*민경이의 킬본교정 13개월 월치료^*^
안녕하세요^^이사모 여러분들^^
잘지내고 계신가요^*^ 요즘 비피해 때문에 괜찮으신지 모르겠어요ㅠㅠ
저도 회사 출근하는데 엄청 힘들었습니다.
8월10일 강남역 센트럴치과 13번째 월치료를 다녀왔습니다^^
이제 일년이 지나고 첫번째 월치료네요~~~!!
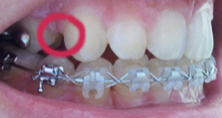
이번에 치과에 가서 상악 발치공간 조금 더 남아서 고무줄 교체를 하고
다음달 치료에 상악 안쪽 교정기를 떼고 겉으로 브라켓을 달기 위해서 본도 뜨고 왔습니다~!!
하악은 다닫힌 상태구요^^
치과를 갔다온 다음날은 이가 좀 아파서 잘못씹겠더라구요~당기기를 해서 그런거 같아요
내일이면 적응완료 하겠죠^^?
상악은 겉으로 해보지 않아서
많이 어색할것 같기도하고...적응이 필요해서 걱정이 앞서긴해요 .
주변에서 오랜만에 보시는 분들은 깜짝깜짝 놀라곤 해요~입부분이 많이 달라져서
저도 예전사진보면....참 많이 달라진거 같아서 항상 신기하고 기분이 좋습니다.
아직은 어색한 부분이 있긴하지만
교정이 끝나면 어색한 부분이 없겠죠?
이가 좀 작은 편이라서 ㅋㅋㅋ말할 때 이가 잘보이지 않아요.ㅠ.ㅠㅠ
제 생각엔 상악 겉으로 브라켓을 달고 이를 좀 피면 잘보이지 안을까 싶습니다..
교정 끝날때 까지 많이 지켜봐주시고 궁금하신점 있으시면 물어봐주세요^^♥
제가 아는 선에선 성심성의껏 대답해 드릴게용^^
오늘 하루도 즐겁게 보내시고 항상 화이팅하세용
응원할게요 그럼 좋은하루보내세요~~~^*^


저두 하악은 닫혀지고 상악발치공간만 민교이님 비슷하게 남았는데..
민교이님은 많이 들어가고 예뻐진 것 같아서 부럽네요. 난 아직도..에휴~.gif)
넹 ㅎㅎ저도 상악닫히길 기다리고 있습니다^*^
얼른 다닫혀쓰면 좋겠어요ㅎㅎ 화이팅!!
다들 보니까 상악이 발치공간이 빨리안들어가나바요 하악보다..
곧끝나시겠어요 가지런한이 이쁘시네요 ^^
아감사합니당^^* 이제 육개월 정도 남은거 같은데
얼른밝게 웃고싶어용 ㅎㅎㅎㅎ^^많이지켜봐주세용!!
교정 끝나는 날도 얼마 남지 않았겠네요~
완전 좋겠어요~
전 4개월밖에 안됐는데- 교정하는 것이 지겨워진것 같네요~ ㅠㅠㅠ
저도 4개월째가 엊그제같아요 ㅎㅎ
이제 금방 슝슝지나갈거에용~~~화이팅좀만더힘내세여^^
민교이님 이제 졸업반이네요...전 아직 갈길이 멀었고...
근데 희안한점이..전 상악이 빨리닫히고 하악이 늦게닫히네요.
상악은 닫히는게 눈에보이는데 하악은 그대로인거같고..
그래서 치과쌤한테 말했더니 뼈 구조상 원래 상악이 빨리움직이고 하악이 느리다고하네요.
근데 어째서 다른사람들은 다들 상악이 느리고 하악이빨리닫히는거지 ..?????-_-;;
어정말요??사람마다 다른가 ㅠㅠ저는 하악은 바로바로 닫히느데..상악은..바로안닫히더라구요 ㅠㅠ
이제 바로 쑥쑥쑥 닫힐것 같ㅇㅏ요^^슬픈비님도 이제 금방 닫히시고 저랑 비슷해질거 가튼데요^^?
궁금한데요~ 갑자기 겉으로 교정기를 교체하는건 왜 그런거예여?
제가 알기론 치아 배열을 하는거 같아요 ㅎㅎ
상악 일년정도는 입이 들어가도록 넣구나서~이제 치아를 이쁘게 배열하는거같습니다^^
치아도 얼굴도 예쁜 민교이님~!^^
저는 아직 하악이 공간이 많이 남았는데 벌써 닫히셨다니 부러워용~
근데 진짜 안에 있던 교정기를 왜 또 겉으로 달아요?
별게 다 궁금하네요ㅋㅋㅋ
데굴데굴사과님 좀오랜만인거같아요^^반가반가^.^
아마 치아 배열을 하기위해서^^겉으로 장치 다는거 같아요 ㅎㅎㅎㅎ
저 안쪽에 보이는 상악 반짝거리는 거가 킬본 장치인가요??? 하도 베일에 쌓여 있어서~ ^^
그리고 저도 궁금하네요. 왜 안쪽 장치를 떼고 바깥쪽에 다는 건지...
넹 ㅎㅎ킬본장치는 ㅋ정말 베일에 쌓여있는거 같아요 ㅎㅎ아직까진^^
아마 ㅊㅣ아배열을 위해서^^겉으로 다는거일거에요^^
우왕~ 상악도 많이 닫혔네요~~ +ㅁ+
저는 언제쯤 이런 날이 올지~~ 부러워요~ ^^
레드썬님 ㅎㅎ저랑 같은교정을 하셔서 저도 지켜보고있어요^^ㅎㅎ
곧 그럴날이 올거에용^^~~화이팅!!!!!
와언니는이제거의다끈나가는것같아요,ㅠㅠ부럽ㅠㅠ
저도얼른킬본교정마치고언니처럼이뻐지길바랍니당.ㅋㅋㅋㅋ