[오라픽스 치아교정 1] 교정 장치를 달았습니당*^^*
[오라픽스 치아교정 1] 교정 장치를 달았습니당*^^*
안녕하세요. 오라픽스로 치아 교정 중인 교정만입니다~
꽃샘추위가 곧 지나가니 드디어 봄 날씨가 와요~.~ 우리 모두 벚꽃 축제 갑시당!!!삼월에는 놀아야해여><
3월 8일 목요일 치과에 다녀왔습니다.
상담(치아 상태)
얼굴 뼈사진도 보았는데 뼈사진에서는 미간 중심과 앞 니의 중심과 턱 중심이 일치하다는 걸 알게 되었어요. 턱의 양쪽 볼륨이 다른 경우 턱의 중심이 틀어지는 경우가 많은데 저는 신기하게도 중심이 일치한다구 하더라구요. 힛>_< 제 얼굴이 양쪽 비대칭 인줄 알고 있었는데 제가 활짝 웃는 사진을 보여주시면서 잇몸이 얼마나 보이는가, 입꼬리가 양쪽이 어떻게 올라가는가를 보여주면서 저는 비대칭이 아니라구 하셨어요.
그리고 저의 치아 상태를 오라픽스 3D 프로그램으로 보았습니다. 치아는 4번째 치아를 빼서 총 4개를 빼게 되구요 기간은 1년 반에서 2년 정도 걸린다구 하셨어요. 치아를 뺐을 때 발치 공간이 어떤 식으로 매꾸어지는가를 JIG프로그램으로 치아의 이동 과정을 보여주니까 너무너무 믿음이 가더라구요.
여기 동구라미 친 부분은 제가 입을 앙 다물었을 때 이빨이 앞으로 나와서 어긋나게 물려서 생기는 공간이에요. 교정을 하면서 이공간이 점점 줄어들거에요. 그리고 입은 최대로 많이 들어간다면 약 1cm정도 들어갈 수 있다구 하셨어요.
저는 많이 들어가는 것보다 의사 선생님께서 건강하고 이쁘게 교정 해주신다는 점이 너무너무 감사하구...햄볶아영♥.♥
장치 붙이기
장치를 붙이기 전에는 치아를 깨끗이 하는 작업을 해야 된대요. 그래서 먼저 초록전으로 얼굴을 가려서 정확이 어떤 것을 했는지는 알 수 없지만 아픈게 없엇어요!!!
첨에 스케일링을 하고 동글동글한게 막 움직이면서 치아를 쓸고 뭐 약냄새두 나구...
저는 원래 겁이 엄청 많은데 간호사 언니가 "어떤 느낌이 나실거에요~"하면서 말해주니까 별로 무섭지 않앗어요ㅋㅋㅋㅋㅋㅋ 저란 아이 단순한 아이^_____^
그리고 개구기를 끼는데 이 개구기는 무한도전에 나온 개구기랑은 좀 달라요. 혀도 못움직이게 하는 개구기인데 저는 장치부착 과정중에서 이게 젤 힘들었어요ㅠㅠ 침을 한두시간정도 못삼키고, 비염이 있는지 콧물이 넘어가는디(진짜 비염잇나여...동생은 축농증 잇는뎅...) 입안에 접착제 띠어낸 잔여물들이 있어서 삼킬수도 없구ㅠㅠ흐흫흑 하지만! 오래 개구기를 끼고 있다보니 노하우가 생겼떠여ㅎㅎㅎ 개구기가 입을 눌르면 입을 더 크게 벌리면 되구 혀가 눌리면 혀를 뒤로 뺏더니 괜찬아지더라구요!!
먼저 한번 껴봐서 치아에 위치에 잘 맞나 확인한 다음 접착제를 바르고 부착을 했습니다.
