이사모 여러분 늦어서 죄송합니다.^^;;
핑계는 안대고 사진부터 보여드릴께요.
왜 월치료를 꾸준히 가야 하는지를 이번에 뼈저리게 느꼈는데요 ㅎㅎ
제 시간에 월치료를 못가니까 진행이 느려지는거 같더라구요. 흑흑 치과샘들께도 죄송하고
이사모 여러분들께도 죄송. 절 만난 제 치아들에게도 조금미안..?ㅎㅎ하다는...
저처럼 이렇게 되면 전체 교정기간이 늘어날수밖에 없겠죠? 또 원하는 결과가 안나올수도있구요.
열심히..치과에 다닙시다^^
저번주에 급한 마음으로 ;; 삼성역으로 달려갔더랬죠!! (이미 늦은 주제에)ㅎ
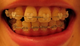
치아가 노란건 이해해주세요 ㅜㅜ
조명도 노랗고 ;; 미백은 교정끝나고 꼭하려구요 ㅎㅎ
일단은 교정이 먼저!!
이번 월치료 다녀와서 정면 모습입니다
왼쪽.에서 찍은사진, 위에서 찍은 사진입니다.
이번 월치료에서는 하악에 부착한 와이어를 조금더 두꺼운 것으로 교체 했어요.!
밑에가 먼저 움직여야 상악을 이동시킬 수 있으니까요^*^
다녀와서 2일간은 가만히 있을땐 괜찮았는데, 음식먹을때 정말 아프더라구요/
거의 그냥 삼키다싶이 했는데 ㅎㅎ그래도 조여지는 것 같아서 마음만은 뿌듯했어요 ! ㅋㅋ
아직도 공간이 마니 남긴 했는데 예전보다는 조오...금 없어진것 같아요^^
치아가 벌어지니까 안보이던. 검은 점 .. 같은것도 보이더군요.ㅋㅋ
교정한다고 볼살이 모두가 없어지는건 아님.^^;
고양이 까페 다녀왔어요~ 완전 귀여워요 ㅋㅋ
강아지와는 다른 매력이..ㅎㅎ
이사모에 교정 하시는 분들 정말 많이 늘은것 같아요^^
기쁘기도 하고 나도 더 열심히 다녀야지! 하고 자극도 되네요 .
이제 여름도 다 지났고, 날씨도 좋은데 우리 모두 교정 열심히 해요(ㅋㅋ 말이 안되네요.)
그럼 9월중순에 다시 후기들고 오겠습니다. 꾸벅(--)(__)(^^)

사진 잘 봤습니다... ㅋ 고양이까페~ 어딘가요??? 테이블위에 늘어져 있는것이... 귀엽네요~!
발치한 공간이 점점점 없어지는군요!!
볼살이 있는게 더 귀여운신데요~
저는 반대로 볼살이 없어서..
늙어 보인다는 말을... 듣는데-...
와뭔가분위기가바뀌신것같애욬ㅋㅋㅋ
교정화이팅입니닷!!볼쌀쫘암귀여우세욧^^*
오잉오잉?!! 교정한지 몇개월되신거에요?!?