
[킬본 돌출입교정후기] 킬힐의 킬본 돌출입교정후기 chapter1. 정밀검사
킬본 교정후기의 첫스타트를 시작할게요
후비고~. ♪ ♪ :^)
오늘의 진료과목
나나링고님과의 미팅
치과 상담
치아 진료
이날 진행과정은 나나링고님과의 미팅
치과 상담 치과 진료 이렇게 크게 세단계로 진행되었어요
카페에서 나나링고님을 기다리며 음료를 마시는데 "난 치과를 가야하니 가장 무난한 아메리카노,, 흑 녹차라떼 먹고싶다 ㅠ,ㅠ "
하며 아메리카노를 강제선택 후 음미했어요
나나링고님과는 앞으로의 일정에 대해 전반적으로 이야기를 나누며 티타임을 가졌습니다 나나링고님 덕분에 저까지 웃음 전파 받고 치과로 출봘~"-"
치과에 도착 후 내맘은 바운스바운스 두근대 ~♪
대기하다 이름 호명 받고 쪼르르 상담실로 들어서니 책상에는 이렇게 제사진들 촥~
나도 모르던 나의 실사들이 촤~
힣힣힣힣힣 d*-*b

원장님이 사진을 토대 현재 치아 상황과 앞으로 교정은 어떻게 하면 좋을지 이야기 하였어요
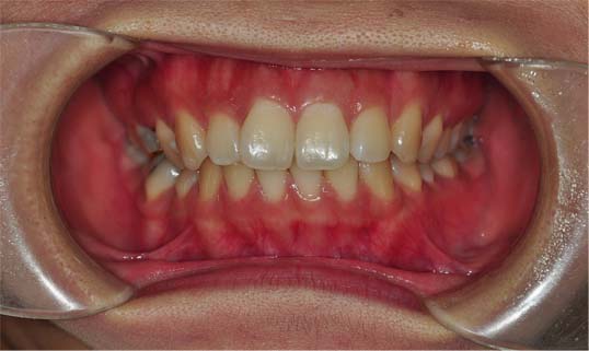
저는 치아가 덧니는 심하지 않기때문에 교정하기에 어렵지 않을거라 혼자 생각했는데 제가 잇몸과 치아 모두 돌출되어있고 어려운 케이스라고 하시더라구요 헝헝 (아래 사진을 참고해주세요~)

그중에 정말 다행인건 제 치아가 어려운 케이스이지만 개발중이이시던 나사가 이날 완성되었다고 이것으로 진행할수 있을거라고 말씀하셨는데 정말 운이 좋았던것 같아요 감사하므니다 ㅠㅠ
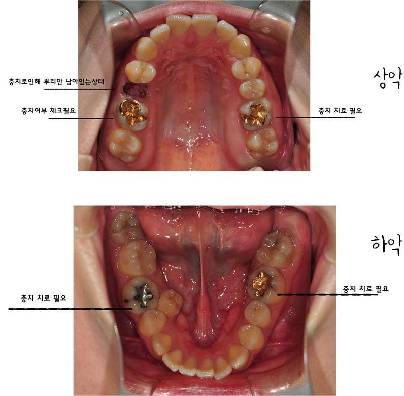
일단은 교정전 단계가 충치치료(충치 없으면 생략)- 발치- 치아 본뜨기- 킬본 교정기 제작 이런단계로 넘어가는데
저는 충치가 있어서 일단 어금니 위 아래 두개씩 치료를 받아야 한다고 했어요 그리고제가 안쪽 어금니에 잇몸이 많아 교정기 부착이 잘안될수 있어 잇몸을 살짝 잘라야 한다고 하더라구요


충치 확인후 교정전 치아를 본뜨기를 했어요 위아래 치약같은것을 짠 틀을 2분간 앙~ 물고 있다가 딱 떼어내기를 위아래 반복했죠 . 물고있을때 넘치는 침샘 본능 ㅎㄷㄷ 본디 치과를 가면 긴장과 떨림이 함께하는데 담당해주신 치위생분도 친절하게 설명과 함께 진행해주셔서 차분하게 진료를 받을수 있었어요
치료를 마치고 충치치료 소견서를 받아들고는 치료 후 다음 예약을 위해 전화를 달리고 말씀해주셨습니당
소견서는 2가지를 받았는데 하나는 충치치료에 관한 소견서 하나와 다른하나는 잇몸 절제에 관한 소견서 하나를 받아들구 왔어요~
이제 다음 교정 단계를 위해 충치치료와 잇몸절제 하기 관문이 생겼네요 *•*
힣힣힣힣
답글