이야아아압의 턱관절교정 후기
(찾을 때 닉네임 찾기로 선택하시고 ‘이야아아압’ 검색하시면 찾을 수 있음 아니면 제목에 턱관절 검색)
이야압의 치아교정은 ?
턱관절 교정 스플린트를 시작으로, 순측 / 클리피시 / 비발치 / 덧니교정 입니다.
2014년 6월 09일: 스플린트 첫 착용 - 3화
2014년 6월 18일: 스플린트 턱관절교정 정기치료(1차) - 4화
2014년 7월 02일: 스플린트 턱관절교정 정기치료(2차) - 5화
2014년 7월 14일: 스플린트 턱관절교정 정기치료(3차) - 6화
2014년 7월 28일: 스플린트 턱관절교정 정기치료(4차) - 7화
2014년 8월 20일: 스플린트 턱관절교정 마지막 치료 - 8화
2014년 9월 11일: 스플린트 턱관절교정 전후 결과를 비교하기 위해 최종검사 - 8화
2014년 9월 19일: 스플린트 턱관절교정 결과와 추후 치아교정 진행과정, 4개 스크류를 심음 - 9화(1)
2014년 9월 25일: 하나 남은 매복 사랑니 발치(왼쪽 아래)
2014년 10월 01일: 사랑니 실밥제거, 브라켓 장치부착 - 9화(2)
2014년 10월 30일: 치아교정 정기치료 후기(1차) - 10화
2014년 12월 10일: 치아교정 정기치료 후기(2차) - 11화
2015년 1월 16일: 치아교정 정기치료 후기(3차) - 12화
<2015년 2월 13일: 치아교정 정기치료 후기(4차) - 13화
--------------------------------------------------------------------------------------------------------
봄이 왔어요.. 2015년 3월이 다가고 이제 4월이네요!! 대구는 벌써 점심 때 덥다는데요.
조만간 옷차림이 가벼워지겠네요. ㅠㅠ(운동을 더 열심히 해야겠습니다.ㅠㅠ)
벌써부터 여름 휴가...?! 아니아니 ㅋㅋ 꽃놀이 먼저 가야겠네요! ㅋㅋㅋ
돗자리와 맥주 팩..그리고 치킨한 마리까지 하면 금상첨화겠네요?!
벌써 군침이...... 스읍!
--------------------------------------------------------------------------------------------------------
이번 턱관절+치아교정후기는 치아교정을 시작한 초반과
얼마나 변했는지 비교하는 시간을 갖겠슴다.
위에 일정표를 보니 제가 10월 1일에 처음으로 교정장치를 꼈군요!(알아보기 편하죠?!클릭도 된다는)
그럼 지금이 4월 초 다 되어가니 치아교정 장치를 붙인지 약 6개월!정도 됬군요~
스플린트 할 때만해도 신나서 좋아하다가
치아교정 장치를 붙일 땐 또 얼마나 설렜던지.. 벌써 6개월이면...
조만 간 장치 빼고 유지장치 끼겠는걸~??? ㅋㅋㅋㅋㅋㅋㅋㅋ
흠... 김칫국 그만 마시고 치아교정후기나 올리겠슴다.
[치료내용]
저번과 마찬가지로 와이어 교체, 파워체인 교체였습니다.
다만 차이점이 있다면
이전 와이어는 메모리 와이어라고 이리저리 구기고 휘게 해도
제 모양으로 돌아오는 성질이 있는 와이어였다면
이번 와이어는 메모리 와이어가 아닌 더 굵어지고 강도가 센 와이어가 되겠습니다.
근데 뭐... 제가 굳이 차이점을 세세하게 알 필요까지 없을 것 같더라고요..
제 눈엔 다 똑같은 와이어..ㅋㅋㅋㅋ
(원장쌤과 누나들의 전문용어로 뭐라뭐라 하시던데 까묵..ㅠ)
예 그럼 이번 턱관절+치아교정후기 13화에서는
6개월 기념 비교 샷으로 마무리하고 물러나겠습니다.
14화 치아교정후기에서 뵙죠. 제바알~ ^ ^
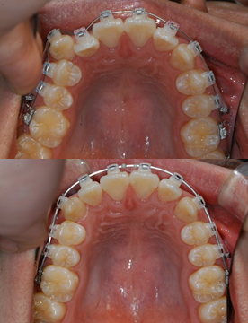
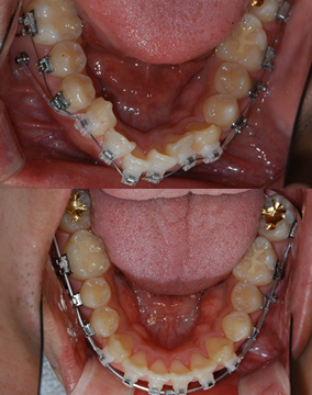
[치료상태]
교정장치 처음 낀 상태
vs
6개월 후
-하악- -상악-
-정면-

-일회용 고무줄의 위엄(12화,13화 참고)-
일회용 고무줄로 덧니가 많이 안쪽으로 들어간게 보이시나요?! ㅋㅋ
아직까지는 화살표만큼이나 벌어져있는데요.
조금만 더 시간이 지나면 반대편 송곳니처럼 아랫니와 교합이 똭 맞게될겁니다.
하하하하하핳;;ㅋㅋㅋㅋ
답글