증산댁의 덧니 치아교정후기 ②⑤ 느려도 괜찮아



증산댁의 덧니 치아교정후기 ②⑤ 느려도 괜찮아




안녕하세요 ~~~ 증산댁이에요~

치아교정후기 가져왔어요 ㅋㅋ

 

진짜 너무너무 바빠요 ㅠㅠ

11월 제생일, 12월 딸램생일, 1월 여봉이생일, 2월 아들램생일 ~~~

크리스마스에 ~~~ 연말에 ~~~ 저희집은 겨울내내 축제에요

 

얼른 크리스마스 트리도 꺼내야하는데

그래야 아가들이 산타할아버지께 갖고싶은 선물을 카드에 써서 걸어두거든요

권초딩께선 아직도 산타할아버지가 잇다고 굳게 믿고계심 ㅋㅋ

 

암튼 치아교정후기로 넘어가서 !!


DSC_8629.jpg


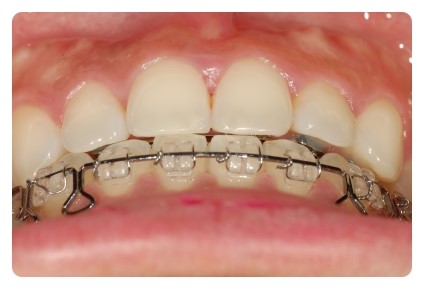
늘 똑같아보이지만 ㅋㅋ 점점 예뻐지는 중이랍니다 ㅋㅋ


DSC_8630.jpg


치아 사이사이에 약간 틈이 잇긴하지만

다행히도 전 블랙트라이앵글이 심하지않은것 같아요


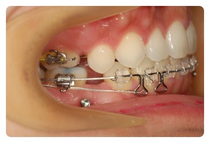
DSC_8632.jpg


상악 발치공간 많이 닫혔죠 ?


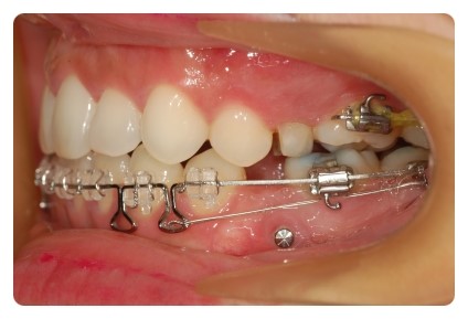
DSC_8634.jpg


왼쪽은 유치를 잘라가며 진행중이라 ~~~

틈새에 음식물이 잘 끼거든요

그래서 오른쪽으로 주로 씹다보니 오른쪽은 잇몸이 자주 부어요

스크류가 파묻히려함 ;;


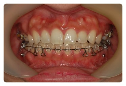
20151111_002340.jpg


아가들이 코묻은돈 ㅋㅋ 모아서 생일선물로 립스틱을 사주엇어요

 

우리 권초딩께서 생일선물 사주겟다고

뭐 갖고싶냐고 한달을 조르더라구요 ;;

케익 사달라햇더니

그건 원래 그냥 아빠가 사는거고 ~~~

자긴 선물을 사주고싶다고 ㅋㅋ

그래서 근처 화장품가게에 가서 하나 골랏지요

 

오래 살다보니 이런날도 잇네요 ㅋㅋㅋㅋㅋㅋㅋㅋㅋㅋㅋㅋㅋ

 

그럼 모두모두 행복한 연말 되세요 ♡



팔로잉 최신글