안녕하세요!
12월초에 교정을시작해서 지금 한달째인 이규원입니당.
1달동안 치과를 한 4번정도 왔다갔다 했는데용.. 2번은 발치하러 , 2번은 다니고있는 교정치과에
다녀왔습니다 ..!ㅎㅎ
먼저 보면 볼수록 마음이 허해지는.ㅜ_ㅜ 발치한 사진 보여드릴께요.
↑ 저는 양쪽 4번치아를 발치했는데요.! 뽑고나서 제가 생각했던것보다 공간이 커서
한동안 상실감을-_ㅠㅠ.. 이게 과연 채워질려나? 이런생각이 계속 들더라구요.
아직 그생각을 완전히 없애버리진 못했지만.. 치과 열심히 다니면 언젠간 메꿔 지겠죠??ㅎㅎ
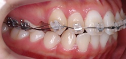
두꺼운 와이어로 교체 를 한 사진입니다. 덧니 뒤부터는 와이어가 3줄인데 신기해요~
↑ 이건 정면에서 본 사진이에요~ 덧니가 빨리 들어갔으면~!!ㅎㅎ
↑ 또 상악 맨 뒤 치아에도 장치를 부착 했어요!
찍기가 어려운 위치라 작은 거울을 이용해서 찍어주셨어요~ ㅋㅋ
그렇게 치과에 다녀오공!
그전까지는 치킨도 먹고 막 그랬었는데...!!!
이제는 왠지 조심스러워지고...
세게 씹으면 아픈거 같더라구요..ㅠ_ㅠ
근데 다행히 저희학교 기숙사가 아침에는 죽, 누룽지 이런거가 나와서 잘 먹을수 있었어요~
대신 점심, 저녁밥때는 밥+국 위주로 먹고 거의 그냥 삼켰다능ㅋㅋ
근데 그것도 2일쯤 하고 나니까 지금은 또 전혀 아프지가 않아요!
아마 와이어를 교체한 날 + 2일 정도만 아픈것 같아요.
기숙사에서 ㅎㅎ 피자느님과 함께..ㅋㅋㅋㅋ
크리스마스에 기숙사에서 ...ㅎ 교정중인 저땜에 순살치킨으로 사먹었어요ㅋㅋㅋ

덧니라고 해도 별로 티도 안나는 귀여운 덧니네요 ^^
와이어 3줄이라고 하신 거는 아마 와이어는 하나인데 고무줄 건거 아닌가요???
볼살도 통통하시고~ 참 예쁘세요^^
이 예쁜 볼살을 꼭! 지키세요>_ <!!ㅋㅋ
덧니가 별로 심하지 않으셔서 나중에블랙트라이앵글도
하나도 안생기고 예쁘게 교정 될것 같아요^^
예쁘세요~ 덧니 같지도 않아요~ 덧니가 금방 들어가실 거예요^^
치킨이랑 케이크 드셨어요? 볼살 없어지지 않게 많이 많이 드세요~