[오라픽스 치아 교정 4] 와이어 교체하구 파워체인 달았쪄여~
아 정말 오랜만에 글쓰는거 같아요...저는 요즘 시험에 찌들어 살고 있답니다
여러분은 어떠세요?저는 죽을맛이에요ㅋㅋㅋㅋㅋㅋㅋㅋ 무슨 시험이 매주있는지 모르겠어요ㅠㅠ
시험도 보고 알바도 하고 대외 활동도 하고 학교 활동도 하고 그리고.....놀기도하고(젤 중요함)
이렇게 힘들수록 더 화이팅 해야되요!!!! 우리 더 힘내서 홧팅 합시다!!홧팅>_<
저희 4월달에 체전기간이었어요~ (제전은 체육대회 비슷한거에요)
저희 과는 체전 우승에 큰 야망을 가지고!!!!
연습을 몇일동안 해서 경기를 나갔어요^.^
종목중에 피구가 있는데 이건 저희과에서 꼭이겨야 하는...>< 그런 경기였습니당
피구연습을 하는데...공이................
땋!!
입에 맞았어요.ㅠㅠㅠㅠㅠㅠ입에서 피나구...
저는 그순간 아 브라켓떨어지면 안되는데...이생각이 들더라구요(뼈속까지 교정인ㅋㅋㅋ)
다행이 브라켓은 떨어지지 않았지만 입술에 커다란 상처가 ㅎㄷㄷ
첨에 그려려니 했는데 넘아픈거에요 계속 쓰리고 피나고 웃을 때도 아프고ㅠㅠ
저 사진보다 구멍이 더컷어요ㅠㅠ
근데 약을 쫌 싸구려 말구 좋은거 쓰니까 금방 낫더라구요ㅋㅋㅋ(궁금하신분 쪽지주세요)
그리구 예전에 치과에서 실리콘이라고 부르는 걸 준적이 있어요
장치에 적응이 안되는 부분이나 상처가 생겼을 때 쓸리지 않게 붙이는 거에요
저 길다란 것을 조금 잘라요. 물렁물렁해서 손톱으로도 끊겨요~
그리구 이빨에 이런식으로 부착하는 겁니다ㅎㅎㅎㅎㅎ
가까이에서 찍어서 엄청 커보이지만 보통 말할때는 잘 안보여요.
그리구 무엇보다 장치에 상처가 안쓸린다는 것!!
예전에 치과에서 이 실리콘을 주실때
"교정장치가 적응이 안되서 힘드실 때 붙이셔두 되요~ 그치만 너무 맨날 붙이면
적응이 안되니까 너무 자주 붙이지는 마세요~"
라고 하셨던게 생각이 나요~
실리콘은 교정인에게 꼭필요한 거 같아요ㅋㅋㅋ
5월 2일 치과에 다녀 왔습니다.
이제 발치를 빼겠지...하고 쪼콤 쫄아서 갔는데 치아를 발치하지 않았습니다^-^
저번 치료와 똑같이 먼저 철사를 제거 했어요
그리고 스케일링을 한번 했습니다.
이번 스케일링은 하고 나서 이 시림이 없었어요~
그리고 치과 쌤이 이빨을 보시고
"아랫니를 조금 더 돌려야 겠어요"하고
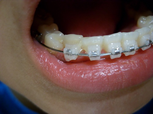
파워체인을 가져오라고 하시더라구요.
파워체인....초록천을 얼굴에 덮고있는 저는 쪼콤 무서웠눈데
별거 아니에요 그냥 고무줄 이더라구요ㅋㅋㅋㅋㅋ
이렇게 첫번째 치아를 돌리기 위해 첫번째치아에 고무줄을 걸고 세번째 치아에도
고무줄을 달아요.
그리고 안보이게 치아 뒤로 고무줄을 슉! 넘겨요.
양치하거나 밥먹을 떄 빼지 않아도 된대요.
