[치아교정후기] 쏘엘의 킬본 돌출입교정후기 #35. 상악 치간삭제 및 치아 스켈링

[치아교정후기] 쏘엘의 킬본 돌출입교정후기 #35. 상악 치간삭제 및 치아 스켈링

 

 

안녕하세요:) 쏘엘의 킬본 돌출입 치아교정후기 입니다.^^

일이 생겨 월치료 날짜를 변경해서 다녀왔어요.

치아교정기간이 길어질 것 같은 생각에 치과 예약일만큼은

​꼭 지키고 싶은데 마음처럼 쉽진 않네요.ㅜㅜ

​지난번에 하악 왼쪽 어금니에 교정장치 탈락된 사건(?)이 있었죠..>,<

​월치료 다녀온지 얼마 안되서 일어난 일이라 어찌해야하나 싶어 치과에 전화해서 말했더니

​큰 불편함이 없으니 다음 월치료때 오면 된다고 했었는데요~

​이번에 월치료때 의자에 앉자마자 바로 얘기를 하기도 했고

​전화해서 미리 말했었던지라 체크가 되어있더라구요. 

원장님 확인하시고 탈락된 교정장치를 부착할지 말지 보겠다고 하셨는데~

제일 안쪽 어금니이다보니 큰 영향을 주지는 않을꺼라고 하셔서

경과를 지켜보기로 하면서 이번에는 교정장치 재부착을 하지 않았어요.

 

치아교정후기2.jpg

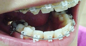
​사진속 하악 왼쪽에 금니 보이시나요? 교정장치 탈락했던 어금니에요.

​장치 탈락한 어금니 제외하고 와이어 교체해서 연결하고 하악 치료는 끝!

치아교정후기1.jpg

​저의 경우 발치교정을 했지만 치아 앞니도 큰편이고 뻐드러진 케이스에

​치아 공간이 부족한 상태라서 치간삭제가 필요하다고 예전부터 말씀해주셨는데요~

​이번에 처음으로 치간삭제 하고 왔어요.!

교정 치간삭제라 함은 치아사이를 조금씩 다듬어 치아배열 및 돌출입 해소를 위한 공간을 만들어 주는거에요.

​치아를 삭제한다고 해서 조금 걱정했는데.. 처음 받는 치료이다 보니 느낌이 쪼금? 이상하긴 했지만

​생각보다 별거 아니였어요. 치아 앞니 4개부분 사이사이에 조금씩 다듬어 주셨어요.

​처음부터 삭제가 많이 들어가면 안되고 상황보면서 조금씩 다듬어야 한다고 하시더라구요.

​하악 와이어도 교체하고 상악도 와이어 교체했어요. 단계를 좀 더 높혀서 두께가 있는걸로 교체했는데

​오~ 간만에 엄청 쫄깃한 느낌을 느껴보았네요...ㅋㅋ그덕에 몇일 조금 고생하긴했지만 금방 적응해서 괜찮았어요.

치아교정후기3.jpg

​고무줄은 지난번과 동일한곳에 쭈욱~ 걸고 있어요.

​열심히 계속 걸어주면 된다고 하시면서 고무줄을 새로 하나 주셨어요.

월치료때마다 매번 받아오는거 같은데 거의 다 사용하고 소량 남긴했으나.. 자꾸 사라지는건 뭔지....ㅋㅋㅋㅋㅋ

치아교정후기4.jpg

 

치아교정후기5.jpg

​상악 앞니 사이에 치석이 생긴거 같아 치위생사님께 말했더니

​깨끗하게 제거 해주시고~ 치아 전체적으로 꼼꼼하게 스켈링 해주셨어요.

​스켈링은 받을때마다 적응안되지만.. 하고 나면 시원하고 개운하니 너무 좋은거 같아요.!

​치아교정을 하면서 생긴 습관중에 하나가 혹시나 충치가 생길까 싶어 한번씩 체크하는건데요~

​특히 치석이 생겼다 싶으면 월치료때 잊지않고 항상 말하는 편이에요.

돌출입교정 처음 시작할때 스켈링을 한번도 받아본적 없던 저에게 원장님께서 치석 제거해주시면서

아직 젊어서 괜찮지만 치석을 그대로 방치해두면 잇몸에 안좋다고 하시면서

한번씩 스켈링 해줘야한다고 바로바로 말하라고 말씀해주셨던.. 부끄러운 기억이 있다보니..ㅋㅋ

 

그래서인지 월치료때마다 불편한점이나 궁금한점은 빼먹지않고 물어보곤 하는거 같아요. ​

​그때마다 원장님이나 치위생사분들도 귀찮은 내색 한번없이 꼼꼼하게 체크해주셔서 새삼 너무 감사하네요.^^

 

 

치아교정후기6.jpg

요즘 셀카를 안찍다보니 얼굴사진이 없네요ㅜㅜ 아쉬운대로 시원하게~ 바다 사진하나 투척합니당! ​

요즘 날씨가 많이 더워요... 낮에는 폭염이다뭐다 많이 덥지만.. 밤에는 쌀쌀하네요.

​일교차가 심하니 감기조심! 몸관리 잘하시고~~~~

다음번엔 더~시원한 동해바다 사진가져올꼐요.>,<

다음 월치료 다녀와서 돌출입 치아교정후기로 만나요.^^

 

팔로잉 최신글