증산댁의 치아교정후기 ③⑥ 하악와이어 교체
안녕하세요 증산댁이에요 ^^
오랜만에 예쁜 화장실에서 ㅋㅋ 평소에 사진을 잘 안찍다보니까 올릴게 없어서 ;;
그나저나 벌써 낮엔 여름처럼 푹푹 쪄요 ~~~
계곡에서 시원하게 물놀이 하고싶은데 비가 잘안와서 물이 없겠죠 ㅠㅠ
전 이상하게 바다보단 계곡이 좋더라구요
수영을 못해서 긍가 ;;
바다도 놀땐 재밌긴한데 ~~~ 그 모래씻는게 진짜 세상귀찮고 짜증나가지고 ㅡㅡ
계곡가서 발담그고 백숙이랑 막걸리 먹는게 그렇게 좋을수가 없어요 ㅋㅋ
나이먹어서 그렁가봐요 ㅋㅋㅋㅋㅋ
암튼 이제 선풍기 틀어놓고 후기로 돌아가서 ~~~
지난달에 월치료받을땐 치아가 잘 다물어지지않으면 위아래로 고무줄 연결할거라 하셨는데
다행히 지금은 안해도 될것같다고 ~~~
사실 엄청 걱정했거든요 ㅠㅠ 너무 불편할것 같아서 ㅠㅠ
저도 블랙트라이앵글 살짝 있지만 그닥 신경쓰일 정도는 아니라서 뭐 괜찮아요
3년 넘어가면서부터는 양치할때말고는 교정초기처럼 제 입안 잘 들여다보지도 않고 ㅋㅋ
웬만하면 그냥 다 괜찮은것 같습니다 ㅋㅋㅋㅋㅋ
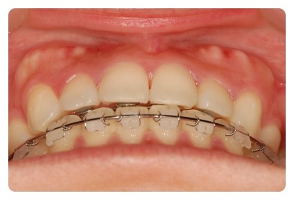
맞물림이 약간 떠있는데 바이트블럭 때문인지 뭔지 모르겠어요
치아를 앙다물때 덜그덕거린다고 해야하나 ?? 오른쪽이 먼저닿고 그담에 왼쪽이 닿았는데
그냥 기분탓인줄 ;;;;;
안그래도 함 여쭤보려다가 깜빡하고 그냥왔어요 ;;;;;
다음에 월치료가면 꼭 기억해야겠어요
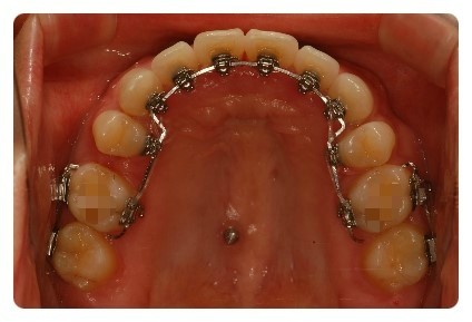
가지런하게 잘 이동중인 치아들 ~~~ ㅎㅎ
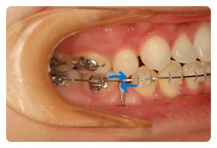
하악 철사를 바꿨어요
당기기 할때 예전엔 철사를 어금니뒤로 쭉 당기고 잘라냈던것 같은데
이거는 철사가 점점 겹치게 양쪽에서 당겨요 ~~~ 그래서 이동속도가 좀더 빨라진대요
상악에 비해서 하악이 많이 느려서 이렇게 해주신듯
한동안은 월치료 받고와도 통증이 전혀 없었는데 ~~~ 오랜만에 일주일간 뻐근했네요 ㅋㅋ
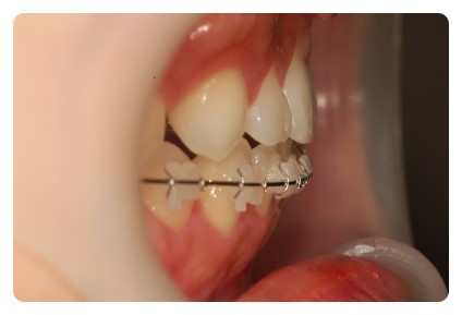
충치때문에 모자이크 처리했어요 ㅋㅋ
사진 볼때마다 치료 빨리 하고싶은데 ~~~ 설측은 치아모양에 맞춰서 제작되는거라
치아가 변형되면 다시 본뜨고 제작해야하는 번거로움이 ㅠㅠ
교정 끝나자마자 달려가서 충치치료랑 미백 할꺼에요 !! 그런데 대체 언제 ?? 힝 .....
하악은 언제봐도 진짜 느리네요 ;;;;;
이번달사진이 저번달사진 같고 ~~~ 저번달사진이 작년사진 같고 ~~~
뭐 참 그러네요 ㅎㅎㅎㅎㅎ
참참 5월연휴때 강원도쪽으로 다녀왔거든요
황사 미세먼지 강풍때문에 1박2일은 놀지도못하고 숙소에만 콕 박혀있었지만
전에는 날씨가 쫌 괜찮았어서 수영장에서도 놀고 ~~~ 바다구경도 하고 ~~~ 회도 먹고 ~~~
그나저나 우연히 저희가 간곳이 서핑성지로 떠오르는 곳이라고 !!
바닷물이 엄청 차가웠는데도 수트입고 보드들고 서핑을 즐기는 젊은이들이 많더라구요
생각보다 멋지진않았지만 ㅋㅋ 재밌어보여서 올여름엔 서핑에 도전해보기로 !!
떠오르지않는 몸뚱이를 끌고 담달부터 수영강습 들으러 갑니다 ㅋㅋ
그롬 다음후기에서 만나요 ~~~ ^^

증산댁님 일기볼때마다 치아가 넘 이뻐이뻐요~
저는 하악에 블트있는데 처음엔 너무 신경쓰여서
매일 거울보고 그랬어요ㅜㅜ 근데 시간이 지나니
그새 덤덤해졌네요...ㅋㅋㅋㅋㅋ
방법이 없다고하니 마음비우려구요ㅜㅜㅋㅋㅋ
딴소린데 치아 너무 깨끗하신듯 ㅎㅎㅎ
치열도 완전 가지런하네요!!!
진짜 치아가 예쁘시네요 ㅎㅎ
양치나 관리 잘하시는거 같아요~~~