안녕하세요 킬힐의 돌출입교정후기입니다. 이번에는 장치달고 첫 점검받으러 월치료를 다녀왔어요 !
드디어 교정장치를 달고 정말 월치료다운 월치료를 받고 온 치아교정후기~~!!!*.*
그런데 월치료날이 되기 전에 장치 하나가 탈락하는 바람에 중간에 한번더 치과에 다녀왔어요..
장치 탈락의 사건 전말은,,,
아침에 뜬눈으로 양치질을 부ㅡ아앙 하고있는데 나도 모르게 칫솔모를 씹은거에요 ,, 나름 조심조심 한다고 했는데
아직적응중인지라 우직했는데 칫솔모인데 괜찮겠지 했어요 ,, 근데 덜렁덜렁,,,, 장치가 떨어져버린겁니다. ㅜㅜ
너무나 당황해서 ,, 뭘 먹다가 떨어졌으면 덜 억울한데 ㅋㅋㅋㅋㅋㅋㅋ 아무것도 못먹었는데 후잉 ㅠㅠ
덜렁거리는 장치 하나와 일단 나란히 출근을 하고 시간이 되자 마자 치과에 바로 전화를 해서
'장치가 떨어졌는데 내일로 예약 잡아주세요!!'
힝 나의 소중한 킬본교정장치에 이런 스크레취가 일어나다니,, 장치가 떨어져버려서 그날은 점심,저녁도 조심조심 먹고
다음날 가서 바로 다시 장치 달으러갔어요,,
치과 도착후 장치를 살펴보시면서 말씀해주시기를 장치가 처음부터 붙여지기를 튼튼하게 붙여지지 않았다고 하시더라구요
그 얘기를 뭔가 안도의 마음이 ,,ㅋㅋㅋ 안그랬으면 앞으로 미음만 먹어야 할정도로 조심했어야 했을거에요,,
이렇게 장치 재부착을 완료하였습니다.
날이 지나 3월26일 !!
월치료를 받으러 슈웅 갑니다!! 진짜 월치료 치아교정후기에요ㅋㅋㅋ
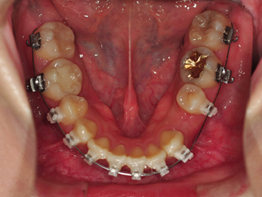
도착후 전체적인 점검을 하고 기존에 걸어 놓았던 와이어를 꺼냈습니다. 우와웅 한달밖에 안됫는데도 와이어에서 시간의 흔적이
보인다는... 양치질 더욱 열심히 해야겠다는 생각이 들었어요
와이어를 꺼낼때느 뭔가 시원한 느낌이 들더라구요 해체하는 기분 ㅋㅋㅋㅋ 와이어 없을때 얼른 사진 하나 찍었어요 쿄쿄
뭔가 2% 부족한 느낌,,
새로 갈아끼운 와이어는 2단계높인 와이어라고 설명해주셨어요 이 와이어는 입안 온도에서 더욱 효과가 잘 일어나는 와이어로 찬 온도에서 그 기능이 저하 될수 있기때문에 얼음물이나 차가운 음료는 많이 마시지 않는게 좋다고 말씀해주셨어요
그 설명을 듣는동안 우와 정말 와이어 하나에도 신기하고 대단한 기술들이 숨어있구나 하는 생각이 들었죠
와이어를 장치들 사이에 끼워넣고 탁탁 장치를 맞출때마다 치아가 하나씩 타이트하게 조이는 느낌이 들어왔어요 이때 어느분은 아프다고 느끼실수도 있겠지만 저는 뭔가 딱! 잡아주는 느낌같았어요 뭔가 배에 복대를 했으때의 느낌이랄까 ,,ㅋㅋ



기분좋게 와이어를 갈아끼운후 다음 월치료에 대해 설명해주셨는데
1. 상악 발치 할 위치
2. 하악 스크류 진행
상악은 제가 아직 장치를 달지 않은 상태이기 때문에 다음 월치료때까지는 다시 한번 상악에 있는 치아 발치를 해야하는 상황인데

이번에 가니 상악 치아들중 발치해야 하는 부분을 알려주셨답니다. 그부분은 사진에보이는 뿌리만 남아있는 한곳과 대칭다는 반대편쪽 하나 각각 5번,5번 인 치아들이 었어요.,
하악 스크류 진행은 사진에 위치와 각 위치에 대해 설명을 넣어놓은것처럼 앞부분에 스크류를 넣는것이 가장 이상적이지만 치아를 발치한 부분이어서 잇몸이 약해 스크류를 넣기 힘들수도 있다고 하시더라구요 ㅠㅠ 그래서 그다음으로 후보2번째 에 스크류를 넣을 수도 있고 만약 후보2번에 안된다면 입안쪽으로 후보3번 부분에 해야하는데 그쪽은 잇몸을 절제해서 스크류를 진행해야 한다고 하시면서 잇몸 건강하죠~~?? 하시는 의사 선생님 후엉!! 제발~!!!!! 후보1번에 스크류 할수있었으면 좋겠어요 ㅠㅠㅠ

킬본교정에 대한 이해도를 높이기 위해 손수 교정 과정에 대해 설명해주시기 위해 따로 시간은 내주신
의사선생님께 감사드립니다^^
덕분에 제 킬본교정 진행상황에 대해 정확하게 이해하고 교정 치료를 받을수 있었던것같아요
바이트블럭에 익숙해지면서 점차 음식의 난이도가 올라가고 있는 상황들입니다. 쿄쿄 앞으로도 다양한 맛난것들 먹어보려구요 ㅎㅎ
답글