증산댁의 덧니 치아교정후기 ③① 다시 당기기 ~~~

증산댁의 덧니 치아교정후기 ③① 다시 당기기 ~~~

 

 

 

안녕하세요 ~~~ 오랜만에 쓰는 치아교정후기에요 !!

 

이제 슬슬 장마가 시작되려는지 아침부터 비가 엄청 오네요

엄청 더웠는데 이제 좀 살것같아요 ~~~ 덕분에 막걸리가 넘 땡겨서 참느라 힘들지만 ㅎㅎ

 

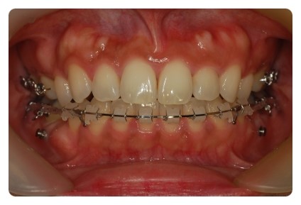
암튼 이번 월치료에는 한동안 쉬었던 당기기를 다시 시작했어요


DSC_00460.jpg


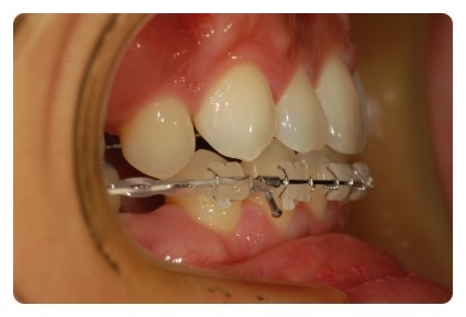
위에 불룩 튀어나온 잇몸이 너무 거슬리네요 ;; 곧 뿌리가 잇몸 뚫고나올 기세 ㅋㅋ

뿌리는 이동이 안되는걸까요 ? 다음에 가면 여쭤봐야겠어요 ~~~


DSC_00470.jpg

DSC_00480.jpg


크게 달라진건 없어보이죠 ? ^^


DSC_00490.jpg DSC_00500.jpg


틈줄이기 위한 고무줄도 다시 걸고 ~~~

잠시 쉬는동안 어금니에 틈이 좀 생겼는지 뭐 먹을때마다 음식물이 비집고 들어가서는

잘 빠지지 않아서 불편했는데 다행이에요 ㅎㅎ


untitled3.jpg      untitled4.jpg


이번 연휴때 친척언니네랑 동생네랑 뭉쳐서 물놀이하고 왔어요 ~~~

 

충청도에 있는 수영장 펜션인데

가장자리에 계곡처럼 평상이 있어서 백숙이랑 오리주물럭이랑 막걸리랑 냠냠 했어요

그러다그만 .. 사진찍은 기억이 사라져버렸어요 ㅋㅋㅋㅋㅋ

 

그럼 모두모두 건강하고 즐거운 여름 보내세요 히힛

다음 치아교정후기에서 만나요 ~~~

팔로잉 최신글