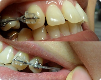
상악 브라켓 상태
3월 30일 치과 첫 방문해서 검사 받은 것을 시작으로 담당 의사 선생님을 2주간 기다려서
발치를 일주일 간격으로 차례로 하고, 브라켓은 4월28일 처음으로 걸었어요.
사진을 첨부했는데, 첫번 째 좌우 사진은 5월 14일 상악 양쪽으로 브라켓 건지 2주 넘어서이고,
두번 째 사진은 브라켓 걸고 3주 뒤에 와이어만 교체하고 이틀 지난 상태의 사진입니다.
사진을 보다시피 앞니 4개는 브라켓 걸지 않은 상태이고,
하악도 발치된 채 아직 브라켓이 없는 상태입니다.
다시 3주 뒤인 6월 7일이 월치료 두번 째인데,
진행이 너무 느린것 같아 치위생사분께 여쭤보니 잠시 머뭇하더니
상악이 움직여야 하악이 움직인다고 하면서 3주 뒤에도
상악을 상태를 봐서 의사선생님께서 하악을 결정하실거라고 자신없는 답변만 오네요.
근데 하악을 먼저 브라켓 하신 회원님들도 본 듯한데...어떤 것이 맞는 건지요?
치과 방문 두 달이 넘어서도 저와 같은 순서와 상태로 진행되고 있는 분들 계시나요?
또 발치된 공간은 언제쯤 닫히나요?
저는 상악 앞니 돌출과 하악 덧니로 인한 치아 불균형, 부정교합 등으로 교정을 시작했습니다.
흉하게 당겨찍은 사진이지만 궁금한 맘에 함께 올립니다.
회원님들의 많은 답변&의견 부탁드립니다.
- 시간이 더디가는 깐또 올림 -

브라켓에 와이어가 끼워져 있네요?..오.. 저런거 첨 봐요.
앞니에 블라켓 안 붙인 것도 첨보고..
저같은 경우 금니(어금니)에 반지끼워야 되서 그 부분을 제외하고 브라켓을 붙이긴 했지만..
그나저나 앞니로 향해있는 와이어 끝 안 찔리나요?
오~! 예리하시네요. 앞으로 튀어 나와 있는 저 것 때문에
첨엔 엄청 찔려서 헐다 못해 염증까지 생겨서 난리도 아니었죠.
저는 다른 교정인들도 다 그런 줄 알고 참고 참다 이사모 식구들에게 물었더니
왁스 받아 오라고 해서 치과 갔더니 염증 보고 엄청 미안해 하면서 레이져 치료해 주었어요.
왁스 주는 것도 잊었다고 치위생사분이 많이 미안해 하셨어요.
지금은 왁스 붙여가며 적응 중예요. 보이는 곳 말고 맨 끝 어금니쪽에도 저것 비슷하게
튀어나와 있어서 거긴 전쟁 통이었답니다. ^^;; 아파서 발음도 안되었었어요.
마금아님 앞니에 브라켓 안 붙인 거 첨 보죠? 저도 첨 봐요. ㅠㅠ
저두 이렇게 붙인건 첨봐서 잘 모르겠어요. 전 그냥 한꺼번에 상하악 다 붙이고
시작했는데 치아 상태에 따라 상악을 먼저 붙이거나 하악을 먼저 붙이고
진행하시는 분들도 꽤 많더라구요. 근데 깐또님처럼 앞니를 빼놓고 부분적으로
브라켓을 붙이신건 첨보네요. 어금니쪽에 뭔가를 맞출려고 하는건진 잘 모르겠지만
두달동안이나 이 상태로 별 진전이 없으시다니 정말 답답하실 듯합니다.
발치공간은 이를 먼저 가지런히 다 편후에 메우기 시작하는거라 아직은 시기가 아니예요.
암튼 선생님도 글쿠 치위생사분도 글쿠 속시원히 얘기를 안해주신다니..ㅠㅠ
철사맨샘께도 사진 올려서 여쭤보시고 답답한 맘을 빨리 푸셨으면 좋겠어요. 홧팅!
제 답답한 맘을 위로 받고 싶었나봐요. 그죠? 첨 보죠?
발치는 상악 하악(덧니로 인해 소구치 하나가 원래 안나 1개만 발치) 다 했는데,
상악만 계속 이렇게 교정기를 끼고 있답니다. 첫 2주는 아파서 죽음이었어요.
지금은 오히려 적응이 되었는지 그럭저럭 지낼만 하답니다.
발치공간은 이를 다 편 후에 메꾸기를 하는군요.
전 언제쯤 다 펴질까요? 켁~ ^^;;
6월 7일 월치료 갔을때도 이렇게 상악만 진행하면
지니님 말씀대로 철사맨 선생님께 여쭤봐야 할까봐요.
제 담당 선생님도 교정 전문의라서 믿고 싶어서(정말 그런 맘 굴뚝 같답니다.)
미루고 있는 중이랍니다. 오히려 이사모 식구들로부터 위로 받고 교정에 대한 지식도
쌓아가고 있습니다. 이사모가 아님 답답해서 폭발했을지도 몰라요. ㅋㅋㅋ
^^
저두 엄청 진행 느리더라구요..
상악에 브라켓부착만 6주 걸렸구요...하악은 4개월후에 일부만 부착했구요..
정말 짜증나서 미쳐버리는줄 알았다는...
지금10개월차인데 얼마전에 어떤일로 화난투로 말했더니 부착안한 하악 앞니쪽도 부착했습니다..
전돌출도 아닌데 하악앞니 1mm정도 비스듬해서 교정했는데 아직도 앞니는 그대로라는
변화라고는 군데군데 벌어진 치아...보기싫을정도네요..
그래도 짜증을 냈더니 3주마다 가는데 1주일후에 오라그러고 2주후에 오라그러고...
전여러가지로 불만과 불신때문에 병원도 고려중인사람이예요..^^
의사말로는 이빨다펴고 한꺼번에 안하고 군데군데 맞쳐갈꺼라네요...말은그럴싸한데 일단에 두고 볼랍니다..
답변 감사드립니다. 교정 진행이 느리신 분이 계시긴 하는군요.
하악을 4개월 후에 그것도 일부만 부착하시다니...
정말 화가 나실 만 합니다. 건의하니까 1주 후, 2주 후로 날짜를 변경하는 것도 이상하고...
치과마다 의사쌤마다 교정과정이 다르다고는 하지만 fall님의 경우는 뭐라 할 말을 잃게 하네요.ㅠㅠ
제 상황도 불안합니다.ㅜㅜ
하악 소구치 발치를 4월21일 하고 지금까지 장치를 안하니까
치아 사이가 넒어지고 블랙트라이앵글도 마구마구 생겨 나네요.
6월에 월치료가서 정말 분명히 물어봐야 할까봐요. 왜 이리 진행이 느린건지...>.<;;
저는 어금니 펴는데만 거의 일년가까이 걸렸어요..위아래 어금니만 장치했었죠.. 브라켓 장치는 거의 일년만에 한듯 해요.