[킬본 돌출입 교정 3.] 교정 발치, 사랑니 발치 ~ >ㅁ<
이사모 가족 여러분~ 안녕하세요~ ^ㅡ^
킬본 돌출입 교정중인 레드썬입니다~ ㅋㅋ
더운 여름이지만 다들 잘 지내고 계시죠~?
저는 지난 주말 휴가라 제주도에 다녀 왔어요~ +ㅁ+
중부지방은 비가 많이 내렸다고 하던데..
제주도는 비 한 방울 안 내리고~ 완전 더웠답니다 ;ㅁ;
넘 더워서 돌아 다니기 힘들었지만.. 놀때 신나게 놀아야 된다는 생각에~
최선을 다해 열심히 놀다 왔어요~ ㅋㅋ
저 드디어~ 교정 발치, 사랑니 발치 다 끝냈답니다~!! >ㅁ<
거의 일주일 사이에 6개의 치아를 발치했더니..
첨에는 왠지 허전하고~ ㅜㅠ 음식 먹는 것도 힘들었지만~ - ㅂ-
지금은 적응되서 그런지 음식도 다 잘 먹고~ 괜찮아졌어요~ ㅎㅎ
* 2011년 07월 07일 목요일 오전 10시 00분
C치과에서 왼쪽 상악 4번 치아, 하악 5번 치아 발치
- 젤 처음 교정 발치를 했던 날~ >ㅁ<
급 마음먹고 뽑은 거라 겁나고 말고 할 생각도 못했었죠 ㅋㅋ
마취할 때만 살짝 따끔했고, 의사선생님이 금방 쏙 뽑아 주셔서 괜찮았어요~
다만~ 거즈를 살짝 물고 있었는지.. 지혈이 잘 안되서 피가 오랫동안 낫었다는~ ㅠ_-
발치하고 나서 3~4시간 동안 거즈 물고, 마취도 덜 풀려 혀가 굳어 있어 말하는 게 좀 힘들었어요~ ^^;
* 2011년 07월 09일 토요일 오전 10시 40분
L치과에서 왼쪽 상악 사랑니 발치
- 의사선생님이 왼쪽 윗 사랑니 치아뿌리가 네 개라 뽑기 힘들었다고 얘기해 주셨어요~
옆에 치위생사 선생님도 치아뿌리가 네 개인 사랑니 처음 보셨다고.. +_+ (고생 많으셨어요.. ㅜ_ㅠ)
뽑은 사랑니 직접보니 정말 뿌리가 네 개라 신기했다는... !기념사진이라도 찍어 둘 껄.. ' ㅡ')v
저만큼 치아뿌리 많은 분 계시면 손 들어보세욧~!? ‘ㅁ')// 뿌리만큼은 남부럽지 않은 부자임.. ㅋㅋ
요번에는 사랑니 뽑은 부분 꿰매고 3일 동안 아침, 저녁으로 소독하고 처방받은 약도 먹었습니다~!
* 2011년 07년 11일 월요일 오전 10시 30분
C치과에서 오른쪽 상악 4번 치아, 하악 5번 치아 발치
- 세 번이나 발치하고 나니 이제 나름 요령이 생겨서~
거즈도 곱게 잘 접어서 새로 갈고~ 침도 덜 흘리고~!? ㅋㅋㅋ
솔직히 처음 발치했을 때는 제가 거즈를 엉성하게 잘못 갈아서 그랬는지..
아님 거즈를 꽉 안 물고 살짝만 물고 있어서 지혈이 안 됐는지..
입에서 침이랑 피가 뚝뚝 떨어졌었거든요~ 'ㅠ'
그치만 이제는 발치의 달인이 되었기에~ 이 정도 쯤이야.. ‘ㅅ’)b 후훗ㅡ!
아~! 발치하기 전에 3D 돌출 가상 치아교정 이미지 촬영했답니다 ㅋ
어떻게 나올지 기대 되네요~ ^ㅁ^ (신경써서 화장 좀 하고 올 껄 하는 후회가~ ;ㅁ;)
* 2011년 07월 12일 화요일 오후 04시 00분
N치과에서 오른쪽 상악 사랑니 발치
- 이 여세를 몰아서~ 바로 다음 날 마지막 오른쪽 윗 사랑니까지 발치~!
오른쪽 사랑니도 뿌리가 네 개라 뽑기 힘들까봐 살짝 걱정했었는데..
