안녕하세요 ~ ^^* 덧니교정(덧니는 벌써 다 없어졌지만요) 을 하고있는 오리입니당.
며칠전에 치과에 다녀와서요♥. 제 교정일기를 공유하고자 또 왔습니다.ㅎㅎ
요새 자꾸 바쁜 척을 하고있는 저라서.. ㅠㅠ 저번일기가 조금 늦었어요.죄송해요
이번방문일기 열심히 쓰고 며칠후에 ..이벤트 하고있는 치과소개도 올릴꺼임!.히히
짜잔.제가다니는 치과입니다. 저안쪽에 세면대가 있어서 양치할수있고, 화장도고칠수있구..
저는 저안에서 혼자 셀카를 찍었었어요...ㅋㅋㅋ
요새 치과에 오시는분들이 많은듯.. 항상 가면 이미와있는 분들이 계시더라구요 ㅎㅎ
밖으로보이는 삼성동풍경 ㅎㅎ 위치가 좋아서 처음에도 찾아가기 쉬워요 .
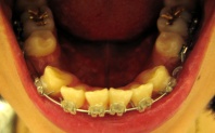
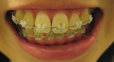
이번방문때에는 철사를 조금 더 두꺼운 것으로 교체했어요.
아직 윗니는 당기는 단계가 아니고, 아랫니는 조금씩 당기는중~
조급해하지 않을래요..ㅋㅋ
저는 위에는 클리피씨(똑딱이)이고 아래는 레진 인데요,
통증같은거에 큰 차이가 있을까 싶었는데, 제가 느끼는 정도로는 비슷한 것 같아요.
아니면 위에랑 아래랑 같이 조이고 있는게 아니라서 정확한 비교가 안되는걸수도있지만..
어쨌든 레진이라고 해서 막 죽을듯이 아프고 이러진 않아요;; ! ㅋㅋ
그래도 예전보다는 조금 공간이 메꿔진듯.
저번에 아랫니에 묶어놨던 꼬무줄은 뺐습니다.^^
여러분 양치 잘 하고계시나요? 전 사실 첨처럼 열심히 하진 않는 듯 해요.ㅠㅠ
이러다가 이가 상하기라도하면 큰일인데... 이번에 치과가서도 치위생사선생님이 양치 잘 하라고
하셨답니다..귀찮더라도 꼬옥 양치합시다 ! ㅋㅋ
오늘은 머리도 자르고 염색도했어요..ㅋㅋ
머리가 긴게 너무 불편해서 몇년만에 자른건데 이 머리도 관리하기가 힘들다네요..ㅠㅠ
피겨스케이팅 곽민정 선수... 4년만에 교정기를 뺐다네요..ㅋㅋ
부러움+나도 설마 4년이나..? 하는 생각이 드네용. ㅋㅋ 암튼 교정 예쁘게 잘된거같아요.ㅎ
그럼 저는 다음방문후에 또 후기들고 오겠습니다
그때까지여러분 즐교하세요! ^^

어머? 머리 자르셨네요!!
예뻐요! 예뻐!!!
양치질은 어려워요~
저도 구ㅣ차니즘에 걸렸지요~
그렇지만,, 이빨 사이가 벌어져서 대충하면 안되겠더라구요!!
오리님도 양치질 잘하세요!!