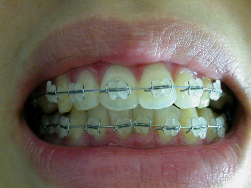
교정 1개월째... starbucks 22년 전 수정 삭제 오늘에야 디카를 고쳐서 사진 올립니다. 윗 작은 어금니 발치 2개 했구요... 어제 양쪽에 미니임플란트했어요.. 그 전에 했었는데 염증이 생겨서 흔들리는 관계로 빼고 다시 했죠.. 언제쯤 앞니가 들어갈까요...ㅠ_ㅠ * 나사맨님에 의해서 게시물 복사되었습니다 (2004-07-06 15:04) 첨부파일: 2 20030706_00090(2).jpg (228.1KB) 다운로드: 27 20030706_00090(2).jpg (228.1KB) 다운로드: 27 starbucks