증산댁의 치아교정후기 ④ⓞ 1월진료

증산댁의 치아교정후기 ④ⓞ 1월진료




안녕하세요 증산댁이에요


오랜만이죠 넘 오래되다보니 어제가 오늘같고 오늘이 내일같고 ;; 자꾸 깜빡깜빡하네요


죄송해요 ㅠㅠㅠㅠㅠ


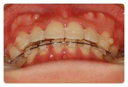
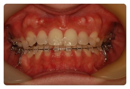
DSC_6420.JPG


이번에는 새로운 장치가 또 추가되었어요


상악틈 줄이기 위한건데 앞니에도 고무줄을 뙇 !! 고무줄이 자꾸 미끄러져 올라가서 동그란것도 하나 붙이고


가족들이 밥풀끼인줄 알았다고 ;;


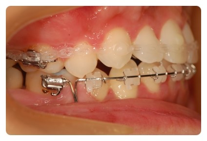
DSC_6421.JPG


치아에 고무줄이 많이 걸려있으니 양치질이 깨끗하게 잘 안되요 ㅠㅠ


아래 잇몸이 부어서 밀려올라왔네요


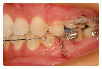
DSC_6424.JPG


옆모습은 가지런하게 잘 진행중


그런데 브라켓이랑 송곳니가 자꾸 부딪쳐서 치아가 조금 깨진것같기도 하구


송곳니가 원래 저렇게 뾰족했던가 ??


DSC_6425.JPG


요쪽 송곳니도 조금 깨졌나 ;;


교정끝나면 치아미백이랑 충치치료랑 치아성형이랑 해야할듯요


DSC_6426.JPG


확실히 고무줄까지 착용해서인지 틈이 금방금방 줄어드는것 같아요


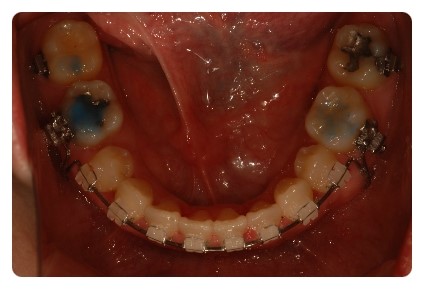
DSC_6428.JPG


하악도 이제 조금밖에 안남았어요


그런데 닫히고나면 어느정도까지 더 장치를 하고있어야될까요 ??


오래걸렸는데 ㅠㅠ 금방 돌아가버리진않겠죠 ;;



팔로잉 최신글