[킬본 돌출입 교정 10.] ⑤번째 월치료 파워체인 끊어지다~! ;ㅁ;
2011년 11월 12일 토요일 오전 10시 30분 [ + 110일 ]
안녕하세요~ ^^ 킬본 돌출입 교정중인 레드썬입니다~ ' ㅁ')//
2011년 11월 11일 금요일 ( 100년에 한번 있는 빼빼로 데이..!? ' ㅅ')~ )
회사 직원분들과 다 함께 단합대회( 족구, 피구, 서바이벌게임 - 우리팀 3연승 ' ㅅ')v )를
하고 나서 같이 저녁을 먹으러 갔었다지요~! 꼬기꼬기~ +ㅁ+
오랜만에 열심히 움직여서 허기가 졌던 저는.. 고기를 정말 열정적으로 흡수했어요 ㅋㅋ 츄릅~ 'ㅠ'
그렇게 맛있게 고기를 먹던 중에 갑자기 " 띵~! " 하는 소리와 함께.. 불길한 느낌이..!? ㅎㄷㄷㄷ;;
악ㄱㄱㄱㄱ~ 입천장 파워체인 한쪽이 끊어져 버렸네요.. ㅠㅁㅜ 갑자기 입맛이 뚝~!
상담실장님께 연락드리고 바로 다음 날인 11월 12일 토요일날 치과를 방문했어요~
파워체인이 끊겨서 급진료 받으러 갔던 다섯번째 월치료~!
입천장 파워체인 새로 연결해 주었구요~
아래쪽 파워체인도 새로 연결해 주었어요~
의사선생님이 파워체인 한번 끊긴 사람은 이상하게 자꾸 또 끊긴다며...
입안에서 뭔가 특별한 화학물질(?)이 나오는 게 아닌지 의심스럽다고~ ' ㅅ')a
저한테도 지구인 맞냐며 혹시 우주인 아니냐고 4차원적인 질문을... ㅋㅋㅋㅋㅋ
아 ~ '○' 하고 있는 상태였는데.. 의사선생님 덕분에 완전 빵 터졌음~ ㅎㅎ
( 진료중에 의사선생님이 자꾸 웃긴 얘기하시는데.. 웃지도 못하겠고~ 어떻게 해야할지 난감함~ ㅠ,.ㅜ
참다가 나중에는 막 컹컹(?)거리면서 웃는다는~ ^^; )
이번 사진은 디카가 고장나는 바람에.. 월치료 받고 나서 좀 지난 다음에 찍었는데요~
파워체인만 바꿨을 뿐인데~ 오오 +ㅁ+ 그 사이에 치아가 또 움직였어요~!!
자아~ 사진 나갑니다~ ^ㅁ^
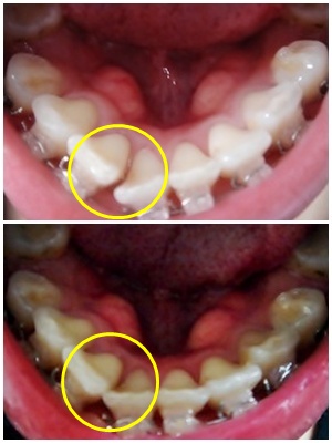
└▷ 예전에는 발치공간을 줄이기 위해 양쪽 어금니쪽에 연결해서 당겨 주었는데..
이번에는 앞니쪽에만 이렇게 연결을 해주었어요~ +_+
└▷ 짜잔~ 저번 월치료 사진이랑 비교해보면 달라진 부분 보이시나요~?
하악 앞니는 이제 U자 형으로 거의 다 이어졌어요~!! >>ㅑ 하~ 기뻐라ㅋㅋ
└▷ 짜잔~ 옆에서 봐도 이렇게 +_+ 틈이 없어진게 보인답니다~~ ^ㅡ^
이렇게 계속 변화하고 있는 모습보면 정말 신나요~ 교정하기 잘했다는 생각이 든다는.. +_+
└▷ "1리터의 눈물" 이라는 드라마에서 나온 화면 캡쳐인데요~ 와 닿는 내용이라 퍼왔어요~ + _+)b
이사모 가족 여러분~ 우리 모두 한 걸음씩 나아가고 있으니~ 같이 힘내자구요~ ^ㅡ^
즐거운 교정 함께해요~ ' ㅁ')// 아자아자 화잇힝~!!

맞아요 거울보면 그냥 그런데 사진을 보면 완전왕신기해요 ㅋㅋㅋㅋ
근데 요즘은 가지런해지니까 별다른 움직임이 없어서 교정에 흥미를 잃고있는중 ㅎㅎ
거울보면 긴가민가 싶은데~ 사진으로 비교해 보고 움직인 게 보이면 완전 신기하죠~!! ^^
가지런해졌다고 벌써부터 흥미 잃으시면 안`되요~ +ㅁ+)// ㅋㅋ
ㅋㅋㅋ 원장선생님 하여튼 ㅋㅋㅋ 못살겠따 증말~ ㅋㅋㅋ
우리 원장선생님의 매력이 그거이지~~~
낵아 그런매력에 빠졌다는거 아니겠엄!!!
우짜든동 그사이 또 변한 치아...
오오오~ 사진으로 한방에 알아보겠엄!!!
그래그래 참말 후기도 보기 좋게 잘 올려주는구만!
당신은 역시 쵝오얌!!!
이렇게 즐겁게 열심히 교정하니,
교정결과가 좋을 수 밖에~
역시 그래서 정모때 만났더니 그렇게 이뻐졌던 거였구나!!!
앞으론 더 탄력받아서 더 좋아질텐데,
너무 이뻐지면 돌맞는다! ㅋㅋㅋ
적당히 이뻐지거라~~~~ ㅋㅋㅋ
ㅋㅋㅋ 매력덩어리 원장선생님~ 완전 좋아요~!! +ㅁ+
저도 그 매력에 빠지고 있다는~ ^^
으핫~ 이뻐졌다는 얘기 들으니 부끄부끄 ~ 'ㅁ')~
돌 맞아도 좋으니 더 예뻐지고 싶어요~ ㅎㅎㅎ
언니 우리 송년벙개나 신년벙개 추진해서 조만간 얼굴 또 봐용~ ' ㅅ')//
얼른 또 만나서 폭풍수다 떨고 싶어요 ㅋㅋㅋ