그리고 정말 치아가 이동하는 걸 느낀게
윗 니가 이렇게 가지런해 졌어요ㅋㅋㅋㅋㅋ
그냥 가지런만 해요 이빨은 엄청 튀어 나왔지만 배열이 저렇게 바뀐게 너므 신기했어요ㅋㅋㅋ
이번 철사는 저번 철사보다 조금더 두껍고 힘이 쎄요. 그리구 지금까지 철사는
둥글었는데 이 철사는 네모난 모양이래요 (저는 잘 모르겠다능ㅋㅋㅋ)
이번 철사가 하는 일은 뻐드러진 치아의 각도를 좀 잡아주는 거구!
아랫니를 마저 다 돌리는 거에요
이제 교정에 조금 적응이 되었나봐요
한 2일 3일 지나면 되겠지 라는 생각과 함께ㅎㅎㅎㅎㅎ
참을 만 했습니다
한가지 아쉬운건 제가 짬이 안나서 양치를 제때 잘 못했다는거 ㅠㅠ
(밤샐때 과자같은거 먹고 잘려구 하면 양치할 힘이 없다능..ㅠㅠ 화장두 안지우구 뻗어요흐흐흐흑)
여의도 벚꽃놀이 갔다와써여!! 4월달에.....ㅋㅋㅋㅋㅋㅋ 엄청 옛날사진 올리는 느낌이에요ㅋㅋㅋ
제가 학교에서 응원 동아리하는데 이번에 상탔어요!!!공대체전 1등입니다ㅠㅠ
감동감동 너무 행복해요 역시 다같이 고생한 보람이 있었어요!!!
사진마니마니 준비했눈데 디카사진이라 그런가 다 안들어가네요ㅠㅠ
안타까워여~.~
저는 이만 자러 가겠습니다~ 여러분 모두 즐거운 한달 보내세여
다음 후기때 봐여^&^

공이 하필 얼굴에 ... ㄷㄷ 왁스 짱이져 ㅋㅋㅋㅋ 헐어가는 입 안을 마찰을 막아주는 교정인의 도우미 ㅠㅠ
상 타신거 축하드려요 ㅋㅋㅋ
신기해라... 파워체인 저는 치아 바깥쪽 따라서 쭈르륵 끼우던데 파워체인 끼는 방법도 다양하네요~
그러게요ㅋㅋㅋㅋㅋㅋㅋ파워체인보다 걍 고무줄이 더 친숙한거가타여ㅋㅋㅋㅋ
와 되게 정성스러운 글인듯ㅋ
잘 보고가요~ 위에 실리콘? 저게 왁스인가보군요 전 안 써봐서 여기 사진으로 처음 보네요!
좋게 글 봐주셔서 감사해여*^^* 교정하시면 왁스꼭필요해요!!!교정기떔에 입이 다치거나 허는경우가 만커덩여ㅠㅠ
공에 맞아도 브라켓부터 걱정하는 역시 ㅋㅋㅋㅋㅋ 멋진 교정인입니다~ㅋㅋㅋ
저는 과자먹다가 브라켓 떨어져서 오늘 치과다녀왔어요 ㅠ ㅋㅋㅋ
우리 항상 조심해요~~~ㅠㅠㅎ
우왁!!ㅠㅠ 저는치과가 멀어서 절대 죽어도 브라켓안떨어뜨리려구요ㅋㅋㅋㅋㅋㅋㅋㅋㅋ
우리항상조심히밥머급시다!!ㅋㅋㅋ
아파서 어째요^^
왁스 사용 잘하시고요
화이팅 입니다.
ㅋㅋㅋㅋㅋㅋㅋㅋㅋㅋㅋㅋㅋ왁스업었으면 정말 상처 더 커젓을꺼에요ㅋㅋㅋㅋ
오죽하면 밥먹을때도 왁스 끼고먹었어여ㅋㅋㅋㅋㅋㅋㅋㅋㅋㅋㅋㅋㅋ
(누가 따라하진 안겟져?ㅎㅎㅎㅎ)