안녕하세요
교정할 디데이를 세며 정밀검사후 입찢어졌다며 정밀검사후기부터 이제 드디어 이쁜 치아를
갖는건가 하고 입이 찢어지건 앞으로 올 고통이 어떻건 정말 철도만 깔으면 더 없이 행복할거같다며
2년 뒤 제 모습에 정말 가지런해진 치아를 들어내고 웃을 공상으로 버텨나가는 예비교정인
몽실통통입니다.
다름이 아니라 제가 지금 미국에 유학중이라 한국이 손재주가 좋아서 되도록 한국에서 하고 싶은데
교정치료전 많이 겹친 앞니에 표면자체가 약간 부식? 충치에 안쪽 2번째 치아 면에 충치가 보여서
치료를 받고 왔습니다.
앞니인지라 충치부분 다 갈아 잘라 내다 시피하고
(치아 미백도 생각중이라 치료후 사진 보시면
2번치아가 어디서 부터 붙힌건지 보이길꺼에요.)
사기?? 그런 제질을 붙혀서 다듬는 과정에서
제 치아 가지고 두의사가 실랑이를 하더군요?
할아버지 같은 사람은 아마 더 높은 지도 교수 같고
절 치료하는 젊은 여자는 레지던트인가 뭔가...
여자 의사가 모양 잡는걸 헤매니까 와서 보더라구요
하다못해 같이 앉아서 하는데
아주 난리 났읍디다? 둘이서 제 이빨 하나가지고 그건 그게 아니다 부터
무슨 제가 생체 교본이된듯한 묘한 기분 드러움.
교수와 학생의 토론이 계속되고 c8
배우는면서 하는것 좋다 이말입니다
근데 왜 그 여자는 지 고집을 피우는지 지도하는데로 할것이지
그리고 지가 잘못한거 좀 알고 또 나중에 어떤부분에선 꺾이면서
"아 그부분은 잘못한거 인정합니다 근데~!@!@" 이러면서 또 다른쪽에 지주장.
치료후 어찌 때웠는데 치료받은 면이 어찌 그렇게도 꺼끌꺼끌하던지요....
안쪽면에 좀 꺼끌거린다 하니까 한~~참 또 갈더니 ..
한참 하다보니
아.... 모양이 이게 아닌겁니다. 그래서 모양이 중간에 뭐가 턱 낀것처럼
좀 걸리는 느낌이라하니까
왜 사포같이 생긴 긴 ~ 걸로 이빨 사이에 넣고 왜 갈아요?? 왜???? 멀쩡한 이빨 부분도????????
그것도 조금 하고 체크하게 하는게 아닌 마치 빨리 끝내고싶은 인간 처럼?
이건 아니다 싶어서 좀 모양이 이상한거 같은데요;; 하니까
니가 평소에 자세히 안봐서 보다 자세히 보니까 그러는거다
이러면서 지 자존심 또 세우더라구요? 공사장쪼개진아스팔트로아주한데빢소리나게아구를마사지해주고싶은충동이들어ㅓㅐ갸23ㄱ98ㅓㅕ대겨ㅓㅐ랴ㅓㅈㄷ 죄송해요 지금 흥분했어요 그 태도부터
치료 결과에 너무 실망해서
치료 후요?
상아질 노출이 많이 될만큼 갈아놨는지
물먹으면 시린증상있구요
모양요?
제가 예민한건지 항의하기 전에 여러분께 비교사진으로 평가해달라는 글
조심스럽게 올려봅니다.
라미네이트... 아님 같은 제질로 충치때매 들어낸 부분을 채운 그 재질로 티안나게 모양 예쁘게
예전처럼 할수있나요?
채우더라도 치아미백후 때운부분과 색감이 안맞을것이며...
교정후 라미네이트나 라진으로 때운다 해도... 투명리테이너를 할 예정이라
미세한 치아의 변형도 문제가 될거같아서요
미국에서 교정하고
한국에서 치아복구 받고 싶어요 정말로 ....
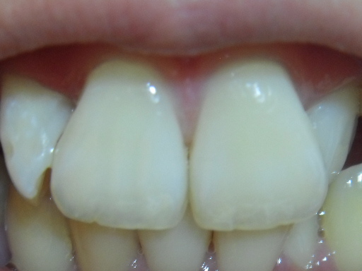
치료전 .... (왼쪽 앞니...)
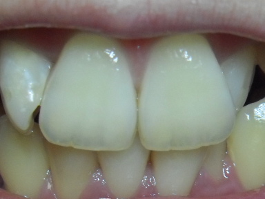
치료후 (깎인부분 참 판판합디다)
검은색처럼 빈공간두 덤으로 생겼더라구요? ^^
누가 제이빨을 자세히 들따보겠습니까만
정말 예쁜 치아로 자신있게 지내고 싶은 제 소망.... 사치인가요?...
진짜 한동안 포기했던 제 치아 ... 교정들어간다고 이제 뭐 먹자마자 열심히 닦았는데
요즘은 초콜렛 먹어도 안닦아요... 누래지던말던....... 몰라요..... 에혀...

양치는 꼭 하세요~ ㅎ
왼쪽 앞니의 왼쪽부분이 너무 많이 깎인 것 같다는 건가요? (잘 못찾겠어요ㅠㅠ)
이가 시릴 정도면 뭔가 문제가 있는 것 같아요. 한번 문의해보심이....
잘 해결되셨으면 좋겠네요..
앞니 왼쪽치아 왼쪽 부분을 보니 딱 보이네요~!
정말 치아 모양이 달라졌어요..
시리기까지 하다니 속상하실 듯.. ㅠㅠ
앞니 모양이 좀 변하셨네요ㅠㅠ 속상하셨을거 같아요ㅠㅠ
저도 막 초보 선생님이 앞니 치료하는데 교정할거면 가운데가 비어야 편할거라고 부러진곳부터 자기 생각대로 갈아놨을때 좀 짜증나더라구요ㅠㅠ
캘리 라하브라에 한국인 선생님이 굉장히 잘 봐주세요
친절하구 양심적이심.
저두 거기서 교정하려고 했는데
갑자기 한국 들어오는바람에 못했는데요
가격도 한국이랑 비슷했어요.