접착제를 바르고 저 틀을 입에 끼고 접착제가 붙을 동안 꽉 붙잡고 있고 흰 고무를 띄면 브라켓 부착이 끝나요.저거는 의사선생님이 아니고 치위생 선생님이어두 쉽게 부착할 수 있대요. (다른 교정은 일일이 하나하나 붙인다고 들었는데 정말인가요? )
초록 천으로 가려놔서 브라켓이 붙었는지 몰랐을 정도로 아프지도 않고 힘들지도 않게 붙었어요. 그래서 한번에 치아 위아래 브라켓 한번에 붙이고 와이어까지 꼈어요 신기하고 무엇보다 빨리끝나서 너무너무 좋았어요!!!
오라픽스 교정은 브라켓 하나 하나가 제 치아 하나하나에 맞춰서 다 다르게 나와요>_<
(저는 이 점이 제일 맘에 들어용ㅋㅋㅋ)
치아가 오염이 된 경우(치아에 침이 묻거나 깨끗하지 못한 경우를 치아가 오염됬다구 한대요~)
브라켓이 붙지 못하고 떨어지는데 이경우는 위에 그림에 있는 JIG로 부착해야 해요. JIG로 해야 하는 이유는 아까도 말했듯이 제 치아에 맞춰서 나왔기 때문에 임의로 아무데나 붙이지 않고 저 장치로 정확한 위치에 부착하기 위해서에요.
브라켓을 다 붙이고 브라켓이 붙은 곳 외에 접착제가 붙은 것은 긁어서 띠어요.
별루 아프지 않아요. 플라스틱에 붙은 본드 뜯어보신 적 있으세요? 쪼금 퍽퍽한 정도?
근데 괜히 핀셋같은게 내 잇몸을 찌르지 않을까 하면서 저혼자 쫄았어요.ㅋㅋㅋ하나두안아파용
(아까말햇짜나여... 저겁마나여ㅠㅠ)
접착제가 너무 강해서 선생님이 많이 애먹으신듯..ㅠㅠ감사합니당ㅜㅜ
총 통틀어보면 침을 오랫동안 못삼키는 게 젤 힘들었어요!!!
이정도면 교정할 만하지 않습니까!!
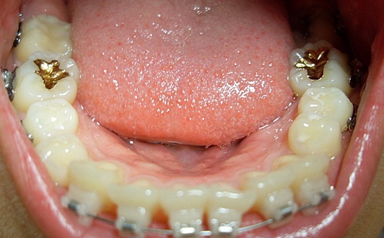
교정장치가 부착 된 모습입니다. 저는 치아 밖으로 붙이는 순측교정을 하게 되었어요*^^*
발치는 교정하는 중에 뺀다구 하셨구요~ 지금은 제일 가는 와이어를 부착하구 있는 상태에욥
교정장치를 붙인 당일날!!!
정말 하나두 안아팠습니다. 그래서 치료 끝나구 학교와서 피자를 세조각 우걱우걱 먹었습니다.
(미피에 새로나온 피자 짱맛있어요 립이랑 랍스타 올라가 있는거~ 이름은 몰라요ㅋㅋㅋ)
안아파두 교정 장치를 부착했기 때문에 떨어질까바 천천히 씹어 먹었어요. 안아픈데 정상인처럼 씹어먹어지지는 않더라구요. 피자두 베어먹지 못하구 엄청 작게 잘라 먹었어요.
피자의 반은 목구멍으로 반은 교정기로 끼더라구요ㅎㅎㅎㅎㅎ그래서 바로 양치해써여^&^
밤이 될수록 점점 아프더라구요. 첨에는 치아 전체가 간질간질 했어요.
밤이 되니까 앞니가 마구 땡겼어요.
그 다음날!!!
치아가 다 썩은 것처럼 엄청 아팠어요.
그리고 치아가 부셔지면 어떻하지?이런 생각도 들엇어요.
치과 언니가 교정기 부착한 2~3일이 가장 아프더라구 하더라구요.
와이어가 미세하게 움직인대요~~(신기 신기)
근데 젤 아픈거 치고는 참을만 했습니다. 이날 저녁은 부대찌개를 먹었어요><
말랑말랑한 햄이라 두부 마니마니 먹구 떡은 먼가 질길거같아서 안먹었어요.
그날은 콩나물이 진짜딱딱해서 못먹겠더라구요.
양치 할때두 앞니는 엄청 살살 했어요.
