증산댁의 덧니 치아교정후기 ②⑨ 1년이라니 ㅠㅠ
안녕하세요 ~~~ 증산댁 치아교정후기 입니다 ^^
어제까지 겨울인가싶을 정도로 꽃샘추위가 한창이다가 오늘 딱 !! 날이 풀렸어요
이번주부턴 주말나들이 계획 열심히 세워야겠어요 음하하
간만에 미용실가서 머리도 하고 ~~~ 기분이 매우매우 좋아요 ㅎㅎㅎㅎㅎ
치아교정후기로 뿅 ~~~
이번 월치료부턴 다른 원장쌤께서 진료를 이어서 봐주시게 되었는데요
불량환자라 ㅠㅠ 진료가 예정보다 길어지고 있는중이라 죄송할 따름이에요 ^^;;
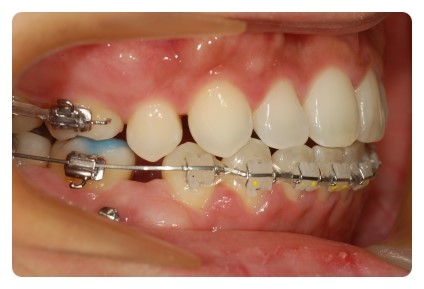
뭔가 달라진게 보이시나요 ~~~ 하악 교정장치를 새로운걸로 교체했어요
원래 투명한 아이였는데 좀더 하얀색이고 노란점박이도 있는 더 튼튼한 아이로다가 ;;
교정장치 교체하신다는 말씀에 제가 화들짝 놀라며
"저 .. 얼마 안남지않았나요 ;; 튼튼한걸로 해야할 정도로 남은건가요 ?"
"얼마 안남긴요 ~~~ 앞으로 1년은 더 해야될꺼같은데 ㅎㅎ"
ㅠㅠㅠㅠㅠㅠㅠㅠㅠㅠㅠㅠㅠㅠㅠㅠㅠㅠㅠ
저 벌써 29번째 치아교정후기인데 .. 2년반인데 .. 앞으로 1년이라니 .. ㅠㅠㅠㅠㅠ
네 .. 이렇게 된것입니다 ..
암튼 예전에 치위생사 ? 간호사 ? 분께 여쭤봤었는데
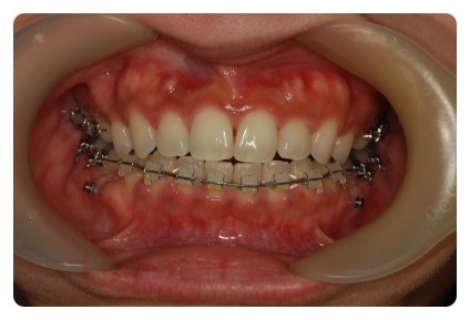
사람들이 입천장와이어 특이하다고 하던데 ~~~ 원래 다 이런거 아니에요 ? 했더니
병원마다 다르기도하고 같은 병원이라도 원장쌤마다 스타일이 다를수있대요
치아교정 진행과정은 물론이고 교정장치 위치나 .. 와이어모양 등등
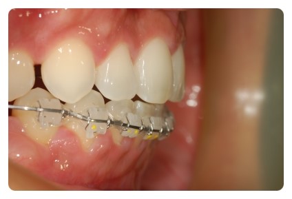
어차피 오래되어서 하악 교정장치가 군데군데 깨진것도 많고 겸사겸사 ~~~
역시나 교정장치 떼는거 진짜 아프더라구요 ㅋㅋ
교정장치 자주 떨어졌던지라 만만하게 봤는데 똑똑 교정장치를 떼낼때마다 치아 뽑히는줄 ;;
요로케 송곳니에 브라켓이 닿거든요
전에 싹 덮이던 치아가 갑자기 다물어지지않는건 바이트블럭을 더 쌓았기 때문이에요 ㅋㅋ
전 바이트랑 마지막까지 함께할 운명인가봐요 ㅋㅋㅋㅋㅋ
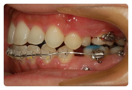
저 송곳니 옆에 1/3 가량 남아있던 유치는 다음 월치료때 뽑을거라고 하셨어요
그래서 소염진통제도 미리 처방받고 왔어요
진료끝나고 상담할때 치아교정교정 기간이 길어지는 이유에 대해서 자세히 말씀해주셨는데
전 유치발치인데 유치인 어금니가 일반적으로 발치하는 송곳니보다 크기때문이에요
그래서 발치공간이 더 넓어서인것도 있구요
더 중요한 이유는 원래부터 많이 뻐드러진 치아가 아니라서
발치공간이 아직 꽤 남았는데도 벌써 앞니가 가지런하게 세워져있어요
이걸 발치공간으로 무리하게 당기다간 옥니라고 하죠 ?
치아가 ㅣ 모양이 아니라 / 이렇게 안으로 들어가는거요 그럼 합죽이처럼 보일수도 있고
그렇기 때문에 천천히 진행해야된다고 해요
생각만해도 끔찍하네요 ㅠㅠ 이게 다 예쁜 치아를 만들어주시기 위함이었는데 ~~~
그냥 뭐 .. 앞으로 1년더 감사한 마음으로 다니겠습니다
그런데 웨 눈물이 .. ㅋㅋㅋㅋㅋㅋㅋㅋㅋㅋㅋㅋㅋㅋㅋㅋㅋㅋㅋㅋ
전 그럼 다음 치아교정후기로 돌아올께요 !! 모두모두 행복한 하루되세요 ^^

괜찮아요.. 다 지나갈 거에요.... 화이팅 ㅠㅠ
근데 왜 때문에 점점 어려지는 거에요?!?!?!??!
비결 좀 알려줘봐요 ㅋ_ㅋ ㅋㅋㅋ
ㅋㅋㅋㅋ원장쌤: 얼마안남았긴요~
ㄷㄷ;;; 힘내요!!!!!! 2년도 금방갔잖아욯ㅎ
저도 2년하고4개월차에 접어드는중이에요... 올해안에 끝내는게 목표인데 또르르ㅜㅜ
힘내셔요! 금방지나갈꺼에여ㅋㅋ
우왕 저랑 비슷한 시기에 시작하셨군요 !! 괜히 반갑 ㅠㅠ 우리 힘내요 !!
ㅋㅋㅋㅋ 비슷하게 마무리중인 분들이 많네여ㅋㅋㅋㅋㅋ
우리 힘내여..... 이야아아압님 말씀대로 2년 금방 갔잖아여......ㅜㅜ
그러게요 .. 힘냅시다 !! 봄인데 활기차게 ㅎㅎ