[치아교정후기] 쏘엘의 돌출입 치아교정후기 #30. 고무줄 걸기 시작
10년 전

 

[치아교정후기] 쏘엘의 돌출입 치아교정후기 #30. 고무줄 걸기 시작

안녕하세요:) 돌출입교정 중인 쏘엘의 돌출입 치아교정후기 입니다.^^

​어느덧 치아교정후기가 서른번째를 맞이했어요.

​와우! 놀라워요~~~ 그만큼 시간이 많이 흘렀다는 이야기이니..

앞으로 앞자리수가 바뀌기전에 돌출입 치아교정이 끝났으면 하는 바램으로 ^^;;

​서른번째 치아교정후기를 시작할께요~~!

​치위생사님께서 치아상태를 살펴주시고

교정장치가 탈락된곳은 없는지 확인하시다가

​왼쪽 앞니부분에 킬본교정 장치가 탈락되었다고 말씀해주셨어요.

​옴마야.. 세상에나... 저 전혀 모르고 있었답니다..

​앞니쪽 킬본장치가 몇번 탈락된적이 있는데

그때마다 매번 전혀 모르고 있다가 ​치과가서 알아요>,<

​이전에는 오른쪽부분이 2,3번? 정도 탈락된적이 있었는데.. 이번에는 왼쪽이네요. 에고고

바로 ​탈락된 킬본장치 꼼꼼하게 부착해주시고~

​원장님께서 치아상태 확인하시면서 하시는 말씀! 제가 ​입 아~~~ 벌리자마자

 

원장님왈: 우와~~ 진짜 많이 닫혔다! 무슨일이 있었던거에요~~ 언제 이렇게 많이 닫혔지~

이렇게 한껏 업된 톤으로다가 말씀하셨어요. ㅋㅋㅋ

기분 정말 좋았어요^^ 끝이보이는거 같아서!

 

그렇게 말씀하시고는 앞으로가 중요하다고 하시면서 제 케이스가 어려운 케이스라면서

쉽게 가는적이 없다고 평소에도 어렵다고 귀엽게 툴툴 거리셨는데

이번에도 어려운 케이스라고 귀엽게 툴툴 거리셨어요>,< 괜히 제가 너무 죄송하고 감사하고ㅋㅋㅋ

그동안 제가 참 우여곡절이 많았고 과도기가 좀 있었던터라 스크류 마져도 쉽게쉽게 간적이 없죠ㅜㅜ

앞으로도 쉽진 않을듯 합니다만.. 너무 어렵지만 않았으면 하는 바램이에요.

 

 

 치아교정후기4.jpg

 

 

 하악에 와이어 교체하고 이번에는 파워체인은 부착안했어요.

와이어 교체전에 스켈링 간단하게 해주시고~

이번에는 다행인건지 아프다기보단 시원하더라구요.

스켈링 살짝 해야겠네요. 하시는데 제가 또 스켈링이 제일 무섭다고 찡찡거리고ㅋㅋ

저는 진짜 이상하게 스켈링이 제일 무서워요..... >,<

 

 

 

치아교정후기1.jpg

 

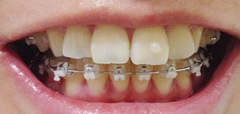
​이번 월치료의 가장 큰 변화와 핵심!

​저 고무줄 걸기 시작했어요.!!!

​고무줄걸기 하고 계시는 다른분들 보면서 저는 언제하나 싶었는데~

이번 월치료때부터 시작한다고 하시면서 이렇게 고무줄을 주셨어요.

정말 친절하게 고무줄 거는 방법을 설명해주시면서

고무줄 잘 걸어주어야한다고 신신당부하셨어요.

​입 너무 크게 벌리지말라고 하시면서 특히! 하품 자제하라고 하시더라구요..

첫날 적응안됐을때 하품하다가 깜짝놀랐답니다.ㅋㅋㅋ 

고무줄은 밥먹을때랑 양치할때 빼고는 항상 걸어야해요.

말은 참 쉬운데 성실하게 실천하기 쉽지 않은 부분인거 같아요.

​좋은건지 안좋은건지.. 덕분에 요즘 군것질을 잘 안하게되요.

​밖에 나가면 커피같은 음료외엔 거의 안먹게되고 조심하게 되는거같아요>,<

처음에 고무줄 혼자거는것도 어찌나 버겁던지..고무줄은 또 어찌나 작은건지..

20분넘게 낑낑거리다가 입술사이 다 찢어지면서 겨우 걸고ㅋㅋㅋ

근데 또 적응력하나는 최고라 2,3일 지나니

지금은 그냥 맨손으로 척척 거울안보고도 잘걸게 되더라구요.^^

 


 
치아교정후기3.jpg

 

치아교정후기2.jpg

 

​이렇게 사진과 같이 아래 제일 안쪽 어금니와 상악 송곳니에 고무줄 걸어 주고 있어요.

앞으로는 저와의 싸움인듯 합니다.

새삼 치아교정을 하고 계시는분들 교정 끝내신분들 정말 대단하세요^^

치아교정후기5.jpg

 

치아교정후기6.jpg


  

​원장님께서 발치공간 많이 닫혔다고 하셨는데~~ 옆모습사진을 보니

​지난번 월치료때 사진과 비교해보면 큰 변화는 아니더라도 확실히 변화가 보이는거 같아요.

​저도 사진 보고 놀랐어요. 미세한 차이지만 돌출입이 좀 더 들어같거 같아서 뿌듯하네요^^

​매번 얼굴 셀카 사진도 함께올렸었는데

최근에 사진을 잘 안찍었더니 사진이 하나도 없네요..ㅜㅜ

​다음 치아교정후기때는 셀카 사진도 멋드러지게 가지고 올께요^^

​요즘 날씨 많이 추운데.. 건강 조심하시고

​다음 치아교정후기때 만나요.!

 

 

팔로잉 최신글