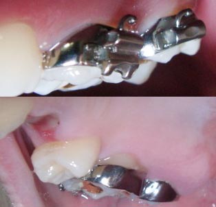
드디어 윗니에 반지 끼웠습니다~ 정교한교정 21년 전 사진찍기 겨우겨우 성공ㅡ0ㅡ 반지 끼운 것도 유효?? 헤헷.. 거꾸로 붙은 옷걸이(?)의 용도가 궁금하군요. 반지 제대로 끼워진건가? 첨부파일: 1 teeth_ring1.jpg (22.2KB) 다운로드: 21 정교한교정