§민교이의 킬본교정 12개월 월치료^^§
안녕하세요 이사모여러분~~
반갑습니당!!~~~7월 13일날 12번째 월치료 강남센트럴치과 다녀왔습니다~!
일년이 되었어요 그디어~~!!!!!!*^^
너무 좋네요~! 제 교정일기 초반에 치아사진이랑 엄청나게 변한 걸 볼 수가 있어요!
정말신기하고 기분이 좋아요^ .^
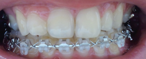
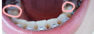
어제는 치과에 가서 상악 고무줄교체와 하악은 의사선생님께서 더 넣으시길 원했지만
한쪽 스크류 박은 곳이 흔드려서 다시 박아야한다고해서..
전 과감하게..포기했습니다.ㅜ.ㅜ
하악은 다 닫힌상태구요^^
지금 상악 당기는 중이에요~~!!! 요즘따라 사람들이 양악한거 같단 소리도 듣고
킬본교정 정말 짱인거 같아요~!!!
교정의 효과가 ..이렇게 클줄이야.....ㅋㅋㅋ
뭐양악.처럼 얼굴이 작아지고 그런건 없지만!!ㅋㅋ많이들 변했다구 하더라구요!!!
어느순간 효과가 눈에띄게 나타난듯 해요^^
아직 진행중이라서 얼굴이 어색하지만^^ 이제 얼마 남지않았기 때문에 열심히 기다리고 있어요~!!
저는 친구랑 이번에 휴가를 일찍다녀왔어요^^
더웠지만 즐거운 태국여행을 다녀왔어요~!!
일찍 다녀와서...다시또 가고싶지만..일을 해야하기 때문에~!!!
이사모 여러분들은 휴가 이제 슬슬 준비하시겠죠^^?
물놀이 조심하시고 즐거운 휴가 보내세요!~!!♡
점점 변하는 모습 지켜봐 주시고요 항상 관심가져주셔서 감사합니당^.^
오늘 하루도 즐거운 하루 보내세요~~~!!♥

아 더이뻐지셨어요 !! 휴가도 넘 재밌었을것같아요 ㅠㅠ저는 장마철일때 가서 참....ㅋㅋㅋㅋㅋㅋㅋㅋㅋㅋㅋㅋㅋㅋ
아감사합니당^^
태국은 더운나라라서..더덥더군여ㅠㅠㅠ
재밌기도 햇찌만 나름고생도 하고왔다능 ㅠㅠㅠ
와우~태쿡!!!재미있었겠어요 >ㅂ<
넹~~태국은 정말 파타야가 재밌었던거 같아여^^
와~ 벌써 12개월이나 되셨군요~ +ㅁ+
1년만에 발치공간이 이렇게 거의 닫히다니~ 신기하네요~!! 정말 효과 짱인 듯 ㅋㅋ
입매도 예전보다 자연스러워 보이고~ 완전 더 이뻐지셨어요~ ^ㅁ^ 부러워요~~
저도 예전사진 보면 입쪽이 정말 달라진걸 알 수있어여!
레드썬님도 ㅋㅋㅋ곧변화과 확확 올거에여^^
화이팅^*^!
조금만 있으면 닫혀지겠어요!!!
조금이라는 시간이 엄청 기다려지겠네용~~
휴가도 다녀오시고!!
눈이 확 트였겠네용~^^
넹 상악이 빨리 닫혔으면 좋겠어요&^^
휴가 빨리다녀와서..다시가고싶어요ㅠㅠ
이쁘네요 이뻐....부럽다 ㅠㅠ
전 아직 8개월이상은 남은듯..
아 그리고 어제 입천장에 스크류밖고 파워체인달았네요...
앞이빨이 아파요 이거 3군데서 당기니 ㅋㅋㅋㅋㅋ
아정말 아프시겠어여ㅠㅠㅠ
이제 몇일 지나면 당기는것도 나아지실 거에요!
몇일만 살짝 얼럴하고 괜찬아 지던데 저는 ㅠㅠㅠ
고생이 많으시겠어여~ㅠㅠ힘내세요!^^
와언니볼때마다변해지시는게정말부러워여~~~~ㅠㅠ
정말언니너무이뻐요,부럽부럽ㅋㅋㅋ
저도언니처럼변화가빨리오길바란다능,ㅎㅎㅎ