(킬본돌출입교정)위아래장치부착!
와우~정말오랜만에글을쓰는것같아요,,
장치붙이고한지도꽤됬는데,,죄송죄송ㅠㅠㅠ
우선
8월2일쯤에위에교정기달고
8월5일에아랫니2개빼고
8월9일날아래교정기달앗어요!
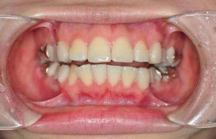
사진투척!(9일날찍은사진들)


좌 우치아, 제 앞사진들이요,ㅋㅋㅋㅋ돌출입보이시죠잉??ㅎㅎ흐밐ㅋ
치아빠진곳에임시치아붙인것보이시죠??
장치부착완벽!!
음,,후기를쓰자면
사람들이교정기끼면밥도제대로못먹고아파죽는다고하는데용,,,,,,,,,
넵맞아욬ㅋㅋㅋㅋㅋㅋㅋㅋㅋㅋㅋㅋ
밥제대로못먹고고기못먹고과일제대로못베어먹고아파서잠막설치고그래욬ㅋㅋㅋㅋㅋㅋㅋ
그리고설측교정의압박으로발음을제대로못하는어버버사태가이어졌어요,,ㅋㅋ
그치만,, 이런날도 한 일주일??? 정도만버티면 어느정도완화된답니당ㅋㅋㅋ
밥잘먹고고기는엄청잘게잘라먹고과일도잘게잘라먹고,,
모든것을잘게드시면엄청잘먹습니당ㅋㅋㅋㅋㅋㅋㅋㅋㅋㅋㅋㅋㅋ
아오엄무니가주위에교정하는사람들보고살빠졌다는데
오히려넌살쪘다는둥,,,,,ㅠㅠ구박하세요,ㅋㅋㅋ
ㅋㅋㅋ부드러운카스테라를마니먹어서그런가봐요,ㅎㅎ
아픈건이제쫌밖에못느끼고,,
문제는발음인데,ㅋㅋㅋ
여전히어버버거린답니닼ㅋ
치과의사선생님이2~3주지나면괸찬아진다고하셨으니더기다려봐야겠어욬ㅋㅋ
근데친구들이이런발음귀엽다고해서;;;;
ㅋㅋㅋ
발음으로귀엽다는소리는교정기껴보고첨들어봐욬ㅋㅋㅋㅋㅋㅋ
좋은거조잉??/
동생이랑같이치과고고씽!!!ㅋㅋ
이사모회원님들휴가는잘다녀오셨어요??
전동생이랑엄마랑바다도다녀오고강화도여행도했어요,히히
여름도다가고슬슬가을이될런지많이쌀쌀해졌는데
감기조심하시고몸건강그리고교정기챙겨주세용!!!
이사모아자아자홧팅,!!
퐈이야~~~~~~~~~~~~

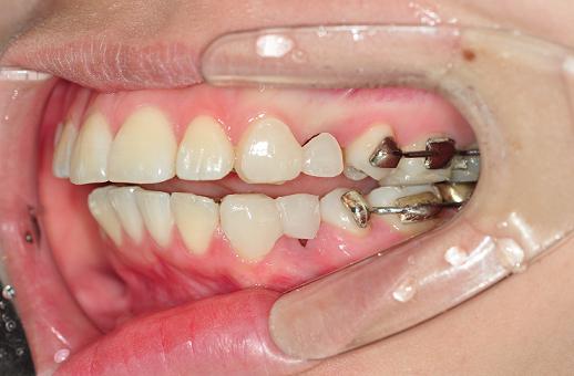
맨 위 사진에... 가치 뒤의 치아부터 금속성으로 되어있는 장치가 킬본 장치인가봐요? 아직 킬본의 구조가 어떻게 되는지 모르겠으나, 그나마 첨 보는 사진인듯해요~
넵ㅋㅋ금속성으로된데가킬본장치에용ㅋㅋㅋ
킬본의구조는쫌복잡한것같애욬ㅋㅋㅋㅋ
어 하악도 설측으로 다셨네용 ㅎㅎ궁금해요 ㅎㅎㅎㅎ^^저는 하악은 설측으로 안해서 그런지 ㅎㅎㅋㅋㅋㅋ
아ㅋㅋ위아래다돌출이고얼굴이약간비대칭이라그런지아래도킬본으로간것같에용ㅋㅋㅋ
아래 킬본 장치는 어떻게 생겼는지 궁금해요~ +_+
저도 처음에는 발음이 잘 안되서 옹알이 하냐는 얘기도 들었었어요 ㅋㅋㅋ
그래도 지금은 많이 좋아졌답니다~~ ^^ 준희님도 곧 좋아질거예요~ 화이팅 'ㅅ')/
넵감사합니당!!힘이나네욬ㅋㅋㅋ홧팅!!!
힘내세요! 화이팅!!!!
이제부터 교정 시작입니다~
이뻐지는 그날까지!!! 아자아자!
ㅋ.ㅋ저도 첨엔 치과갔다오면 이가아파서 아무것도못먹었는데
이젠안그래요...........아마도 마무리단계가 다되서그렇겠죠!?
아..저는 저렇게 사진찍을때 볼이너무아프던데...ㅋㅋ
ㅋㅋ넵마자욧ㅜㅜㅋㅋㅋ
찌루루님가면갈쑤록더예뻐지십니다홧팅!!
아;;그건저도잘모르겠지만일반치아교정발치하신분들도하시지않을까요??ㅋㅋ