다행히 오른쪽 사랑니는 뿌리가 하나여서 금방 쏙 뽑았어요~ ^^;
참고로 윗 사랑니 발치는 의료보험 적용이 되서~ 비용이 1만원 정도 밖에 안 들었네요~ ㅋ
사랑니는 교정전이나 교정후나 아무때나 발치해도 크게 상관은 없다고 하는데요~
교정중에 칫솔질이 힘들어서 충치가 생길 가능성이 크다는 얘기를 듣고~ 그냥 미리 뽑았어요~!
* 발치 후 주의사항 몇 가지 알려 드릴게요~ (치과에서 더 자세히 알려주시니 그냥 참고하세요~)
- 지혈을 위해 거즈를 2시간 정도 꽉 물고 있기~ 저는 넉넉히 3~4시간 정도 물고 있었어요~
- 입안에 침이랑 피는 뱉지 말고 삼키기~ 뱉으면 지혈이 잘 안 된다고 하네요~
- 술과 담배를 삼가하기~ 이건 건강을 위해서도 살짝 참아 주는 게 좋겠죠~
- 지나친 운동과 뜨거운 목욕은 피하기~ 몸에 무리가 가지 않게~!
- 빨대로 마시는 것과 맵고 뜨거운 음식도 피해주는 게 좋구요~ 생각만해도 따가울 듯~
- 통증이 있을 경우, 타이레놀이나 게보린 같은 진통제를 먹어주면 덜 아프답니다~ ㅋㅋ
이렇게 모든 발치를 끝냈구요~!!
사무실에 같이 근무하는 여직원이 제 발치한 치아를 보면서~
완전 영구 같아 보이니까~ 남자 앞에서 절대 웃지 말라며~ 솔직한 조언을..!! -ㅁ-ㅋㅋㅋㅋ (고맙다.. ㅠ)
(이.. 이렇게 보인단 말인가...;; 그래도 영구는 이가 없는 게 매력이죠~ ㅎㅎ)
제주도 여행 다녀 온 사진이랑 발치한 치아 사진 몇 장 올립니다~ 'ㅅ')//
└▷ 이렇게 멀리서 찍은 사진은 입이 잘 안 보여서 돌출입이 덜 심해 보이죠~?! ㅋㅋ
└▷ 입 다물었을 때는 입 모양이 살짝 어색하고 턱에 주름도 생김.. 살짝 미소 지으면 앞니가 똭~! 'ㅂ'
이 사진은 어두운 곳에서 흐릿하게 찍은 거라 그나마 좀 양호해 보이네요.. 'ㅁ' ㅎㅎ
└▷ 이건 좀 더 솔직한 사진~ ㅋㅋ 앞니가 참.. ㅠ_ㅠ 저도 얼른 돌출 탈출하고 싶어요~! 'ㅂ')a
※ 잠깐~! 여기서부터는 입안 발치 사진이라 살짝 혐오스럽습니다.. +_+ (미리 경고했음~!! 놀라지 말기 ㅋ)
.
.
. 여
.
.
. 백
.
.
. 의
.
.
. 美
.
.
.
. ㅋ
.
.
. ㅋ
.
.
.
. 짠~!
.
.
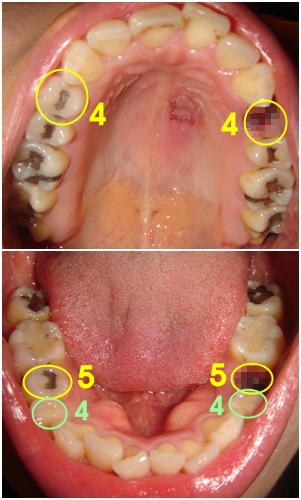
└▷ 처음 왼쪽 부분 먼저 발치했을 때 사진인데요~
원래는 상악, 하악 둘다 4번 치아를 발치할 예정이었으나..
하악은 멀쩡한 4번 치아를 살리고~ 충치 치료 받은 적 있는 5번 치아를 발치했어요~
5번 치아로 발치하니.. 웃을 때 발치한 부분이 덜 보여서~ 나름 괜찮네요 ㅋㅋ
└▷ 전부 다 발치하고 난 지금의 치아입니다.. 'ㅁ' (ㅎ ㅏ ~ 삐뚤삐뚤 민망한 치아.. ㅜㅠ 안습이네요~)
영구 같아 보이나요~? ㅡ,.ㅡ 띠리리 띠띠띠~~ 영구없따~! (~ 'ㅅ')~ ㅋㅋㅋㅋ
그래도 정면에서 보면 티 많이 안 나죠~?! ^ㅡ^* 그쵸~!?
