증산댁의 덧니 치아교정후기 ②⑥ 벌써 2년
오늘 강원도는 폭설이래요 ;;
서울에도 내일이나 모레쯤 눈 소식이 잇더라구요
집요정인 전 눈이 좋은데
눈아 빨리 와라 ~~~ 마니마니 와라 ~~~ 이럼 욕먹겟죠 ㅋㅋ
넘 추워서 콧바람이라도 쐬고오면 바로 감기걸려버리는 날의 연속입니다
진짜 올겨울은 약하게 감기를 달고 사네요 ㅠㅠ
암튼 !!
그래도 다행히 최근에 가장 포근햇던 날 월치료를 다녀와서
치아교정후기 올려요 ~~~
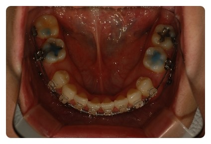
상하악 발치상태나 공간이 다름에도 불구하고
중심선이 크게 어긋나지않게 맞춰가면서 천천히 진행중이에요
어쩐지 요즘들어 음식물이 잘 안끼인다햇더니 ㅋㅋ
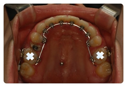
거의 다 닫혀가는 상악 !!
입천장 와이어랑 고무줄도 떼엇어요
맞다 저 브라켓 탈락 상습범이엇던거 아시죠 ㅠㅠ
진짜 신기한건 저렇게 양옆으로 붙인뒤로는 단한번도 안떨어지는중 ~~~
이젠 브라켓 탈락 걱정없이 더욱더 잘 먹고 잇습니다 ㅋㅋ
여봉이 曰 "넌 교정하는데 웨 살 안빠져 ?"

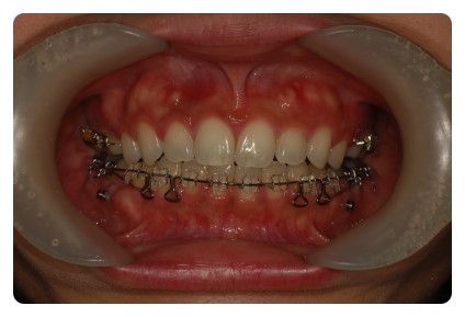
하지만 하악은 발치공간이 아직 마니 남앗어요
유치 발치라 ~~~
뿌리가 짧아서 발치하고나면 빨리 아물고 잇몸뼈도 빨리 단단해져 버려요
그래서 진행이 더딜수밖에 없어요
이번달에는 월치료 진료가 끝나고 원장쌤과
치아교정 전후 체크를 하며 상담시간을 가졌어요
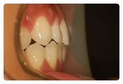
치아교정 전후 사진을 비교해보니 쏘옥 들어간 앞니 ~~~
보다 더 놀라운건 교합 !!
상하악이 거의 맞물리고 잇엇는데
지금은 윗니가 아랫니를 싸악 ~~~ 덮는 이쁜 모양새 ~~~
덧니교정을 시작한지 벌써 2년이라며 징징대긴 햇지만
이뻐지고잇는 치아들을 보니 금새 기분좋아짐 ㅋㅋ
여기는 어딜까요 ~~~ 딩동댕
치과 화장실입니당 ㅋㅋ
제눈에는 입매가 달라진게 보이는데 사진상으로는 잘 안보이나 ?
죄송해요 ㅠㅠ
제가 사진을 진짜 잘 안찍어서 셀카가 이거밖에 없어요 ;;
다음엔 비교샷에 도전해볼께요 ㅋㅋ
그럼 전 이만 ~~~ 감기 조심하시구요.
다음 치아교정후기 에서 만나요 ~~~
답글