증산댁의 덧니 치아교정후기 ②ⓞ 업그레이드 ~~~ !!!
안녕하세요 ~~~ 오랜만에 들고온 덧니 치아교정후기입니다 ㅋㅋ
요새 날씨 너어어어 ~~~ 무 좋은데 정말 눈코뜰새없이 바쁘네요
딸랑구가 초딩이 되엇거든요 ㅋㅋㅋㅋㅋ 전 어쩌다보니 어머니회의 일원이 되엇구요 ;;
학교를 애가 다니는건지 내가 다니는건지 ㅡㅡ
울엄마보믄서 난 절대 그러지말아야지 햇으나 저 역시 치맛바람 
암튼 이제 치아교정후기로 뿅 !!
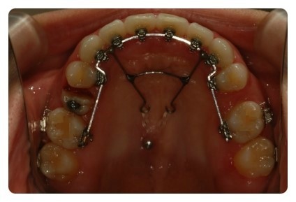
고춧가루 껴잇네 ;; 미리 알앗음 빼달라고 말씀드릴걸 .. 거슬림
발치공간이 마니 줄엇어요
왼쪽 유치를 조금더 잘라내고 약간의 교정장치 업그레이드 ~~~
저 브라켓탈락으로 악명높은거 아시져 ㅋㅋ
자꾸 떨어져서 어금니 힘을 못받으니깐 도저히 진행이 안되어서 맨끝 브라켓을 떼어버리셧지요
그리고 맨끝의 어금니와 그 앞의 어금니 두개를 바깥쪽으로도 연결햇어요
그래도 브라켓이 치아에 닿는 관계로 바이트가 양쪽에 하나씩에서 두개씩으로 늘어낫구요 ;;
전 아무래도 바이트와 운명공동체인가 봄 ..
덕분에 아직까지는 브라켓탈락 없고 ~~~
교정치료 진행도 쑥쑥 잘되고 잇는듯해요 ㅎㅎ
마지막으로 제 근황샷 ㅋㅋ
부끄러우니깐 아주아주 작게 올리고 전 이만 사라질께요 ~~~
다음 덧니 치아교정후기에서 또 만나요 ~~~~
답글