민교이의 킬본콤비교정일기 (교정기 떼다.)
아안녕하세요 이사모여러분~~~~~
반갑습니당~~~~헤헤 벌써 2012년 입니당~~~새해복 많이받으세여^^
저는 1월 13일날 센트럴치과 강남점을 다녀왔습니다^^
그것도 교정기 떼러요~~~~저저번달부터 이주에 한번씩가서 체크한다음에~~~
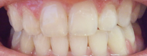
13일날 그디어 교정기를 뗐습니다~!!
적응이 너무 안되고 어색해요 아직까지는 ㅜㅜ
상악은 좀 더 수정해야할 부분이있어서 투명교정장치를 하기 위해서 본을 떼고왔습니다~
하악은 이제 유지장치만 끼면 될 것 같아요^^
지금 일단 임시투명유지장치를 받아서 끼고이써용~~
교정기를 떼서 속이 시원하지만..계속 유지장치를 끼고 있어야 되서 별 차이 없다는 ....ㅜㅜ.ㅜ.ㅜㅜㅜㅜ
그래도 떼어내니 정말정말 좋아요^^
떼어 낼때 엄청 아플지 알았지만...생각보다는 괜찬았습니다^^별로 겁먹지 않으셔도 될 것 같아요^^
저는 교정기간이 정말 단축된거 같은데~~킬본교정의 효과라고 해야할까~?~
아직 입부분이 뗸지 얼마안되서 어색해요~~이제 곧적응이 되겠죠?히히
이가 그리고 작은편이라서 잘 보이지 않습니다ㅜ,ㅜ
이제 킬본교정의 끝을 보았는데 저는 정말 만족합니다~~
입이 단기간에 너무많이 들어가서~신기하고 놀라워요..ㅋㅋㅋ
이사모 여러분들도 힘내세염^^
이번 설 잘보내시고 새해복 많이많이 받으세요^*^
다음에 교정일기 더 올릴게요~~~~~

와 입 정말 많이 들어갔어요 ㅠㅠ 저도 좀만 더 들어갔음 좋겟어용 ㅠ
아감사합니다^^유그라시아님 교정일기도 잘보고있어요~~~
긍정적으로 생각하시면 많이들어가실거에요 화이팅 응원할게염^.~
킬본 교정... 기간 단축 정도가 굉장하군요.
내가 치아 이동이 심하게 느린 것일 수도 있지만
거의 같은 시기에 하고, 콤비라고는 하지만
상하악 모두 발치 교정인 점을 감안하면
전체 설측인 저와 크게 다른 점이 없는데... 벌써 장치를 제거하다니
진심 부럽네요. 난 아직 6개월나 남았는데... 뭐 더 걸릴지도 모르지만..
발치 공간이 아주 많이 남았거든요.
이벤트 된 것도 부러운데 입모 많이 들어가고... 기간도 빠르고...
휴... 부러우면 지는 거라는데 여러모로... 마음이 아프네요.
유지장치 잘 하셔서 건강하고 예쁜치아 잘 간직하시길 바랍니다.
아안녕하세여 하오런님!!
제가 일반사람보다 더교정체질인가..뼈가약해서그런지~~~ 효과가 더빨리온것같아요!!
킬본의 효과도 있긴하지만 ㅜ.ㅜ 분명 하오런님도 잘되실거에여~~오히려 튼튼하게 잡혀지면
더좋지안을까요^^?!!마음아파하지마세요ㅜㅜ저보다 더 잘되실거에요!!!!
그리고 저도 상악은 좀더 수정해야되서 투명장치를 또낀답니다ㅜㅜ
아직끝난게아니에요ㅜㅜ우ㄹ ㅣ 화이팅해요!!힘내세요!!!!!^*^