(제발 티 많이 안 난다고~ 그렇다고 해주세요~ 흡~!
)
아ㅏㅏㅏㅏ~ 저도 얼른 장치 달고 싶어요~~ >ㅁ<
더운 날씨지만 다들 건강하게~ 즐거운 교정 함께해요~ 'ㅁ')// 그럼 오늘 하루도 화잇힝~!! ^^

7월달에는 많은 일이 있었네용~
사랑니에 발치에....
아- 사랑니 치아뿌리가 네개 있다는 말은 처음들었던 것 같아용~
교정하고 나면 아프기는 하지만 달라진다는 말에...신날거예용~
힘내세용~
한번도 가보지 못한 제주도...
꼭 가보고 싶네용~
치아뿌리 네 개인 사랑니 실제로 보니 완전 신기했어요 ㅋㅋ
제주도 여행은 봄이나 가을에 가는 게 정말 좋은데~~
혹시라도 여행 갈 일 있으면 얘기해주세요 +ㅁ+
괜찮은 관광지랑 맛집 추천 해드릴께요~ ^ㅡ^ ㅎㅎ
발치한 부분 징그러워서 모자이크처리 해주신거예요?ㅋㅋ 귀여우셔라~ 이히히
저번에도 말씀드렸지만 레드썬님이랑 제 치아랑 진짜 쫌 비슷한거 같아요~
입 다물 때 저도 어색하고,, 막 앞니 나오고 그랬거든요ㅋㅋ
그래서 레드썬님 넘넘 부러워용~ㅋㅋㅋ
왜냐면 저도 킬본교정에 완전 적합한 케이스 같아서ㅋㅋㅋㅋㅋㅋㅋㅋㅋㅋㅋㅋㅋㅋ
레드썬님 얼굴사진, 치아사진 자세하게 올려주시고 완전 짱이예요!!!^^
저랑 치아가 비슷한~ 귀여운 데굴사과님~ +ㅁ+
앞으로도 킬본 돌출입 교정에 대해 후기 자세히 올릴테니 쭉 지켜봐주세요~ ^^
저~ 사과님은 사시는 지역이 어디예요~? 'ㅅ')//
치아가 비슷하다고 하니 궁금해서~ 한번 만나 보고파요.. ㅋㅋㅋ
아직 장치 붙이지 전이군요~ 붙이 전에 맛난거 많이 먹어요. 그래야 발치한 곳도 빨리 아물죠
(먹는 거랑은 상관 없나?ㅋㅋ)
장치 붙이고 기회 되면 한번 봐요~ 할 얘기가 더 많을 거임 ㅋㅋ
아무래도 장치 붙이면 음식 먹는 게 힘들 거 같아서~
먹고픈 음식 실컷 먹었답니다 ㅋㅋ 주위에서도 많이 먹으라고 격려를~ ㅠㅠ
덕분에 살은 좀 쪘지만~ 맛보는 즐거움을 느낄 수 있어서 좋았어요~ㅎㅎㅎ
저도 이제 교정에 대해 할 얘기가 많아졌는데.. +ㅁ+ 만나서 같이 수다 떨고 싶어요~^ㅇ^
ㅋㅋㅋ 발치공간 모자이크 보고 빵~ 터졌습니다 ㅋㅋㅋ
ㅎㅎㅎ 발치하고 나서 바로 다음 날 사진을 찍었더니~
이 사진은 제가 봐도.. ㅎㄷㄷㄷ ;;
보시는 분들 놀라실까봐 모자이크 해주는 쎈스를~~ ㅋㅋㅋ
와언니저는발치계속진행중인데,ㅠㅠㅠㅠ
언니는이제다뽑으셨네요,ㅠ
이제언니날로날로더더이뻐지시겠어요!!!^^
화잇팅!!!!!!
저는 뽑는 김에 얼른 다 뽑아 버리자는 생각에~ 빠르게 발치했어요 ㅋㅋ
쮸렛님은 나이도 젊으시니까~ +_+)b
조급해 하지 말구 천천히 진행하셔도 괜찮을 거 같아요~ ^ㅁ^
우리 같이 화이팅입니다~ ㅎㅎㅎ