4번째 월치료^*^
안녕하세용~~!^*^
날씨추운데...옷은 따뜻하게 입구 다니시는지!!몸관리 가장 중요시 할 때 인거같아요!!~~
저는 11월 23일날 강남 센트럴 치과 월치료 받구왔습니당~~!!!
또 일기 늦게 쓰네용..ㅠ.ㅠ ㅋㅋ회사 워크샵도 다녀오구~~!!ㅠ.ㅠ그러다보니 정신이 또 팔렸어요~!!!
요즘 입이 들어갔단 소리 정말 많이 듣는거같아요^^
의사 선생님이 저는 잇몸 위주로 뼈를 집어 넣는거라 하시더군용~!!그래서 콧대도
훨씬 높아 보인다고해서 점점 변하는 모습 볼때마다 기분이 좋더라구요^^
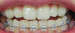
4번째 월치료라서 치아 사진찍구 !!!
고무줄 교체와 철사교체를 했습니당~~~!!!
잇몸이.......가끔씩 아플때도 있는데 왜그런지는 모르겠찌만..
양치 열심히 하는데 괜히 질환이 생길까봐 겁나용..ㅜ.ㅜ
치아 사진올려볼게요~!이번엔 선명한 사진으로 올려써용~!!!
아직은..............자리가 잡혀가는 과정이라 헤헤^^
아~!!! 저랑 정말 가장 친한친구가 있는데 ㅋㅋㅋ쇼핑몰을 오픈했더라구요^^
이쁜옷 많이있으니깐 한번 구경해주세용^^♥ '라라팝' www.rarapop.com
이친구 덕분에 치아가 젤 이쁘게나서 항상 부러워서
교정의 결심을 하게 해준 친구에요 ㅋㅋㅋㅋㅋㅋㅋㅋㅋㅋㅋㅋ
가장 부러운 친구 ㅋㅋㅋㅋㅋㅋㅋㅋㅋㅋㅋㅋㅋㅋㅋㅋ
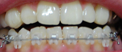
약간 밑에사진 이사진과 정면에서찍은 사진이에요~~ㅋㅋㅋ

아 님은 블랙트라이앵글이 없네요ㅠㅠ 부러워요^^
4개월짼데 입들어갔단 소리도 듣고 정말빠르네요
저도 담주에6번째 월치료가는데
이제 입들어가는거 한다는데 긴장돼요
아플까봐ㅋㅋㅋㅋㅋㅋㅋ
변화된모습 많이많이 올려주세요^^
즐교!!!!!!!!!!!
저는 위에는 스크류 박고 계속 넣는과정을 먼저한거같아요~!!
옥짜깜돌님도 이제 들어가는 치료받으시면
빠르게 진행될거에용^*^아프진 않구..첨엔..되게 얼럴한기분이랄까...ㅠ.ㅠ
곧적응되용^^~~!!
4개월 되었는데 눈에 띄게 입이 들어갔다고 하시니 완전 부러워요.^^
옥짜깜돌님 말씀대로 블트가 하나도 없으시네요. 나이가 어리셔서 그런가...
저는 원래도 상악 앞니 중앙에 블트가 있긴했는데, 지금은 대왕블트가 되었고
다른 곳에도 블트가 여기저기 생겨나서 좌절모드랍니다. ㅋㅋㅋ 즐교하세영~* ^^
저도이제..볼트가 많아질거라는..ㅠ.ㅠ
지금 잇몸이 자꾸 헐어서 너무아파용...ㅠ.ㅠ
양치를 열심히하긴했는데..항상..이썩는기분이궁 겁이나용..ㅋㅋ
얼른 끝내고싶은 마음뿐이에용.ㅠ.ㅠ
깐또님도 화이띵^^
정말 입이 빨리 들어가셨어요^^
너무 부러워요^^
저는 1년 5개월이 되었는데도 턱이 들어갈까 말까 하는데
전 더 있어야 할 것 같아요^^
안녕하세요^^
아감사해요 칭찬뿐이니..몸둘바를 모르겠어요ㅠㅠㅠㅠㅠㅠㅠㅠ
폭풍눈물.ㅠㅠㅠ
좋게봐주시니깐 너무기분좋은데요^^?
교정기낀로봇님두 얼른 이쁜턱라인가 입라인을 갖으실거라믿어요!!^*^
월치료 후기 올릴테니깐 변하는 모습 지켜봐주세용^^
감사드려용♥♥♥