[킬본 돌출입 교정 6.] 킬본 장치 붙이고 나서 ①번째 월치료
2011년 8월 23일 화요일 오후 7시 30분 [ +29일 ]
이사모 가족 여러분 안녕하세요오~ ^ㅇ^
킬본 돌출입 교정중인 레드썬입니다. 'ㅁ')//
킬본 교정 처음 시작했을 때는..
정밀검사 받고, 본 뜨고, 발치하고, 스크류 심고, 교정기 붙이고 하느라~
일주일에 한 두번씩 치과에 자주 갔었던 거 같은데~
이렇게 자주 치과에 다니다가... 4주를 기다리다 보니.. 왠지 너무 허전한 느낌..!! ㅠ_ㅠ
언제쯤이면 월치료 받는 날이 올까~ 빨리 왔으면 좋겠다며~ 기다리고 기다렸지요~
드디어~! 설레이는 마음으로 치과에 가서 첫번째 월치료 받고 왔답니다 ^^ ㅎㅎ
음~ 한달만에 진료 받으러 가는 거라....
치과가면 어색할 거 같다는 생각을 했었는데~ 그것은 저의 착각~~ ㅋㅋㅋ
의사선생님, 치위생사선생님, 상담실장님 다들 바쁘신데도 반갑게 맞아 주셔서 너무 좋았어요~ +_+
첫번째 월치료,,!!
아래 세라믹 장치에 파워체인 연결했구요//
입천장에 연결했던 파워체인도 새로 갈아 줬어요//
그리고 임시치아(가치) 부분도 살짝 깍아 주었구요//
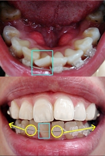
아~ 이렇게 글로만 남기면 이해하기 힘들거 같아서.. ^^;
쎈스있게 사진 준비~ 푸핫~ - ㅁ- ㅋㅋㅋ 짜자잔~!!
└▷ 하악 앞니 네모친 부분 치아가 많이 삐뚤어져 있어서 공간이 좁아 세라믹 장치를 못 붙혔거든요~ ㅠ
그래서~ 하악 앞니 부분을 펴고 세라믹 장치를 붙일 공간을 만들기 위해~
양쪽 옆 치아 브라켓에 파워체인을 걸어 어금니 끝 브라켓에 연결했구요.
◁ㅡㅁㅡ▷ 이렇게 양옆으로 당겨지게 만들었답니다~ 치아가 얼른 펴졌으면 좋겠어요 ㅋㅋ
입천장 스크류에 연결해 놨던 파워체인은 카레로 인해 색이 노랗게 변했었는데.. ㄱ- ;;
이것도 하얗고 투명한 새 파워체인으로 교체 했어요~ ^ㅂ^
└▷ 임시치아(가치)도 살짝 깍아서 잇몸뼈가 들어 갈 수 있게 빈 공간을 만들어 주었답니다~ +_+
└▷ 이건 매번 올리던 치아사진들~ 얼핏보면 달라진 게 별로 없어 보일지도 모르지만.. ㅋㅋ
그 전 사진이랑 자세히 비교해 보면 어딘가 달라진 부분이 보인답니다.. +_+
제 눈에만 보이는 걸까요~? ㅇㅅㅇ 으흐흣~
└▷ 아래 세라믹 장치를 붙여서 그런지.. 솔직히 지금은 입이랑 턱 부분이 살짝 더 어색해졌어요 ㅋ
나중에 잇몸뼈가 들어가면 자연스러워지겠죠~? ㅠㅁㅡ)a
아.. 그리고 있자나요.. ... 저 실은......!!
어제 29번째 생일이었어요~~ >ㅁ< ㅋㅋㅋ
└▷ 이것은 생일 날 처음으로 받아 본 꽃다발~ +ㅁ+ ㅋㅋㅋㅋㅋ
꽃 받은 덕분에 기분은 좋았는데.. 'ㅅ' ) b 누가 보내주신 건지 모르겠다는.. ^^;;
직장때문에 살던 지역을 떠나 아는 사람 없는 곳에 혼자 있다보니~ 쓸쓸한 생일을 보냈지만.. ㅠ_ㅜ
언제나 따뜻하게 힘이 되어주는 이사모 가족 여러분들 덕분에 외롭지 않아요~ 감사합니다 ^ㅡ^
아 그리고~ 생일 축하해 주신 치과 의사선생님, 치위생사선생님, 상담실장님 다들 정말 고마워요~ ♡
하핫~ 이사모 가족 여러분~ 앞으로도 즐거운 교정 쭉 함께해요~ 'ㅁ')// 뿅~☆

생일 축하드려요 ~~~내년 생일엔 더 이쁜모습으로 생일을 보내시게 되실거에염 ^^
나이스진님 감사합니다~ ^ㅁ^
내년 생일때의 모습이라~ 생각만해도 신나네요 ㅋㅋ 얼른 1년이 지났으면 좋겠어요~
와우~ 생일이었구나... 축하해요~
지금은 첫 번째 월치료지만 시간 금방가요~ 저처럼 힘들어 하지 말고
지금처럼 끝까지 교정 씩씩하게 잘 마치길 바랄게요.
