증산댁의 치아교정후기 ③⑦ 당기기를 방해하는 습관
안녕하세요 증산댁이에요
요즘 날씨 정말 덥네요
최강더위가 나날이 갱신되고 있어요 .. 폭염 다음에 더 폭염 .. 잠깐만 움직여도 땀이 비오듯해요
여름이라 더운건 어쩔수없다고는 하지만
장마철이라고해도 비가 국지성으로 퍼붓고 계속 습하기만해서 무슨 동남아 날씨같아요
저희식구들은 더위를 워낙 많이타서 에어컨을 잠깐 외출할때빼곤 24시간 풀가동하고 있어요
이러다가 저 10년된 고물에어컨 조만간 고장날것 같아요 ㅋㅋ
더운데 어떻게 지내시는지 .. 건강관리는 잘하고 계신지 .. 한창 휴가철이라 다들 바쁘시겠죠 ??
휴가계획도 궁금하고 어디 좋은곳 다녀오셨는지도 궁금하네요 ^^
이제 후기로 뿅 ~~~
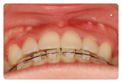
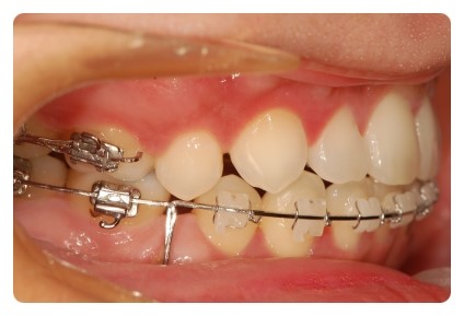
양치 열심히 한다고는 했는데 고춧가루가 .. 민망 ;;
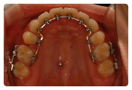
상악은 거의다 닫혀가구요
진료받기 전에 사진을 먼저 찍었어요
그래서 사진상으로 변화는 없어보이지만 분홍색으로 표시한 부분의 철사를 잘라냈어요
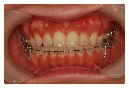
하악 닫히는 속도가 너무 심각하게 느려서 ..
어금니 두개를 한꺼번에 당겨오려니까 잘 움직이지않는것 같아서 하나씩 당겨보기로 하신것 같아요
참참 그리고
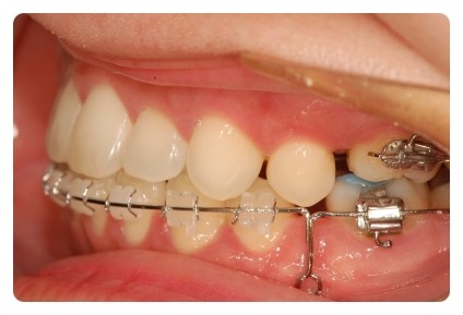
혹시 저한테 이를 꽉 다무는 습관이 있냐고 물어보시더라구요
갑자기 소름 ~~~
안그래도 그것땜에 요즘 고민중이었거든요
원래는 안그랬는데 교정시작하고나서 언제부턴가 무의식적으로 앙다무는 버릇이 생겼어요
찾아보니 사각턱보톡스를 맞으면 효과가 좀 있다고해서 ..
맞아야하나 .. 그런데 무서워서 ㅠㅠㅠㅠㅠ
이를 꽉 앙다무는게 치아이동을 막는 행동이래요
생각보다 잘 안움직이시는 분들 곰곰히 생각해보세요 이런습관이 있는지 ..
아 .. 보톡스 .. 무서운데 ㅠㅠㅠㅠㅠ 주사 왠지 아플것같아 ㅠㅠㅠㅠㅠ

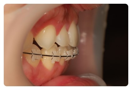
대박대박 공간 거의 닫히셨네 와
저는 잘때 이갈면서 엄청 앙물긴 하는데 ㅠㅠㅠ
저는 무의식 중에 입을 앙 물고 있더라구요 ㅠㅠ