안녕하세요~~~이사모 여러분 ㅎㅎㅎ^^*
교정은 잘 되고 계신가요~?!!저는 이제 강남센트럴치과 15번째 월치료를 10월06일날 다녀왔습니당^^
이번 월치료 전에 잇몸티어 나와서 잇몸을 좀 잘랐습니다~~ㅜ.ㅜ
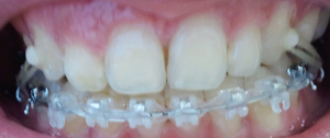
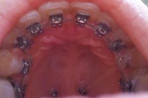
이번 월치료에는 하악 철사를 바꾸고^^~ 상악은 잇몸때문에 못부쳤던 교정기를 부치고 철사를 다시 끼웠어요^^
정말 신기한게 상악 킬본교정할땐 몰랐는데 ...이가 흔들려서 저혼자 막 걱정하고 그랬는데~
치아 하나씩하나씩 옮기는 과정이라서 그런거라네요^^정말 다행이에요 ㅎㅎ
겁이 많은 편이라서 혼자 걱정만 했습니다..
그리고 보시다 시피 저도 이제 고무줄을 밥먹을 때 빼고 걸고있어요ㅠㅠ
정말이지..아프네요...월치료 갓다가 이틀정도는 잘 안씹혀서 거의 삼켜요 ㅎㅎ
소화 능력이 뛰어나서 그런지 별로 체하고 그런건 없네요 그래도 밥은 먹습니다!!!!!
고무줄 거는거 처음해봐서..신기하기도 하고 너무 아프기도하고~~~
언제까지 고무줄을 걸어야 하는지.ㅜ.ㅜ
아!그리고 하악 밑에 달앗던 스크류 하나 뺐는데..정말..드라이버로 나사를 빼는..그런 기분이랄까
아프진 않았는데..기분이좀 이상했다는!!!
일단 한개만 뺐어요~~! 아 !그리고 제 옆모습 보면 정말 입이 엄청나게 들어갔어요~~
그래서 인지 코도 높아보이고 ㅋㅋㅋㅋ이 킬본교정이 코높아보이는 교정이라고도 하죠!!
효과가 그만큼 좋은거 같아요~~!!!^*^
이뻐지긴 정말 힘든거 같아요 ㅎㅎ 하지만 이정도의 고통은 참을 수 있습니다!!
모두들 힘내세요!화이팅!!!!!!!!!^*^

