<킬본돌출입교정>4번째월치료받고왔어용~
<킬본돌출입교정>4번째월치료받고왔어용~
크악드디어글을쓰네요,ㅠ
저의게으름을부디,,이해해주시길부탁해요~~
때는 11월 19일 대전에서 강남으로 고고씽했습니다!!
기차를 입석으로 끊어서 그런지 힘들게 치과로 갔는데용..ㅠ
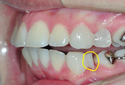
그래도 그전에 치킨무로인해 빠졌떤 가치를 다시 붙이는 날이라
설레임반 긴장반으로 치과를 향했습니다..ㅋㅋㅋ
오늘도 평소와다름없이 고무줄(?)교체하고ㅋㅋㅋ
드디어 새로운가치를 똬앟! 붙였습니다!!
호호 이제 웃을때 자신감이 생겼어요!!
감사합니다치과원장님선생님분들~
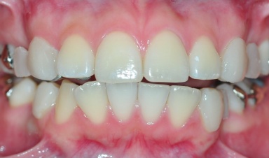
치아사진 올릴게용~
정면사진
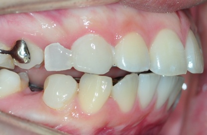
오른쪽측면 왼쪽측면
저는 왼쪽측면에 자부심을 가져용ㅋㅋㅋ
저기저기!!!아래발치공간 거의 없어진거보이시죠??제가봐도너무감격ㅠ
발치공간없어질때까지 더욱더욱 화이팅입니다!!
요새들어 가족들과 친구들과 지인들이
입진짜많이들어갔다고 그렇게 말을 많이 해주시는데용,
감사하고^^
하하 전 아직 더 들어갈 준비가 되있습니다^^ㅋㅋ
요즘사진찍는재미가 생겼는데용
초딩같은친구랑설정샷도찍고ㅋㅋ
학교동아리언니랑도찍고ㅋㅋㅋㅋ


ㅋㅋ아직4번째월치료지만,, 요즘들어 왜이렇게 기대가 되는지 모르겠어요ㅋㅋ
조바심내지않고 인내심을 가지고 열심히 기다리겠습니닷
교정인화이팅!!

구구러게요 엑박이네요. 사진 보고 싶은데 ㅜ.ㅜ
ㅋㅋ죄송요다시올리겠습니다^^
와와와우.. 4번째인데 왼쪽은 거진 붙어가네요.
우앙... 전 담주에 킬본 2번째로 가는뎅..
빨리 들어갔음 좋겠당.+_+
왕이제이뻐지실일만남았네요^^!!교정인화이팅입니다^^*
저는 오늘로 세번째 월치료였는데 4번째 월치료에 상악에 장치 들어가요......하악도 한달동한 붙어도 저정도까진 안될듯해요....너무 부러워요.........똑같은 치과에서 하는데 왜이렇게 틀릴까요?
하하^^,,, 저의하악의치아들이약해서금방들어가나봐요,,흐밐ㅋㅋ
backcreek님도 이쁘게잘되실꺼에요^^ 화이팅!!!
어머 너무 귀여우세여~
왜 저는 저런 표정이 나오지 않을까요??
저도 사진찍는거 좋아하거든요~
그렇지만 어색한 웃음... 어색한 입술...
거울을 보고 연습을 해야되겠군~
ㅋㅋ저도저런표정이원래는없었는뎅,,항상어색한입매였거등요,,ㅠ
교정하고나서생긴표정같애요,,,ㅋㅋㅋㅋ교정하면서입매가서서히풀려나고있는것같애요^^
ㅋㅋㅋ 뭥미 이 귀요미는???
아놔~ 역시 이쁜것도 다 필요 없어.
젊은것이 쵝오여!!!!!! 젊음 그.거.슨 진리!!!!
왜케 구여운고임? 아놔~ 나도 저런거 해보고 싶지만...
내나이 삼십듀살...ㅠㅠ
뭐 이러고 저러고 교정일기따위 보다,
귀여운 저사진 저포즈가 그저 부러울 뿐이오!!!
증말 귀여운거 잘 어울린다~ ㅋㅋㅋ 귀엽고 귀여워서 이쁘오!!!
하하하하시린파랑언니도귀여우시자나요ㅋㅋㅋㅋ
캄사합니당언니도아름다우셔요*-*
대전에서 서울로 치과를 다니시는건가요 ??^^
아뇨^^
제가집이인천이고학교가대전이라서ㅋㅋ
시험기간이고하다보니시간아끼느라그리되버렸어요,ㅠㅠ