3월 26일
와.. 치아교정후기 너무 오랜만에 쓰네요 ㅠㅠ
달력 보니까 3월에 다녀온 걸 이제야..ㅠㅠ
이번 치아교정후기 전에는 두 번의 월치료를 다녀왔습니다.
한 번은 체크만 받고 아무것도 하지 않아서
치아교정후기를 같이 쓰게 됐습니다.ㅎㅎㅎㅎㅎ
예상대로 개강한지 얼마 되지 않아서 정신없을 것 같다고 생각했는데
‘혹시나’가 ‘역시나’하고 느끼네요ㅠㅠ
아직까지 옷장에 겨울 외투가 수두룩한데 벌써 벚꽃이 피고 지려고 하는 걸보니
시간은 진짜 화살처럼 지나간다는 것이 피부에 와닿습니다.
치아교정후기에 앞서 근황 보고 먼저.....ㅎㅎ
잘 지내셨나요?
저는 사실 기쁜 일도 있었고 슬픈 일도...있었습니다.
기뻐할 새도 없이 전혀 예상치 못한 소식에 쫌 충격을 받았습니다.
그래도 지금은 많이 좋아져서 이렇게 다시 정신 차리고
치아교정후기를 쓰게 돼서 좋네요!!ㅎㅎ
모든 것에 시작이 있으면 끝이 있듯이 어쩌면 당연한 것이라 여기며 살아왔다가
처음으로 겪어본 이별이라 그 당연함이 당연한 것으로 받아들이기가 힘들더라고요.^^
이번 25화 턱관절+치아교정 월 치료는 크게 변한 것이 없다만
이해를 돕기 위해 사진만 많습니다. ㅋㅋ
눈으로 사진만 보셔도 ‘아....... 저거, 저거 했구나.’ 금방 아실 수 있습니다.ㅋㅋ
그래도 치아교정후기 글로 정리해드리고 고것만 보시고 지나가시면 됩니당~ ^ ^
치료내용
-하악 파워체인 엇갈려서 걸어놓기(후기 23화와 같은 치료),
-하악 스프링 + 덧대기(잇몸이 눌리지 않게)
-고무줄착용하기(전 치료와 동일)
현재 교정진행상태
-중심선 99% 맞은 상태!!
-하악 파워체인으로 치아끼리 꽉 조여서 마무리로 가는 중!!
-일회용 고무줄로 치아를 다물 때, 뜨는 공간이 없게
상악 송곳니와 하악 송곳니를 당기는 중!!
22화 치아교정후기를 보시면 아시겠지만,
원래 제가 3월즈음 교정기 풀 예정이라고 신나게 떠들어댔는데
예상과 달리 지금까지 교정기를 착용하고 있는 이유는....
저 같은 경우 상악을 중심으로 하악을 맞추기로 하여
스프링으로 전체적으로 상악중심선을 향해 스프링장치로 당겨놓고 있었습니다.
딱 맞아서 풀었다가 한 달 사이에 다시 회귀본능에 의해 돌아가는 겁니다..ㅠㅠ
그래서 다시 스프링 걸고 당기느라 길어지게 된 듯합니다.
그리고 제가 일회용 고무줄을 열심히 착용을 하지 않아 늦어진 것도 있습니다.
지금은 다행히 중심선도 다시 맞고 사진을 보시면 아시겠지만 교합이 거의 맞는 듯합니다.
그래도 희소식은 4월 말 중간고사가 끝나고 또 월 치료를 받으면 상태를 보고
교정장치를 뗄 날짜를 잡자고 원장 쌤께서 말씀하셨습니다.
처음 교정장치를 뺄 생각을 해 조바심이 났지만 여러분들의 조언들 때문에
치아교정을 처음 마음 먹었던 초반의 마음으로 천천히 완벽히,
잘 마무리하기로 다시 상기했습니다.
자, 이제 교정사진을 보시면서 감상해주세용
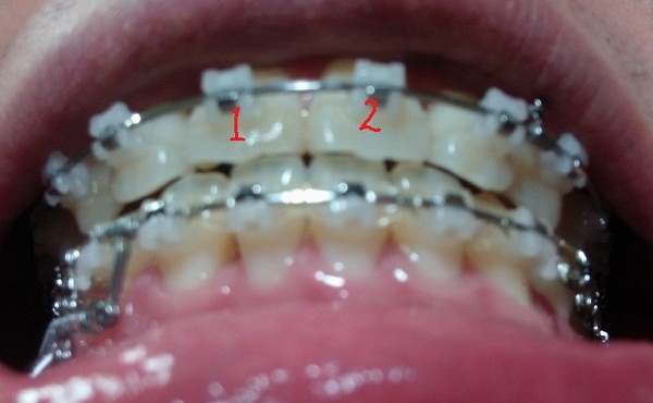
[정면]
[아래서 본 정면1]
[아래서본 정면2]
[스프링 정면]
[스프링 옆면]
+스프링사이에 또 다른 쇠기둥 보이시죠?! 저건 스프링이 잇몸에 닿아서 짓눌리지 않게 하기 위해서 해둔 조치랍니다.(제가 눌려서 아프다고 호소했더니 저런 방법으로 해주셨어용^^)
[스프링아래서 본]
[고무줄 정면]
[고무줄 왼쪽]
[고무줄오른쪽]
25화 끝~
그럼 다음 치아교정후기에서 만나요~~
+아 아래 링크를 클릭하면 저의 지난 턱관절+치아교정후기를 볼 수 있습니다~
그리고 홈페이지 상단에 '우리들의 교정일기'를 통해서도 확인하실 수 있습니다~

오와아아 !! 못본새 치아 정말 많이 예뻐지셨어요 !! 진짜 얼마 안남은것 같아요 .. 부럽
입매도 정말 많이 달라지셨겠어요 ㅎㅎ
ㅎㅎ그런가요?! ㅋㅋ 너무 오랜만에 올려서 그런가봐요 ㅋㅋㅋ 입매... 끝나고 교정시작 전이랑 비교를 해봐야 알아볼 수 있을 듯해욬ㅋㅋ 돌출입은 아니었던지라... ㅎㅎ