안녕하세요 자몽티입니다!
와 저 치아교정후기 쓴 지 얼마 안된 것 같은데 벌써 교정 오개월차에요!!!!
이제 한 일년 남짓 정도만 더 교정하면 끝나겠어요 대박대박대박 진짜 금방이에요!!!!
너무 좋네요 ㅎㅎㅎ
오늘도 친절한 원장샘과 치위생사 샘들에게 치료를 받는 날입니다 ㅎㅎㅎ
이번 월치료부터는 치아가 더 많이 들어가도록 해주실 거라고 하셨어요!
앞으로 약 3-4개월 간 돌출입이 가장 많이 들어가고,
들어가는게 눈에 보일 거라고 말씀해주셨어요!! :) 와우 완전 신나요!!!
이를 위해서 오늘은,
상악에 있는 스크류와 연결된 킬본장치를 더 많이 당기고,
하악의 와이어도 더 많이 당기고, 윗니 아랫니가 맞물려서 치아이동을 방해하지 못하게
어금니의 바이트 블록을 더 높이 쌓는 작업을 했습니다!
더 빠른 치아이동을 위해 달았던 고무줄도 교체했구요!
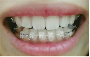
월치료 후의 제 치아입니다 ㅎㅎㅎ
저번에 달았던 고무줄은 그대로 달려있는데 투명해서 보이지는 않네요!!
치열교정은 이제 거의 완벽하게 끝난것도 보이시죠? ㅎㅎㅎ
치료가 끝난 다음에는 원장샘께서 친절하게 치료 경과에 대해서 설명해주셨어요.
이렇게 x-ray를 한번 더 찍어서 보여주시면서,
현재 어떤 방향으로 당겨지고 있고, 앞으로 어떤 방향으로 당길 것이다,
그 과정에서 스크류의 이동이 필요할 수도 있다 이런식으로 친절하게 말씀해주셨어요! ㅎㅎㅎ
중간에 설명을 해주시니까 더 안심되고 신뢰가 갔습니다.
아 충분히 신경을 많이 써주시고 계시구나,
좋은 결과를 위해서 계속 모니터링 해주고 계시구나 하는 것을 알 수 있었어요.
또 앞으로의 치료도 선생님이 잘 진행해주실 거라는 믿음이 갔구요! :)
이번에 더 빡시게 월치료를 했으니 조금은 더 불편한게 있긴해요 ㅠ!!
바이트 블록이 높아지다보니까 앞니로 씹는 것은 거의 힘들더라구요.
그리구 이삼일 정도 전반적으로 음식을 씹을 때 약간 더 힘들었어요.
지금까지는 거의 전혀 느끼지 못했던 통증도 미약하지만 조금씩 겪게 되는 것 같구요.
그치만 제가 특수케이스인지는 몰라도 여전히 별로 아프다는 생각이 들지는 않더라구요 ㅋㅋㅋ
진짜 이번 월치료 하고 부터는 입이 들어가는게 좀 더 보이는 거 같아서!! ㅋㅋㅋ
그정도는 아무것도 아니네요 호호호 >< 완전 좋아요!!
저도 중간 모니터링을 위해 치아교정후기에 옆모습 사진을 첨부합니다!
이전보다는 조금 나아졌는데 아직 사진으로는 확연히 안보이죠?
아마 지금부터 본격적으로 치아와 잇몸이 들어간다고 하니
몇 달 뒤 교정후기를 기대해주세요 :)
한편 앞모습은 많이 변했어요! ㅎㅎㅎ
주변 사람들이 오 뭔가 달라졌다 돌출입교정 효과가 나오는거 같다
이런 얘기들 해주더라구요 히히
근황겸 제가 찍은 사진을 올립니다 ㅎㅎ
우연히 발견한 예쁜 카페인데 가격도 싸고 독특한 메뉴들이 많았어요!
약간 홈메이드 느낌? ㅎㅎㅎ제 취향을 저격했네요.. ㅎㅎㅎ

저는 8개월차에 외모변화가 정말 크게 일어났어요! 화이팅!
오 그렇군요 좋은정보 감사해요 기대되네요 ㅋㅋㅋㅋ
중간 중간 저렇게 엑스레이 찍어보면 좋겠어요
맞아요! ㅋㅋㅋ
맞아요! ㅋㅋㅋ
주변에서도 반응이 오면 신기하면서 기분좋은거같아요