[킬본 돌출입 교정 12.] ⑦번째 월치료 하악 스크류 심다 +ㅁ+)!!
2011년 12월 24일 토요일 오전 10시 30분 [ + 152일 ]
안녕하세요~ 킬본 돌출입 교정중인 레드썬입니다~ ^ㅇ^
다들 2012년 새해계획은 잘 세우셨나요~? ' ㅁ')//
우리의 공통된 새해계획 중 하나는.. +_+ 올해도 무사히 즐교정하는 거죠~~ ^ㅅ^
이번 일곱번째 월치료... 뚜둥~!!
날 떨리게 만들었던 하악 스크류 ♡ + ㅁ+)> 심고 왔습니다 ㅋㅋ
입천장 스크류 심기 전에 맞았던 마취주사는 솔직히 좀 아펐었기 때문에..ㅠㅠ
이번 하악 스크류 마취주사 맞을 때도 아플 거라고 생각했었는데~
다행히 전혀 안 아펐어요 ' ㅅ')~ ㅎㅎㅎ
치아 발치할 때 맞았던 마취주사만큼 살짝 따끔한 정도랄까~!?
으흣~ 괜히 겁 먹었나봐요~ ^^;
하악 스크류는 의사선생님이 드라이버로 나사 돌리듯이 직접 손으로 돌려가며 심어 주셨구요~
(제 잇몸뼈가 워낙 튼튼해서 의사선생님 고생 좀 하신 듯.. ' ㅁ')a 힘들다는 거 티내셨어요 ㅋㅋ)
하악 와이어는 한 단계 더 두꺼운 걸로 바꿔 주었구요~ 파워체인은 아직 연결 안 했습니다~
진료받고 나서 혹시라도 마취 풀리면 아플까봐 타이레놀 두 알 먹었어요~! > ㅁ<
마취가 풀리고 나서 스크류 심은 부분이 약간 뻐근하긴 했었는데.. 많이 아프지는 않았어요~ ㅎㅎ
그치만 음식 씹을 때 만큼은 어금니 부분이 살짝 아팠다는..ㅠㅠ ㅎ ㅏ~ 그래도 미칠듯한 식성ㅋㅋ
)
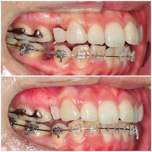
하악 스크류 심은 사진 보여드릴께요~ ^^
└▷ 짜잔~ 이렇게 어금니 아래 안쪽에 심었습니다~ + _+
( 친절하고 예쁜 치위생사선생님이 이렇게 잘 보이게 찍어 주셨어요~ ^^
)
-------------------------------------------------------------------------------------------------------------------------------
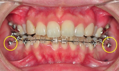
그러고 보니 킬본교정 시작한지 벌써 6개월 째 접어 들었네요~
이 쯤에서 치아상태 중간점검~!! ' ㅁ')//
첫번째 월치료 받았을 때 사진이랑 일곱번째 월치료 받았을 때 사진 비교해서 올려 볼께요 ^^
└▷ 처음 바이트블록 붙였을 때는 상악/하악 치아공간이 많이 띄어져 있었는데~
지금은 많이 낮아졌어요~ 처음 바이트블록 붙였을 때의 어색함이 생각난다는.. ㅋㅋ
혼자 방황하던 하악 앞니 하나도 가지런 해지고~ 신나신나~ ^^
└▷ 발치공간이 줄어들 수록 임시치아 크기도 같이 줄어듭니다~ (깍아서 빈 공간을 만들어 주기 때문에~!)
이렇게 비교해서 보니 임시치아 크기도 많이 줄었네요 ㅋㅋ 하악 발치공간도 많이 줄었구요~
└▷ 하악 앞니는 삐뚤삐뚤했던 처음에 비해 많이 가지런해졌고~
발치공간도 눈에 띄게 많이 줄었어요~! ^^ 얼른 닫히길 바라며~~ ㅋㅋ
└▷ 옆모습입니다~!! 인중부분과 입술아래부분 각도가 달라졌어요 + _+)b
와ㅇㅏ~ 돌출입이 쭉쭉 잘 들어가고 있군요 ^^ㅋㅋ 정말 감동입니다~ ㅠㅠ
조금 늦었지만 다들 새해 복 많이 받으시구요~ 올해도 즐거운 교정 함께해요오~ ' ㅁ')//

우왕 언니 입매가 정말 많이 달라지셨네용 부러워요~저도 월욜날 상악장치달고 적응중인데
발음이 완전 어버버버 ㅠㅠ
하악 스크류 안아프셨어요?저는 마취부터너무아프고 집에가서 울었었는데...ㅠㅠ
전 더군다나 심은날바로 파워체인 연결했거든요 힘들었던것같아요
담주월욜에 상악에도 스크류 심는데 벌써 얼어있어요 ....저도 안아팠음 좋겠는데...힝
스크류 ㅋㅋ제대로 느김오것내요 ㅋㅋ미니임플란트 ㅋㅋ
6개월 되셨는데 입매가 정말 많이 변하신거 같아요~
벌써 교정끝나신 모습이 기대되는데요?ㅎㅎ
킬본교정하시는 분들 교정일기는 볼대마다 너무 부러워요ㅠ
저도 꼭 하고싶었떤 교정이엇던지라...ㅠㅠ
암튼 많이 변하신거 같아서 너무 부럽네요^_^