오늘이 1년째 되는 날인 것 같은데... 정말 시간 잘 가요.
축하해주셔서 감사감사~ ㅋㅋ
언니 교정 1주년 축하드려요~ ^ㅁ^
힘들어 하지 마시구~ 교정 끝나는 날까지~ 아자아자 화이팅입니다~!! +ㅁ+)//
생일 축하드립니다..
전 33살 남자긴 한데..님처럼 돌출이라...교정 들어갓거든요..왠지 돌출이라는 말에 동질감을...흑흑~
지금은 위에만 브라켓 돌고 스크류 박았는데...처음 상담할때 의사샘 한테 돌출이때문에 교정하는거 라고
말했는데...제도 킬본교정인가??
암튼 킬본 교정은 일반교정이랑 어떤차이가 있는건가요??
특허 받은 장치라니까 뭔가 다르겠죠?
치료 받고 후기 올릴 때 자체 모자이크 처리를 하라는 걸 보면 노출을 꺼려하는 것 같아요..
완전 궁금한데...
같은 데서 치료 받으시는 거라면 킬본 맞겠죠? 킬본은 이 글 올린 레드썬님이 치료받는 병원에서 시술하는 것 같은데..
저보다는 어리시지만...ㅋㅋ 남들보다 늦었다 생각마시고
30대 화이팅입니다!! ㅎㅎ
저도 돌출 교정이라 얼른 치료하고 그 말 좀 잊고 살았음 하네요...
생일 축하해주셔서 감사합니다~ ^ㅡ^
돌출입 교정 동지시네요 +ㅁ+ ㅋㅋ
킬본 교정과 일반 교정이 다른 점이라~ 'ㅅ'
일단 장치 자체가 일반 설측 교정하고는 다르게 생겼어요 ㅋㅋ
특허받은 교정 장치라 사진 공개는 못하지만.. ㅠㅠ
앞니 여섯개를 단단히 연결시켜서 입천장에 스크류 심고
파워체인 연결해서 잇몸뼈를 당겨 주고 있어요~!
저는 치아 돌출이 아니라 잇몸뼈 돌출이라
일반 교정으로는 효과가 그리 크지 않을 거라고 해서~
돌출입 수술까지 진지하게 생각했었는데... ㅠㅁ-
(그치만 수술은 비용도 더 부담되고 부작용 때문에 겁나죠.. ㅎㄷㄷ;;)
킬본 교정은 수술 없이도 돌출입 교정에 효과가 좋다고 해요~ ^^
코아기님도 교정 잘 받으셔서 더 멋진 모습으로 변하시길 바래요~ 'ㅁ')// 화이팅~ ㅋㅋ
지났지만 생일 축하해요..제 막내 동생보다도 어리네요..20대 마지막 생일인데 즐겁게 보냈나요?
내년엔 더 이뻐져서 결혼할 사람이랑 함께 외롭지 않게 보내길 바래요...
늦었지만 생일 축하해주셔서 감사합니다~ ^^
정말 내년 생일은 외롭지 않게 보냈으면 좋겠어요~ ㅠㅠ
꽃물님 아래 킬본 장치는 이제 좀 괜찮아졌나요~? 'ㅁ')//
안타깝게도 킬본 장치 사진 보여드릴 수는 없지만~ ㅠ_-
월치료 일기 열심히 쓰고~ ㅋㅋ
조만간(?) 킬본 장치에 대해서 좀 더 자세하게 설명해드릴께요~^^
생일 추카해주셔서 감사합니다~ ^ㅡ'
왕언니ㅜㅜ생일이셨는데지금봐용ㅠㅠ
쎈쑤잇게오늘은제생일ㅋㅋㅋㅋ
늦었지만언니생일진심으로축하드려용!!
같이킬본교정화이팅입니닷!!아자아자아자아자!!!
쮸렛님은 9월9일날 생일이었나요~!? +ㅁ+
아웅~ 늦었지만 생일 추카해요~~ ^^
킬본 교정 화이팅~ ㅋㅋ