋㅋㅋ 우-두-두-두-둑 ㅋㅋㅋㅋ
좋은 교정치료 결과를 위해서 조금만 견뎌요 ~!ㅋㅋㅋ 홧팅!
헉대박아프셧겠어요,ㅠ 저도 음식먹을때 항상조심하려고 하는데 그게 안되서 막 치킨무 먹다가 가치아 뿌개고 김치볶음밥먹다가 가치아 빠지고,, 하하하하하,ㅠㅠ 그래서 결국 가치아안한답니다.ㅋㅋ