그리고 밤이 되니까 먼가 조금 괜찬아졌어요.
아침 점심은 바빠서 못먹기두하구 아파서 먹고싶은생각두 안들었어요.
근데 여러분!!!저처럼 아침 점심 거르지 마세요!
제 생각에는 아파두 자꾸 조금이라두 먹고, 말랑말랑한거라두 먹어야 이빨이 적응을 하구
덜아픈거 같아요!!!
이튿 날에 부대찌개를 먹은 다음에는 밤에는 이빨이 부셔질거 같진 않더라구요.
그러면서 아픈게 조금씩 나아지고 있어요~
아직도 제대로 빨리 씹어먹지는 못하지만.
베어먹는 아이스크림이나 찐덕한 껌도 못먹지만,
지금은 너무 못생겨보이지만,(ㅠㅠ지송. 원래 못생겼습니당...)
저는 교정을 너무너무 하구 싶엇기 때문에 괜찬아여~
후아후아 살이빠지겟쪄???!! 씬나~힣힛
공대생이 교정했다하면 철도깔았다고 놀리던데
이렇게 가리고 다녀보까? ㅇㅅㅇ
역시 나는 활짝 웃는게 최고징~!!!
이제부터 시작이에요!!!모두 다 잘될 수 있게 기도해주세욥
행복한 하루 보내세요~^^

아프니까 못 먹어서
살 빠질거 같으시죠?
안 빠져요....
양치하기 귀찮아서 안 먹으니까
살 빠질거 같으시죠?
안 빠져요....
장난이구요~ㅋㅋㅋ 전 안 빠지네요ㅠ_ㅠ 양치하기 귀찮아서(이건 진짜 분명...) 한 번 먹을 때 맹렬히 먹게 된 듯 합니다ㄱ= ㅋㅋㅋㅋㅋㅋㅋ
브라켓 붙이는거 완전 신기하네요 ㅇㅂㅇ 전 아직도 덜 붙였어요 ㅠㅠ 아래 어금니는 다음에 붙일 듯...
잉잉ㅠ 그래두 금방붙이실거에요~ 저도양치하기귀찬아서간식은잘 안먹어요 근데 한번먹을때 진짜마니먹는거 동감!!!!!!막씹기전에삼키고그래여ㅋㅋㅋㅋㅋ
ㅋㅋㅋ 아, 이별군님 덧글에 한참 웃었어요 ㅠ▽ㅠ;;
저도 처음 장치부착하고나서 간질거려서 혼났었는데...
치아이동하는 느낌이 처음이라 그리 느껴질수도 있다고 누가 그러셨는데...
파랭언니였나... 병원쌤이 그러셨나.. 'ㅅ' ;;;;
교정만님께서 하신 장치가 클리피씨 장치 맞나요?? 뭔가 달라보여서 한참 봤어요 -
오라픽스라 장치 부착도 뚝딱! 장치마다 철사 감아줄 일 없어서 또 뚝딱! 편하시겠어요 ㅠㅠ
아아 그게 치아이동의 느낌이군요~.~우왓설레여ㅋㅋㅋㅋㅋ ㅠ 오라픽스는 어떤 교정장치로도 다 가능하다구 하시구 장치에 대해서는 따로 언급해주지 않으셧어영ㅋㅋㅋㅋ그래서 장치는 클리피씨 장치인지는 잘 몰라요ㅠ
이별군님 댓글 정말 재치 만점입니다. 저도 이별군님처럼 그렇게 안빠졌음 얼마나 좋을까나.. 피죽도 못먹고 산 사람처럼 광대만 툭튀나와 정말 불쌍해진 1인입니다.
동양인의 매력은 광대입니다!!!! 저는 예쁜여자보다 매력잇는녀자가 조아여*^^*
넘 귀여우세용ㅋㅋ 저도 한번 먹을때 왕창ㅋㅋㅋㅋㅋ
ㅋㅋㅋㅋㅋㅋㅋㅋㅋㅋㅋㅋㅋㅋㅋ양치를 줄이기 위해ㅋㅋㅋㅋㅋㅋㅋㅋㅋㅋㅋㅋㅋㅋ