증산댁의 치아교정후기 ④① 2월진료

증산댁의 치아교정후기 ④① 2월진료




안녕하세요 증산댁이에요


후기가 밀려서 오늘은 연달아 2개를 쓰네요 ;;


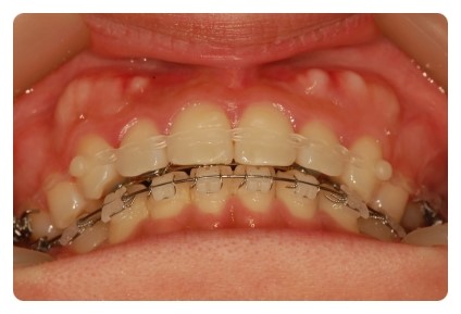
DSC_9243.JPG


지난달 사진보다 뭔지는 잘 모르겠지만 괜히 살짝 더 예뻐진 느낌 ㅎㅎ


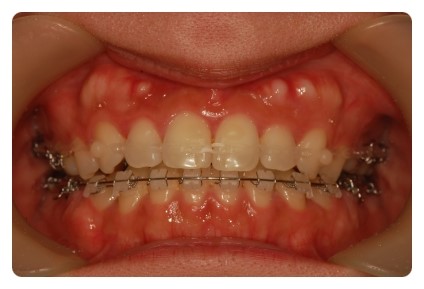
DSC_9244.JPG


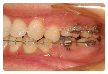
앞니에 걸어둔 고무줄은 금방 색이 변해서 월치료때 고무줄 여유분 몇개를 더 챙겨주셨어요


일주일에 한번이상 바꾸진말라고 하시네요


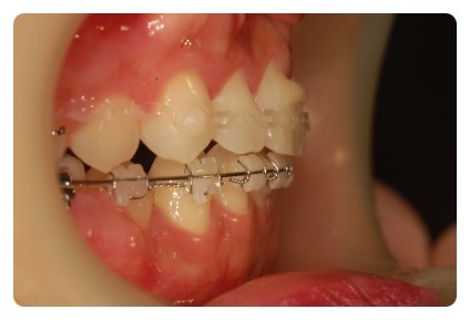
DSC_9245.JPG


앞니에 톡 튀어나온거는 고무줄이 올라가지않게 턱을 만들어주신거에요


옆에서보니까 진짜 이상하네요 ㅋㅋ


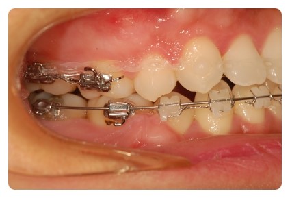
DSC_9246.JPG


하악 철사를 바꿨어요


지난달까진 어금니쪽에 고무줄거는 부분이 길게 내려와있었는데 이젠 필요없다고 하셨어요


DSC_9247.JPG


고무줄과 브라켓과 철사 사이에 음식물이 많이 끼이는데


어금니쪽이라 보이지도않아서 치간칫솔질이 혼자선 넘 어려워요 ㅠㅠ 계속 잇몸찌르기로 피보는중 ㅠㅠ


그래도 자꾸 음식물이 끼이면 틈이 안줄어든다니 열심히 해볼께요


DSC_9248.JPG


이대로 유지만 잘되면 좋겠어요


DSC_9249.JPG


하악도 거의 다 닫혀가요 ㅎㅎ




벌써 내일이 또 월치료날이에요


원래는 3월 월치료가 저번주였는데 사정이 생겨서 한주 미뤘거든요


아이들 학기초라 넘 바빠요 ㅠㅠ


그럼 낼 월치료 다녀와서 또 후기 남길께요 !!



팔로잉 최신글