증산댁의 덧니 치아교정후기 ②⑦ 잇몸을 잘라냈어요 ㅠ

증산댁의 덧니 치아교정후기 ②⑦ 잇몸을 잘라냈어요 ㅠ




happy new year ~~~ 2016년이 밝았어요 !!!!!

새해 목표는 다들 정하셨나요 ? 잘 지키고 계신거죠 ? ㅋㅋ

전 크리스마스부터 연말 연초까지 넘넘 정신없게 보내서 이제서야 슬슬 생각중이에요

 

다이어트라든가 ..... 다이어트라든지 ..... 또는 다이어트 .....   

 

암튼 이제 치아교정후기로 넘어가서 ~~~


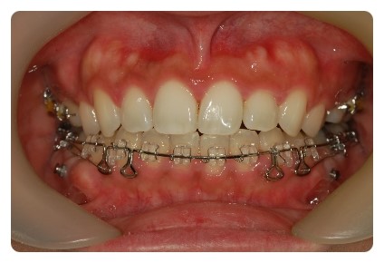
DSC_0670.jpg


몰랐는데 사진으로 보니 중심선이 쪼끔 틀어졌네요


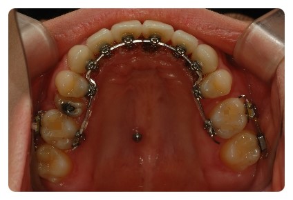
DSC_0673.jpg


오른쪽


DSC_0674.jpg


왼쪽

 

저 유치때문에 양쪽 발치공간 닫히는 속도가 달라서 어쩔수없는듯 해요

마저 발치하고나서 다 닫히면 이쁘게 되겠죵 ㅎㅎ


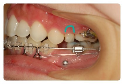
DSC_0675.jpg


잇몸 사이사이에 붉으스름 ? 거무스름 ? 한 자국 보이시나요 ㅠㅠ

상악설측은 아무래도 양치질이 완벽하게 되지않다보니

붓기도 하고 교정하면서 밀리기도 해서 교정장치가 덮혀버렸대요 ;;

 

그래서 레이저로 잇몸을 다 잘라냈어요 .. 흐어어어엉   

 

저 사이에 음식물 끼어서 양치질하다가

따갑고 쓰라려서 죽을뻔하고 오만짜증났는데

한 일주일쯤 지나니 아물어서 괜찮아지더라구요


1451139170585.jpg


크리스마스날 다녀왔던 가평 아침고요수목원의 오색별빛정원이에요 ~~~

 

입구에서부터 차가 완젼 서있어서 걸어올라가느라 dslr 을 못가져간게 한이지요

폰으로 막 찍은 사진이지만 그래도 이쁘죠 ?

실제론 백배정도 더 이쁨 ^^ 

 

요새 날씨 넘 추워요 ~~~

이제서야 진짜 겨울 실감나네요

전 어제 밤새 코푸느라 한숨도 못잤어요 ㅠㅠ 다들 감기조심하세요 ㅠㅠ

 

다음 치아교정후기로 찾아올게요 !!!!



  • chanjoo
    10년 전

    치아미백의 욕구가 생기는 치아사진이네요.^^; 증산댁님은 가족끼리 여행 잘 다니시는 것 같아서 부럽고 부럽습니다.ㅎㅎㅎㅎ

  • 증산댁
    (글쓴이)
    10년 전

    아이들 어릴때 여기저기 많이 데리고다니려고 노력중이에요

    보고 겪은만큼 자라니까요 ㅎㅎ

  • 이야아아압
    10년 전

    헐... 많이 아팠겠어요 오만짜증내셨다니 ㅋㅋㅋ 그래도 지금은 괜찮아서 다행입니당.. 중심선 틀어진건 원장쌤이 잘 맞춰주시것죠?!

  • 증산댁
    (글쓴이)
    10년 전

    상악 치아이동 속도가 양쪽이 달라서 어쩔수없는듯해요 ~~~

    양쪽 다 닫히고나면 이쁘게 되겠죵 ㅎㅎ

  • 채롬
    10년 전

    아이고 잇몸을 잘라냈다니... 힘드셨겠어요ㅠㅠ


  • 증산댁
    (글쓴이)
    10년 전

    이거슨 ..... 정말 다신 하고싶지 않아요 ㅠㅠㅠㅠㅠ 아픈건 아닌데 진짜 짜증나요 ㅋㅋ ;;

  • 킬힐은뇨자의매력
    10년 전
    설측으로하면 잇몸이 지주 붓다 빠졌다하더라구요 그래서 저도 잇몸마사지 해주고 그랬는데 좀 나아지고그랬어요.
  • 증산댁
    (글쓴이)
    10년 전

    잇몸마사지 !! 어떻게 하는거여요 ?? +ㅁ+

  • 돌체앤가바나
    10년 전

    잇몸을 잘라내다니..많이 아프셨겠어요 ㅠ.ㅠ


  • 치코
    10년 전
    끄아ㅠㅠ저도 지금 왼쪽 입천장이 엄청나게 붓고 뭔가 밀리는 느낌이라 걱정중이었는데ㅠㅠㅠㅠ증산댁님 후기 보니 잘라내야 할수도 있을 것 같네요ㅠㅠ그래도 며칠 지나면 괜찮아진다고 해서 다행이에요ㅠ
팔로잉 최신글